• 文献检索
  • 文档翻译
  • 深度研究
  • 学术资讯
  • Suppr Zotero 插件Zotero 插件
  • 邀请有礼
  • 套餐&价格
  • 历史记录
应用&插件
Suppr Zotero 插件Zotero 插件浏览器插件Mac 客户端Windows 客户端微信小程序
定价
高级版会员购买积分包购买API积分包
服务
文献检索文档翻译深度研究API 文档MCP 服务
关于我们
关于 Suppr公司介绍联系我们用户协议隐私条款
关注我们

Suppr 超能文献

核心技术专利:CN118964589B侵权必究
粤ICP备2023148730 号-1Suppr @ 2026

文献检索

告别复杂PubMed语法,用中文像聊天一样搜索,搜遍4000万医学文献。AI智能推荐,让科研检索更轻松。

立即免费搜索

文件翻译

保留排版,准确专业,支持PDF/Word/PPT等文件格式,支持 12+语言互译。

免费翻译文档

深度研究

AI帮你快速写综述,25分钟生成高质量综述,智能提取关键信息,辅助科研写作。

立即免费体验

血管内皮生长因子增加了急性呼吸窘迫综合征模型中小鼠呼吸屏障的通透性。

Vascular endothelial growth factor increased the permeability of respiratory barrier in acute respiratory distress syndrome model in mice.

机构信息

Department of Anesthesiology, Union Hospital, Tongji Medical College, Huazhong University of Science and Technology, China.

Department of Anesthesiology, Union Hospital, Tongji Medical College, Huazhong University of Science and Technology, China.

出版信息

Biomed Pharmacother. 2019 Jan;109:2434-2440. doi: 10.1016/j.biopha.2018.11.132. Epub 2018 Nov 30.

DOI:10.1016/j.biopha.2018.11.132
PMID:30551503
原文链接:https://pmc.ncbi.nlm.nih.gov/articles/PMC7982134/
Abstract

BACKGROUND

Acute respiratory distress syndrome is associated with a mortality of 45%. The authors investigated the possible mechanisms and effect of vascular endothelial growth factor on alveolar epithelial barrier permeability in acute respiratory distress syndrome mice model.

METHODS

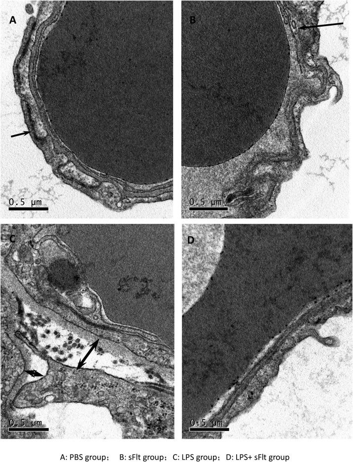
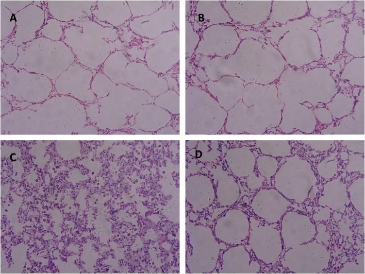
Eighty Male BALB/c mice were randomly assigned to four group: PBS group, LPS group, sFlt group, or LPS + sFlt group. The levels of vascular endothelial growth factor and total protein in bronchoalveolar lavage fluid were compared, together with lung injury score and the histopathology of alveolar epithelial barrier. The expressions of vascular endothelial growth factor and tight junction proteins mRNA in lung tissue were also studied.

RESULTS

Lipopolysaccharide (LPS) inhaling was accompanied with increasing lung vascular endothelial growth factor (VEGF) expression. Anti-VEGF with soluble fms-like tyrosine kinase-1 (sFlt-1) attenuated the lung injury effectively.

CONCLUSIONS

Our data indicate that anti-vascular endothelial growth factor with soluble fms-like tyrosine kinase-1 could maintain the normal structure and function of respiratory membrane in acute respiratory distress syndrome mice model and might be a suitable therapeutic tool for the treatment of acute respiratory distress syndrome.

