Suppr超能文献

以局限性腹膜后肿块为表现的单中心Castleman病:一例报告并文献复习

Unicentric Castleman's Disease as a Localized Retroperitoneal Mass: A Case Report and Review of Literature.

作者信息

Gopi Praveen, Potty Vasudevan Sambu, Kaurav Rustam Singh, Govindan Krishna

机构信息

Department of Urology, Government Medical College, Thiruvananthapuram, Kerala, India.

Department of Pathology, Government Medical College, Thiruvananthapuram, Kerala, India.

出版信息

Int J Appl Basic Med Res. 2018 Oct-Dec;8(4):259-262. doi: 10.4103/ijabmr.IJABMR_256_17.

Abstract

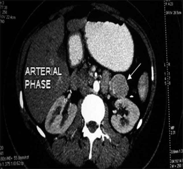
Castleman's disease (CD) is a rare disorder characterized by proliferation of the lymphoid tissue. Clinically, it presents in two forms either a unicentric (UC) or multicentric. Mediastinum is the most common location. UC retroperitoneal presentation is rare. We report a case of 29-year-old female who presented with left loin pain, and on abdominal imaging, evaluation identified a retroperitoneal mass in the left hypochondrium in the pararenal space. Mass was surgically excised entirely. Histopathological examination demonstrated hyaline vascular type of CD. CD should be considered in differential diagnosis of retroperitoneal mass, especially in equivocal cases. We also reviewed literature of 134 cases of retroperitoneal CD to analyze the presentation, management, and outcome.

摘要

卡斯特曼病(CD)是一种以淋巴组织增生为特征的罕见疾病。临床上,它表现为两种形式,即单中心型(UC)或多中心型。纵隔是最常见的发病部位。UC型腹膜后表现罕见。我们报告一例29岁女性,她因左腰部疼痛就诊,腹部影像学检查发现肾旁间隙左季肋部有一个腹膜后肿块。肿块被完整手术切除。组织病理学检查显示为透明血管型CD。在腹膜后肿块的鉴别诊断中应考虑CD,尤其是在不明确的病例中。我们还回顾了134例腹膜后CD的文献,以分析其表现、治疗和预后。

https://cdn.ncbi.nlm.nih.gov/pmc/blobs/ddb3/6259290/a497d1745ac3/IJABMR-8-259-g001.jpg

文献AI研究员

20分钟写一篇综述,助力文献阅读效率提升50倍。

立即体验

用中文搜PubMed

大模型驱动的PubMed中文搜索引擎

马上搜索

文档翻译

学术文献翻译模型,支持多种主流文档格式。

立即体验