Suppr超能文献

利用γ-谷氨酰 transpeptidase 激活型荧光探针快速检测结直肠癌转移性淋巴结。

Rapid detection of metastatic lymph nodes of colorectal cancer with a gamma-glutamyl transpeptidase-activatable fluorescence probe.

机构信息

Graduate School of Pharmaceutical Sciences, The University of Tokyo, 7-3-1 Hongo, Bunkyo-ku, Tokyo, 113-0033, Japan.

Division of Digestive Surgery, Department of Surgery, Kyoto Prefectural University of Medicine, 465 Kajii-cho, Kamigyo-ku, Kyoto, 602-8566, Japan.

出版信息

Sci Rep. 2018 Dec 12;8(1):17781. doi: 10.1038/s41598-018-36062-3.

Abstract

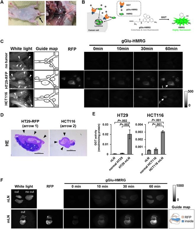
Rapid diagnosis of metastatic lymph nodes (mLNs) of colorectal cancer (CRC) is desirable either intraoperatively or in resected fresh specimens. We have developed a series of activatable fluorescence probes for peptidase activities that are specifically upregulated in various tumors. We aimed to discover a target enzyme for detecting mLNs of CRC. Among our probes, we found that gGlu-HMRG, a gamma-glutamyl transpeptidase (GGT)-activatable fluorescence probe, could detect mLNs. This was unexpected, because we have previously reported that gGlu-HMRG could not detect primary CRC. We confirmed that the GGT activity of mLNs was high, whereas that of non-metastatic lymph nodes and CRC cell lines was low. We investigated the reason why GGT activity was upregulated in mLNs, and found that GGT was induced under conditions of hypoxia or low nutritional status. We utilized this feature to achieve rapid detection of mLNs with gGlu-HMRG. GGT appears to be a promising candidate enzyme for fluorescence imaging of mLNs.

摘要

快速诊断结直肠癌(CRC)的转移性淋巴结(mLNs),无论是在手术中还是在切除的新鲜标本中,都是理想的。我们已经开发了一系列用于肽酶活性的激活荧光探针,这些探针在各种肿瘤中特异性地上调。我们旨在发现用于检测 CRC 的 mLNs 的靶酶。在我们的探针中,我们发现 gGlu-HMRG,一种谷氨酰转肽酶(GGT)激活的荧光探针,可以检测 mLNs。这是出乎意料的,因为我们之前曾报道 gGlu-HMRG 不能检测原发性 CRC。我们证实 mLNs 的 GGT 活性很高,而非转移性淋巴结和 CRC 细胞系的 GGT 活性很低。我们研究了为什么 GGT 活性在 mLNs 中上调的原因,发现 GGT 是在缺氧或低营养状态下诱导的。我们利用这一特性,利用 gGlu-HMRG 快速检测 mLNs。GGT 似乎是荧光成像 mLNs 的一种很有前途的候选酶。

https://cdn.ncbi.nlm.nih.gov/pmc/blobs/0445/6290796/4ed30e314435/41598_2018_36062_Fig1_HTML.jpg

文献AI研究员

20分钟写一篇综述,助力文献阅读效率提升50倍。

立即体验

用中文搜PubMed

大模型驱动的PubMed中文搜索引擎

马上搜索

文档翻译

学术文献翻译模型,支持多种主流文档格式。

立即体验