摘要

背景

急性呼吸窘迫综合征的死亡率为 45%。作者研究了血管内皮生长因子(VEGF)对急性呼吸窘迫综合征小鼠模型肺泡上皮屏障通透性的可能机制和影响。

方法

80 只雄性 BALB/c 小鼠随机分为四组:PBS 组、LPS 组、sFlt 组或 LPS+sFlt 组。比较各组支气管肺泡灌洗液中血管内皮生长因子和总蛋白水平,肺损伤评分和肺泡上皮屏障的组织病理学。还研究了肺组织中血管内皮生长因子和紧密连接蛋白 mRNA 的表达。

结果

LPS 吸入后肺血管内皮生长因子(VEGF)表达增加。用可溶性 Fms 样酪氨酸激酶-1(sFlt-1)拮抗 VEGF 可有效减轻肺损伤。

结论

我们的数据表明,用可溶性 Fms 样酪氨酸激酶-1 拮抗血管内皮生长因子可维持急性呼吸窘迫综合征小鼠模型呼吸膜的正常结构和功能,可能是治疗急性呼吸窘迫综合征的一种合适的治疗工具。

https://cdn.ncbi.nlm.nih.gov/pmc/blobs/f85e/7982134/c88684e69a72/gr5_lrg.jpg
https://cdn.ncbi.nlm.nih.gov/pmc/blobs/f85e/7982134/54473c0085cf/ga1_lrg.jpg
https://cdn.ncbi.nlm.nih.gov/pmc/blobs/f85e/7982134/f609d84c5ff7/gr1_lrg.jpg
https://cdn.ncbi.nlm.nih.gov/pmc/blobs/f85e/7982134/2482382d2f2d/gr2_lrg.jpg
https://cdn.ncbi.nlm.nih.gov/pmc/blobs/f85e/7982134/e08a54c2cc51/gr3_lrg.jpg
https://cdn.ncbi.nlm.nih.gov/pmc/blobs/f85e/7982134/8d611ce78cf7/gr4_lrg.jpg
https://cdn.ncbi.nlm.nih.gov/pmc/blobs/f85e/7982134/c88684e69a72/gr5_lrg.jpg
https://cdn.ncbi.nlm.nih.gov/pmc/blobs/f85e/7982134/54473c0085cf/ga1_lrg.jpg
https://cdn.ncbi.nlm.nih.gov/pmc/blobs/f85e/7982134/f609d84c5ff7/gr1_lrg.jpg
https://cdn.ncbi.nlm.nih.gov/pmc/blobs/f85e/7982134/2482382d2f2d/gr2_lrg.jpg
https://cdn.ncbi.nlm.nih.gov/pmc/blobs/f85e/7982134/e08a54c2cc51/gr3_lrg.jpg
https://cdn.ncbi.nlm.nih.gov/pmc/blobs/f85e/7982134/8d611ce78cf7/gr4_lrg.jpg
https://cdn.ncbi.nlm.nih.gov/pmc/blobs/f85e/7982134/c88684e69a72/gr5_lrg.jpg

