Suppr超能文献

RIPK3 介导的细胞坏死和中性粒细胞浸润与酒精性肝硬化患者的不良预后相关。

RIPK3-Mediated Necroptosis and Neutrophil Infiltration Are Associated with Poor Prognosis in Patients with Alcoholic Cirrhosis.

机构信息

Department of Infectious Diseases, Peking University First Hospital, Beijing 100034, China.

Xiamen Branch, Zhongshan Hospital, Fudan University, Xiamen 361015, China.

出版信息

J Immunol Res. 2018 Nov 25;2018:1509851. doi: 10.1155/2018/1509851. eCollection 2018.

Abstract

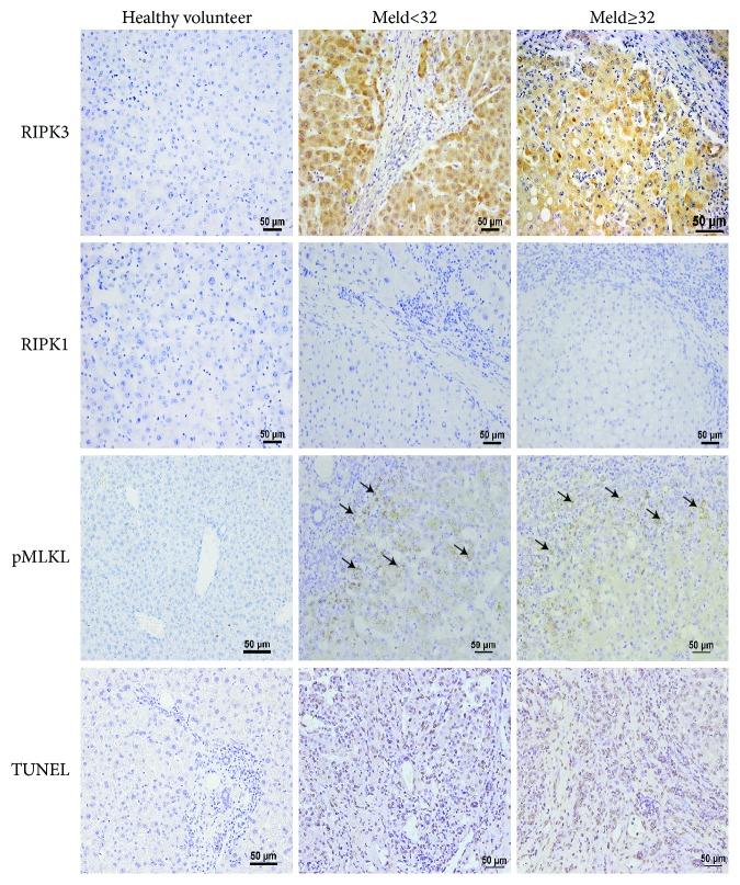
Alcoholic cirrhosis is an end-stage liver disease with impaired survival and often requires liver transplantation. Recent data suggests that receptor-interacting protein kinase-3- (RIPK3-) mediated necroptosis plays an important role in alcoholic cirrhosis. Additionally, neutrophil infiltration is the most characteristic pathologic hallmark of alcoholic hepatitis. Whether RIPK3 level is correlated with neutrophil infiltration or poor prognosis in alcoholic cirrhotic patients is still unknown. We aimed to determine the correlation of RIPK3 and neutrophil infiltration with the prognosis in the end-stage alcoholic cirrhotic patients. A total of 20 alcoholic cirrhotic patients subjected to liver transplantation and 5 normal liver samples from control patients were retrospectively enrolled in this study. Neutrophil infiltration and necroptosis were assessed by immunohistochemical staining for myeloperoxidase (MPO) and RIPK3, respectively. The noninvasive score system (model for end-stage liver disease (MELD)) and histological score systems (Ishak, Knodell, and ALD grading and ALD stage) were used to evaluate the prognosis. Neutrophil infiltration was aggravated in patients with a high MELD score (≥32) in the liver. The MPO and RIPK3 levels in the liver were positively related to the Ishak score. The RIPK3 was also significantly and positively related to the Knodell score. In conclusion, RIPK3-mediated necroptosis and neutrophil-mediated alcoholic liver inflammatory response are highly correlated with poor prognosis in patients with end-stage alcoholic cirrhosis. RIPK3 and MPO might serve as potential predictors for poor prognosis in alcoholic cirrhotic patients.

摘要

酒精性肝硬化是一种终末期肝病,患者生存率受损,常需进行肝移植。最近的数据表明,受体相互作用蛋白激酶-3(RIPK3)介导的细胞坏死在酒精性肝硬化中起重要作用。此外,中性粒细胞浸润是酒精性肝炎最具特征性的病理标志。RIPK3 水平与酒精性肝硬化患者的中性粒细胞浸润和预后的相关性尚不清楚。我们旨在确定 RIPK3 和中性粒细胞浸润与终末期酒精性肝硬化患者预后的相关性。本研究回顾性纳入 20 例接受肝移植的酒精性肝硬化患者和 5 例来自对照患者的正常肝组织样本。通过髓过氧化物酶(MPO)和 RIPK3 的免疫组织化学染色分别评估中性粒细胞浸润和坏死。使用非侵入性评分系统(终末期肝病模型(MELD)评分)和组织学评分系统(Ishak、Knodell、ALD 分级和 ALD 分期)评估预后。在肝脏 MELD 评分(≥32)较高的患者中,中性粒细胞浸润加重。肝脏中 MPO 和 RIPK3 水平与 Ishak 评分呈正相关。RIPK3 与 Knodell 评分也呈显著正相关。总之,RIPK3 介导的细胞坏死和中性粒细胞介导的酒精性肝炎症反应与终末期酒精性肝硬化患者的不良预后高度相关。RIPK3 和 MPO 可能是酒精性肝硬化患者预后不良的潜在预测因子。

https://cdn.ncbi.nlm.nih.gov/pmc/blobs/27c6/6286738/711b3f2eda2a/JIR2018-1509851.001.jpg

文献AI研究员

20分钟写一篇综述,助力文献阅读效率提升50倍。

立即体验

用中文搜PubMed

大模型驱动的PubMed中文搜索引擎

马上搜索

文档翻译

学术文献翻译模型,支持多种主流文档格式。

立即体验