Suppr超能文献

Rare Benign Large Lymphoid Colonic Polyp.

作者信息

Alshamali Yousef, Al Taleb Ahmad, Al-Taweel Talal

机构信息

Department of Medicine, Division of Gastroenterology, University of British Columbia, Vancouver, BC, Canada.

Mubarak Al-Kabeer Hospital, Histopathology Unit, Jabriya, Kuwait.

出版信息

Case Rep Gastrointest Med. 2018 Oct 28;2018:5758689. doi: 10.1155/2018/5758689. eCollection 2018.

Abstract

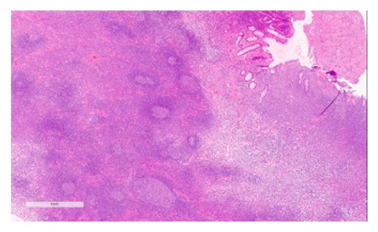
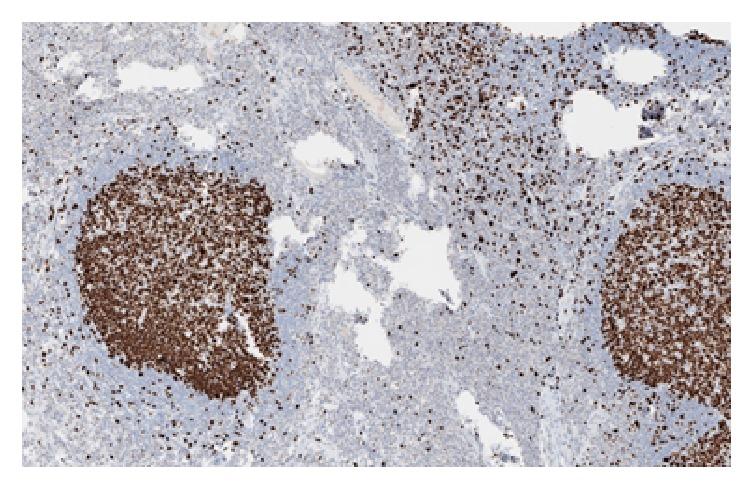
Benign lymphoid polyps are uncommon lesions of the small bowel and the colon to a lesser degree that are mostly found in children. There are only few reported cases in adults in which the lesions were predominantly polypoid and described as lymphonodular hyperplasia. We present a case of a large benign lymphoid polyp in the transverse colon of a 64-year-old lady who was referred to our care for a history of alteration in her bowel habit and anemia. Colonoscopy showed a 3 cm (Paris 1p) friable polyp which was excised and retrieved. Histopathology examination confirmed its benign nature supported by immunohistochemical studies. Benign lymphoid polyp is a rare condition posing a diagnostic challenge as it can be misinterpreted as a malignant lesion.

摘要
https://cdn.ncbi.nlm.nih.gov/pmc/blobs/3a05/6230425/4a53604ff7b8/CRIGM2018-5758689.001.jpg

文献AI研究员

20分钟写一篇综述,助力文献阅读效率提升50倍。

立即体验

用中文搜PubMed

大模型驱动的PubMed中文搜索引擎

马上搜索

文档翻译

学术文献翻译模型,支持多种主流文档格式。

立即体验