相似文献

1
Vascular endothelial growth factor increased the permeability of respiratory barrier in acute respiratory distress syndrome model in mice.血管内皮生长因子增加了急性呼吸窘迫综合征模型中小鼠呼吸屏障的通透性。
Biomed Pharmacother. 2019 Jan;109:2434-2440. doi: 10.1016/j.biopha.2018.11.132. Epub 2018 Nov 30.
2
Targeted Antagonism of Vascular Endothelial Growth Factor Reduces Mortality of Mice with Acute Respiratory Distress Syndrome.靶向拮抗血管内皮生长因子可降低急性呼吸窘迫综合征小鼠的死亡率。
Curr Med Sci. 2020 Aug;40(4):671-676. doi: 10.1007/s11596-020-2236-7. Epub 2020 Aug 29.
3
Alveolar epithelial glycocalyx shedding aggravates the epithelial barrier and disrupts epithelial tight junctions in acute respiratory distress syndrome.肺泡上皮糖萼脱落加重急性呼吸窘迫综合征的上皮屏障破坏和上皮紧密连接破坏。
Biomed Pharmacother. 2021 Jan;133:111026. doi: 10.1016/j.biopha.2020.111026. Epub 2020 Nov 24.
4
SN50 attenuates alveolar hypercoagulation and fibrinolysis inhibition in acute respiratory distress syndrome mice through inhibiting NF-κB p65 translocation.SN50 通过抑制 NF-κB p65 易位减轻急性呼吸窘迫综合征小鼠的肺泡过度凝血和纤维蛋白溶解抑制。
Respir Res. 2020 May 27;21(1):130. doi: 10.1186/s12931-020-01372-6.
5
The early responses of VEGF and its receptors during acute lung injury: implication of VEGF in alveolar epithelial cell survival.急性肺损伤期间VEGF及其受体的早期反应:VEGF在肺泡上皮细胞存活中的作用
Crit Care. 2006;10(5):R130. doi: 10.1186/cc5042.
6
The receptor for advanced glycation end products mediates dysfunction of airway epithelial barrier in a lipopolysaccharides-induced murine acute lung injury model.晚期糖基化终产物受体介导脂多糖诱导的急性肺损伤小鼠模型中气道上皮屏障功能障碍。
Int Immunopharmacol. 2021 Apr;93:107419. doi: 10.1016/j.intimp.2021.107419. Epub 2021 Feb 3.
7
Cigarette smokers have exaggerated alveolar barrier disruption in response to lipopolysaccharide inhalation.吸烟者在吸入脂多糖后,肺泡屏障破坏情况会加剧。
Thorax. 2016 Dec;71(12):1130-1136. doi: 10.1136/thoraxjnl-2015-207886. Epub 2016 Feb 2.
8
VEGF-C/VEGFR-3 signalling in macrophages ameliorates acute lung injury.VEGF-C/VEGFR-3 信号在巨噬细胞中减轻急性肺损伤。
Eur Respir J. 2022 Apr 14;59(4). doi: 10.1183/13993003.00880-2021. Print 2022 Apr.
9
SU5416 attenuated lipopolysaccharide-induced acute lung injury in mice by modulating properties of vascular endothelial cells.SU5416通过调节血管内皮细胞特性减轻脂多糖诱导的小鼠急性肺损伤。
Drug Des Devel Ther. 2019 May 23;13:1763-1772. doi: 10.2147/DDDT.S188858. eCollection 2019.
10
A role for vascular endothelial growth factor in acute and resolving lung injury.血管内皮生长因子在急性肺损伤及肺损伤修复中的作用。
Am J Respir Crit Care Med. 2002 Nov 15;166(10):1332-7. doi: 10.1164/rccm.2105057.

引用本文的文献

1
Metabolomics to Identify Unclassified Uremic Toxins: A Comprehensive Literature Review.代谢组学用于鉴定未分类的尿毒症毒素:一项全面的文献综述。
Kidney Med. 2024 Dec 26;7(3):100955. doi: 10.1016/j.xkme.2024.100955. eCollection 2025 Mar.
2
Comparison of metabolic rates of ropivacaine in cerebrospinal fluid as inferred from plasma concentrations between elderly patients and young patients.根据老年患者和年轻患者血浆浓度推断的脑脊液中罗哌卡因代谢率的比较。
Perioper Med (Lond). 2024 Mar 6;13(1):16. doi: 10.1186/s13741-024-00372-0.
3
Plasma microRNA and metabolic changes associated with pediatric acute respiratory distress syndrome: a prospective cohort study.

