Suppr超能文献

富硒饮食通过激活 Gpx-1P198L 过表达转基因小鼠中的 Caspase-9 和 Caspase-3 诱导心肌结构和功能异常。

Selenium-Rich Diet Induces Myocardial Structural and Functional Abnormalities by Activating Caspase-9 and Caspase-3 in Gpx-1P198L-Overexpression Transgenic Mice.

机构信息

Department of Cardiology, Fuwai Central China Cardiovascular Hospital, Zhengzhou, Henan, China (mainland).

Department of Cardiology, People's Hospital of Henan Province, Zhengzhou, Henan, China (mainland).

出版信息

Med Sci Monit. 2019 Jan 3;25:61-70. doi: 10.12659/MSM.911120.

Abstract

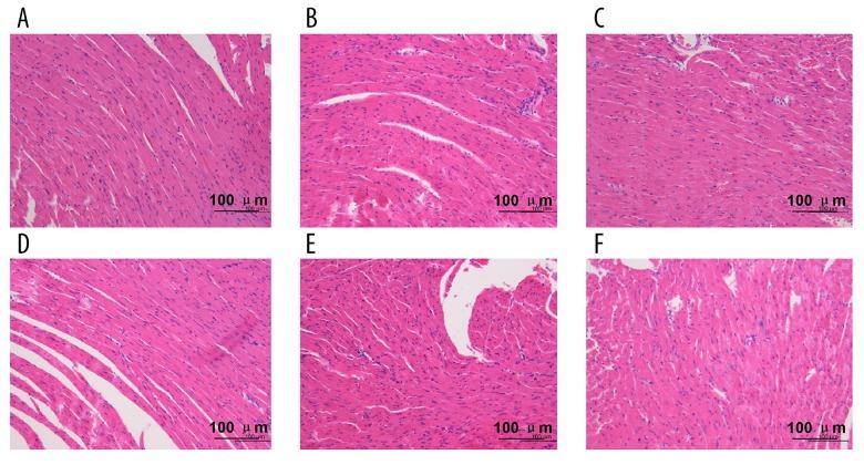
BACKGROUND Selenium (Se) deficiency and supplementation result in multiple effects. GPx-1 (Pro198Leu) polymorphism is associated with Se deficiency. This study aimed to observe associations between Se-deficiency/supplement and GPx-1-198Leu overexpression in myocardial injuries. MATERIAL AND METHODS GPx-1P198L transgenic (Tg) mice and non-transgenic wild-type (WT) littermates were divided into Control (CON, 0.1-0.2 mg/kg), Se-deficiency (SD, <0.02 mg/kg), and Se-supplement (SS, 0.4 mg/kg) groups. Cardiac functions were observed with animal M-mode echocardiography. Se level was measured using 2,3-diamino Kenai fluorospectrophotometry. Total cardiac GPx activity was also measured. Myocardial histopathology was determined with HE and Masson's trichrome staining. Caspase-9 and caspase-3 were measured with Western blot analysis. RESULTS In WT Se-deficient mice, cardiac GPx activity was significantly decreased, and was not elevated by overexpression of GPx-1-198Leu gene. Increased GPx activity was observed in WT Se-supplemented mice and Tg Se-supplemented mice (much more). Se deficiency as well as supplementation resulted in cardiac systolic dysfunction, which was not affected by GPx-1-198Leu gene. Se deficiency led to myocardial fibrosis and pathological changes accompanied by increased activation of caspase-9 and caspase-3. Se supplementation significantly reduced pathological changes, as well as caspase-9 and caspase-3 levels in the presence of increased myocardial fibrosis. In Se-deficient mice, GPx-1-198Leu overexpression did not significantly decrease myocardial pathological injuries and fibrosis. In Se-supplemented Tg mice, myocardial fibrosis and caspase-9 level were increased, although pathological injuries and caspase-3 were similar to that in Se-supplemented WT mice. CONCLUSIONS Se deficiency as well as supplementation induced myocardial structural and functional abnormalities through activation of caspase-9 and caspase-3 in GPx-1P198L overexpression transgenic mice.

摘要

背景

硒(Se)缺乏和补充会产生多种影响。GPx-1(Pro198Leu)多态性与 Se 缺乏有关。本研究旨在观察 Se 缺乏/补充和 GPx-1-198Leu 过表达在心肌损伤中的相关性。

材料和方法

将 GPx-1P198L 转基因(Tg)小鼠和非转基因野生型(WT)同窝仔鼠分为对照组(CON,0.1-0.2mg/kg)、Se 缺乏组(SD,<0.02mg/kg)和 Se 补充组(SS,0.4mg/kg)。采用动物 M 型超声心动图观察心功能。采用 2,3-二氨基萘荧光分光光度法测定 Se 水平。测定总心脏 GPx 活性。用 HE 和 Masson 三色染色法测定心肌组织病理学。用 Western blot 分析测定 caspase-9 和 caspase-3。

结果

在 WT Se 缺乏的小鼠中,心脏 GPx 活性显著降低,而过表达 GPx-1-198Leu 基因并未使其升高。WT Se 补充的小鼠和 Tg Se 补充的小鼠中,GPx 活性显著升高(更高)。Se 缺乏和补充均可导致心脏收缩功能障碍,而过表达 GPx-1-198Leu 基因对此无影响。Se 缺乏导致心肌纤维化和病理改变,同时伴有 caspase-9 和 caspase-3 的激活增加。Se 补充可显著减轻病理改变以及 caspase-9 和 caspase-3 的水平,尽管存在心肌纤维化增加。在 Se 缺乏的小鼠中,过表达 GPx-1-198Leu 并未显著降低心肌病理损伤和纤维化程度。在 Se 补充的 Tg 小鼠中,心肌纤维化和 caspase-9 水平增加,尽管病理损伤和 caspase-3 与 Se 补充的 WT 小鼠相似。

结论

在 GPx-1P198L 过表达转基因小鼠中,Se 缺乏和补充通过激活 caspase-9 和 caspase-3 诱导心肌结构和功能异常。

https://cdn.ncbi.nlm.nih.gov/pmc/blobs/23e2/6327778/e2efb43d66d3/medscimonit-25-61-g001.jpg

文献AI研究员

20分钟写一篇综述,助力文献阅读效率提升50倍。

立即体验

用中文搜PubMed

大模型驱动的PubMed中文搜索引擎

马上搜索

文档翻译

学术文献翻译模型,支持多种主流文档格式。

立即体验