Suppr超能文献

透明质酸与阿霉素联合处理肿瘤细胞对内皮细胞行为的影响独立于血管内皮生长因子(VEGF)的表达。

Co-treatment of tumor cells with hyaluronan plus doxorubicin affects endothelial cell behavior independently of VEGF expression.

作者信息

Vitale Daiana L, Spinelli Fiorella M, Del Dago Daiana, Icardi Antonella, Demarchi Gianina, Caon Ilaria, García Mariana, Bolontrade Marcela F, Passi Alberto, Cristina Carolina, Alaniz Laura

机构信息

Laboratorio de Microambiente Tumoral-Centro de Investigaciones y Transferencia del Noroeste de la Provincia de Buenos Aires (CIT NOBA, UNNOBA-CONICET), Junín, Buenos Aires, Argentina.

Laboratorio de Fisiopatología de la Hipófisis-Centro de Investigaciones y Transferencia del Noroeste de la Provincia de Buenos Aires (CIT NOBA, UNNOBA-CONICET), Junín, Buenos Aires, Argentina.

出版信息

Oncotarget. 2018 Nov 27;9(93):36585-36602. doi: 10.18632/oncotarget.26379.

Abstract

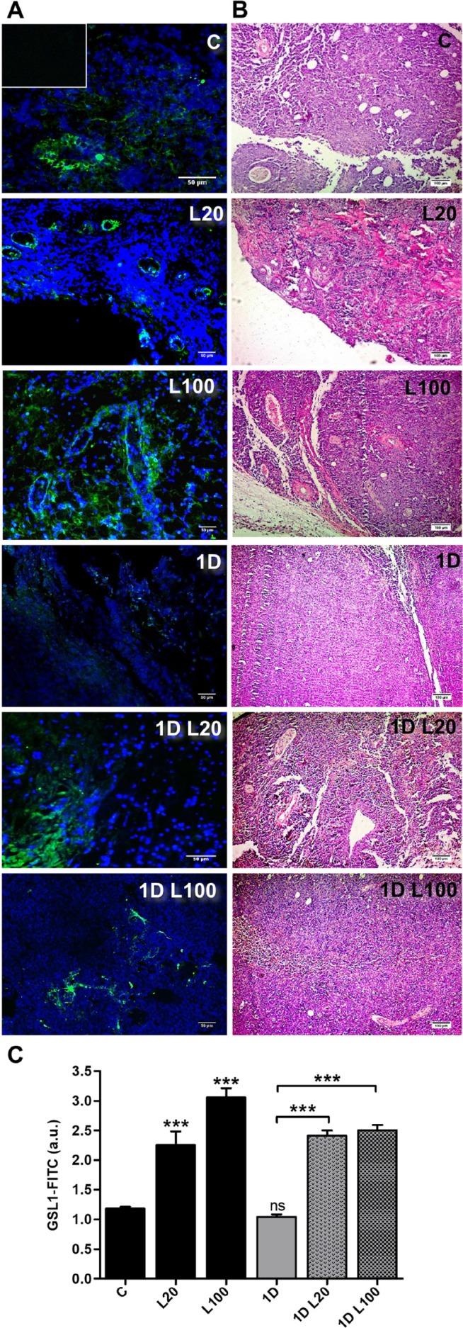
Hyaluronan, the main glycosaminoglycan of extracellular matrices, is concentrated in tissues with high cell proliferation and migration rates. In cancer, hyaluronan expression is altered and it becomes fragmented into low-molecular-weight forms, affecting mechanisms associated with cell proliferation, invasion, angiogenesis and multidrug resistance. Here, we analyzed the effect of low-molecular-weight hyaluronan on the response of T lymphoma, osteosarcoma, and mammary adenocarcinoma cell lines to the antineoplastic drug doxorubicin, and whether co-treatment with hyaluronan and doxorubicin modified the behavior of endothelial cells. Our aim was to associate the hyaluronan-doxorubicin response with angiogenic alterations in these tumors. After hyaluronan and doxorubicin co-treatment, hyaluronan altered drug accumulation and modulated the expression of ATP-binding cassette transporters in T-cell lymphoma cells. In contrast, no changes in drug accumulation were observed in cells from solid tumors, indicating that hyaluronan might not affect drug efflux. However, when we evaluated the effect on angiogenic mechanisms, the supernatant from tumor cells treated with doxorubicin exhibited a pro-angiogenic effect on endothelial cells. Hyaluronan-doxorubicin co-treatment increased migration and vessel formation in endothelial cells. This effect was independent of vascular endothelial growth factor but related to fibroblast growth factor-2 expression. Besides, we observed a pro-angiogenic effect on endothelial cells during hyaluronan and doxorubicin co-treatment in the murine model of T-cell lymphoma. Our results demonstrate for the first time that hyaluronan is a potential modulator of doxorubicin response by mechanisms that involve not only drug efflux but also angiogenic processes, providing an adverse tumor stroma during chemotherapy.

摘要

透明质酸是细胞外基质的主要糖胺聚糖,集中在细胞增殖和迁移率高的组织中。在癌症中,透明质酸的表达发生改变,并分解为低分子量形式,影响与细胞增殖、侵袭、血管生成和多药耐药相关的机制。在这里,我们分析了低分子量透明质酸对T淋巴瘤、骨肉瘤和乳腺腺癌细胞系对抗肿瘤药物阿霉素反应的影响,以及透明质酸与阿霉素联合治疗是否会改变内皮细胞的行为。我们的目的是将透明质酸 - 阿霉素反应与这些肿瘤中的血管生成改变联系起来。透明质酸与阿霉素联合治疗后,透明质酸改变了T细胞淋巴瘤细胞中的药物积累,并调节了ATP结合盒转运蛋白的表达。相比之下,实体瘤细胞中未观察到药物积累的变化,这表明透明质酸可能不会影响药物外排。然而,当我们评估对血管生成机制的影响时,用阿霉素处理的肿瘤细胞的上清液对内皮细胞表现出促血管生成作用。透明质酸 - 阿霉素联合治疗增加了内皮细胞的迁移和血管形成。这种作用独立于血管内皮生长因子,但与成纤维细胞生长因子 - 2的表达有关。此外,在T细胞淋巴瘤的小鼠模型中,我们观察到透明质酸与阿霉素联合治疗期间对内皮细胞有促血管生成作用。我们的结果首次证明,透明质酸是阿霉素反应的潜在调节剂,其机制不仅涉及药物外排,还涉及血管生成过程,在化疗期间提供不利的肿瘤基质。

https://cdn.ncbi.nlm.nih.gov/pmc/blobs/5fae/6290962/f3574f787261/oncotarget-09-36585-g001.jpg

文献检索

告别复杂PubMed语法,用中文像聊天一样搜索,搜遍4000万医学文献。AI智能推荐,让科研检索更轻松。

立即免费搜索

文件翻译

保留排版,准确专业,支持PDF/Word/PPT等文件格式,支持 12+语言互译。

免费翻译文档

深度研究

AI帮你快速写综述,25分钟生成高质量综述,智能提取关键信息,辅助科研写作。

立即免费体验