Suppr超能文献

意外致死性低温病例垂体的显微镜检查。

Microscopic examination of pituitary glands in cases of fatal accidental hypothermia.

作者信息

Doberentz Elke, Madea Burkhard

机构信息

Institute of Forensic Medicine, University of Bonn, Bonn, Germany.

出版信息

Forensic Sci Res. 2017 Jun 7;2(3):132-138. doi: 10.1080/20961790.2017.1330804. eCollection 2017.

Abstract

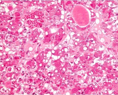
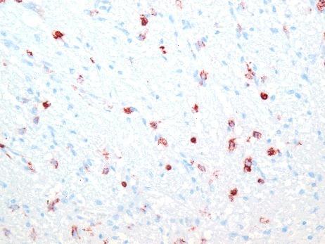
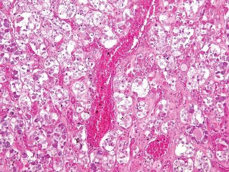
In cases of death caused by hypothermia, histological analysis can be used to determine the cause of death. Certain histological alterations of the pituitary glands in hypothermia have been reported in the literature, including haemorrhage, hyperaemia and cellular vacuolization of cells in the anterior lobe. In the present study, the validity of these morphological alterations as markers for fatal accidental hypothermia was investigated in autopsy material. A total of 34 pituitary glands in cases of verified fatal accidental hypothermia were examined histologically (haematoxylin and eosin, ferric, azan) and immunohistochemically (LCA, ACTH, C5b-9). The findings were compared with 61 cases in a control group. Hyperaemia was found in 50.0% of the study group cases and 59.0% of the control group cases. Cellular vacuolization was observed in one case (2.9%) in the study group and one case (1.6%) in the control group. Acute or recent haemorrhage in the glandular tissue was never detected. In our study, the histopathological characteristics described in the literature as pathognomonic for hypothermia could not be confirmed. Furthermore, histological differences in the pituitary glands between fatal hypothermia cases and control group cases were not observed.

摘要

在低温致死的案例中,组织学分析可用于确定死因。文献中已报道了低温状态下垂体的某些组织学改变,包括前叶出血、充血以及细胞空泡化。在本研究中,利用尸检材料对这些形态学改变作为意外低温致死标志物的有效性进行了调查。对34例经证实的意外低温致死案例的垂体进行了组织学检查(苏木精和伊红染色、铁染色、偶氮染色)和免疫组织化学检查(LCA、促肾上腺皮质激素、C5b - 9)。将结果与对照组的61例案例进行了比较。研究组50.0%的案例和对照组59.0%的案例发现有充血。研究组有1例(2.9%)观察到细胞空泡化,对照组有1例(1.6%)观察到细胞空泡化。从未在腺组织中检测到急性或近期出血。在我们的研究中,文献中描述为低温特征性的组织病理学特征无法得到证实。此外,未观察到低温致死案例与对照组案例在垂体方面的组织学差异。

https://cdn.ncbi.nlm.nih.gov/pmc/blobs/cd1f/6197093/def89cf93917/TFSR_A_1330804_F0001_OC.jpg

文献AI研究员

20分钟写一篇综述,助力文献阅读效率提升50倍。

立即体验

用中文搜PubMed

大模型驱动的PubMed中文搜索引擎

马上搜索

文档翻译

学术文献翻译模型,支持多种主流文档格式。

立即体验