本文引用的文献

1
Effects of Vascular Endothelial Growth Factor in Recovery Phase of Acute Lung Injury in Mice.血管内皮生长因子在急性肺损伤小鼠恢复期中的作用。
Lung. 2015 Dec;193(6):1029-36. doi: 10.1007/s00408-015-9803-x. Epub 2015 Sep 28.
2
Vascular endothelial growth factor increases GEnC permeability by affecting the distributions of occludin, ZO-1 and tight juction assembly.血管内皮生长因子通过影响紧密连接蛋白occludin、闭锁小带蛋白1(ZO-1)的分布以及紧密连接组装来增加肾小球内皮细胞(GEnC)的通透性。
Eur Rev Med Pharmacol Sci. 2015;19(14):2621-7.
3
The tumour microenvironment after radiotherapy: mechanisms of resistance and recurrence.
血浆 microRNA 与儿科急性呼吸窘迫综合征相关的代谢变化:一项前瞻性队列研究。
Sci Rep. 2022 Aug 26;12(1):14560. doi: 10.1038/s41598-022-15476-0.
4
Targeted Antagonism of Vascular Endothelial Growth Factor Reduces Mortality of Mice with Acute Respiratory Distress Syndrome.靶向拮抗血管内皮生长因子可降低急性呼吸窘迫综合征小鼠的死亡率。
Curr Med Sci. 2020 Aug;40(4):671-676. doi: 10.1007/s11596-020-2236-7. Epub 2020 Aug 29.
5
[Effect of human placental mesenchymal stem cells transplantation on pulmonary vascular endothelial permeability and lung injury repair in mice with acute lung injury].人胎盘间充质干细胞移植对急性肺损伤小鼠肺血管内皮通透性及肺损伤修复的影响
Zhongguo Xiu Fu Chong Jian Wai Ke Za Zhi. 2020 Mar 15;34(3):387-392. doi: 10.7507/1002-1892.201909070.
6
BMX Represses Thrombin-PAR1-Mediated Endothelial Permeability and Vascular Leakage During Early Sepsis.BMX 在早期脓毒症中抑制凝血酶-PAR1 介导的内皮通透性和血管渗漏。
Circ Res. 2020 Feb 14;126(4):471-485. doi: 10.1161/CIRCRESAHA.119.315769. Epub 2020 Jan 8.
放疗后的肿瘤微环境:耐药及复发机制
Nat Rev Cancer. 2015 Jul;15(7):409-25. doi: 10.1038/nrc3958.
4
VEGF-VEGFR System as a Target for Suppressing Inflammation and other Diseases.作为抑制炎症及其他疾病靶点的血管内皮生长因子-血管内皮生长因子受体系统
Endocr Metab Immune Disord Drug Targets. 2015;15(2):135-44. doi: 10.2174/1871530315666150316121956.
5
Preventing ARDS: progress, promise, and pitfalls.预防急性呼吸窘迫综合征:进展、前景与困境
Chest. 2014 Oct;146(4):1102-1113. doi: 10.1378/chest.14-0555.
6
Terlipressin decreases vascular endothelial growth factor expression and improves oxygenation in patients with acute respiratory distress syndrome and shock.特利加压素可降低急性呼吸窘迫综合征和休克患者的血管内皮生长因子表达并改善氧合。
J Emerg Med. 2013 Feb;44(2):434-9. doi: 10.1016/j.jemermed.2012.02.073. Epub 2012 Aug 24.
7
Soluble vascular endothelial growth factor receptor-1 protects mice in sepsis.可溶性血管内皮生长因子受体-1可保护脓毒症小鼠。
Crit Care Med. 2007 Aug;35(8):1955-60. doi: 10.1097/01.CCM.0000275273.56547.B8.
8
Vascular endothelial growth factor (VEGF) in acute lung injury (ALI) and acute respiratory distress syndrome (ARDS): paradox or paradigm?急性肺损伤(ALI)和急性呼吸窘迫综合征(ARDS)中的血管内皮生长因子(VEGF):矛盾还是范例?
Thorax. 2006 Jul;61(7):621-6. doi: 10.1136/thx.2005.040204.
9
Vascular endothelial growth factor is an important determinant of sepsis morbidity and mortality.血管内皮生长因子是脓毒症发病率和死亡率的重要决定因素。
J Exp Med. 2006 Jun 12;203(6):1447-58. doi: 10.1084/jem.20060375. Epub 2006 May 15.
10
Vascular endothelial growth factor in the lung.肺中的血管内皮生长因子。
Am J Physiol Lung Cell Mol Physiol. 2006 Feb;290(2):L209-21. doi: 10.1152/ajplung.00185.2005.