Matsuo Kentaro, Inoue Masaya, Shirai Yasutsugu, Kataoka Tatsuki, Kagota Shuji, Taniguchi Kohei, Lee Sang-Woong, Uchiyama Kazuhisa
Department of General and Gastroenterological Surgery, Osaka Medical College, Daigaku-machi, Takatsuki.
Department of Gastroenterological Surgery, Katsuragi Hospital, Kishiwada, Osaka.
Medicine (Baltimore). 2018 Nov;97(48):e13446. doi: 10.1097/MD.0000000000013446.
Liposarcoma (LPS) is a rare malignant soft-tissue tumor. Management of LPS is relatively difficult, because there are no characteristic symptoms, or biomarkers, nor any established effective treatment. Hence, the report of the accumulation of each LPS case is necessary. We experienced an extremely rare case of torsion caused by a primary small bowel mesentery LPS.
PATIENT'S CONCERN: A 70-year-old male consulted our hospital with the complaints of abdominal pain and sudden vomiting.
No lump could be palpated, and tumor markers tested were within normal limits. However, computed tomography revealed an intestinal obstruction caused by torsion of the small bowel due to an LPS tumor.
After decompression of the intestinal obstruction by use of an ileus tube, surgical treatment was performed with rapidity.
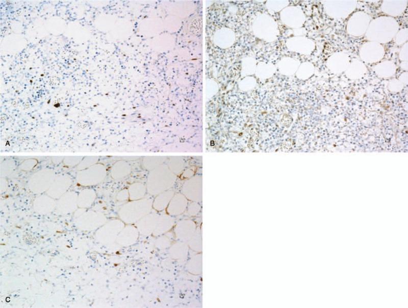
The torsion was found to be caused by the tumor that originated from the small bowel mesentery. The tumor was resected along with a portion of the small bowel. The growth of adipose tissues of various sizes and containing atypical cells was detected by histopathological examination. Also, immunohistochemical examination resulted in positive immuno-reactions for MDM2, CDK4, and p16INK4, which indicated the tumor to be a de-differentiated LPS. The patient was discharged on postoperative day 14 without any complications, and no recurrence of the tumor was observed at 5 years after the operation.
LPS should be considered in differential diagnosis of bowel torsion, and careful management is required because of the high possibility of recurrence. Patients should be followed carefully for at least 5 years, and further accumulation of data will be required in order to establish the appropriate management of LPS.
脂肪肉瘤(LPS)是一种罕见的恶性软组织肿瘤。LPS的治疗相对困难,因为没有特征性症状、生物标志物,也没有既定的有效治疗方法。因此,报告每例LPS病例的积累情况很有必要。我们遇到了一例极为罕见的由原发性小肠系膜LPS引起的扭转病例。
一名70岁男性因腹痛和突然呕吐前来我院就诊。
未触及肿块,检测的肿瘤标志物在正常范围内。然而,计算机断层扫描显示由于LPS肿瘤导致小肠扭转引起肠梗阻。
使用肠梗阻导管对肠梗阻进行减压后,迅速进行了手术治疗。
发现扭转是由起源于小肠系膜的肿瘤引起的。肿瘤连同部分小肠一起被切除。组织病理学检查发现有大小各异且含有非典型细胞的脂肪组织生长。此外,免疫组化检查显示MDM2、CDK4和p16INK4免疫反应呈阳性,这表明该肿瘤为去分化型LPS。患者术后第14天出院,无任何并发症,术后5年未观察到肿瘤复发。
在肠扭转的鉴别诊断中应考虑LPS,由于其复发可能性高,需要仔细管理。应至少对患者进行5年的密切随访,为了确立LPS的适当管理还需要进一步积累数据。