A.N. Belozersky research institute of Physico-Chemical Biology, Lomonosov Moscow State University, 119991 Moscow, Russia.
Department of Reproduction Management, Leibniz-Institute for Zoo and Wildlife Research, Alfred-Kowalke-Str. 17, 10315 Berlin, Germany.
Int J Mol Sci. 2019 Jan 29;20(3):566. doi: 10.3390/ijms20030566.
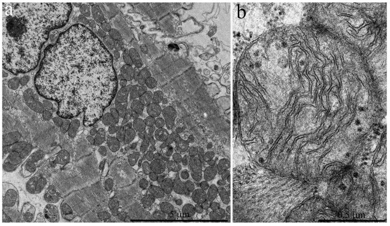
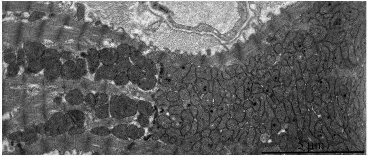
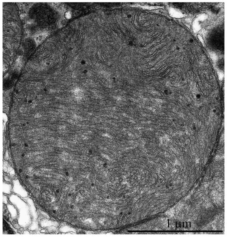
In this study, the ultrastructure of mitochondria in cardiomyocytes of naked mole rats () aged from 6 months to 11 years was examined. Mitochondria in cardiomyocytes of naked mole rats have a specific ultrastructure that is different from those in cardiomyocytes of other mammalian species studied to date. In contrast to mitochondria of other mammalian cardiomyocytes, where the internal space is completely filled by tightly packed parallel rows of cristae, mitochondria in cardiomyocytes of naked mole rats have a chaotic pattern of cristae organization with wave-like contours. Gradual formation of mitochondrial ultrastructure occurs in naked mole rats for many years. Two mitochondrial populations are developed to the age of 5 years. In addition to the main population, there are some large organelles which exceed normal sizes by two to three times. Most cristae in these mitochondria are assembled into small groups, which form the curved and ring-like structures. The appearance of some specific structural changes (i.e. bundles of parallel cristae) is observed in the mitochondrial population of naked mole rat after 11 years of age. However, these bundles are very rare and of sporadic nature. Morphometric analysis has shown that the superficial density of the inner mitochondrial membrane is similar in all examined age groups of naked mole rats: 21.1 at 6 months; 23.21 at 3 years; 23.55 at 5 years; and 20.8 at 11 years. This level is almost two times lower than in other animals studied (mice and rats). The data demonstrate that pathological changes in mitochondrial apparatus are not present in naked mole rats at least until the age of 11 years. The mitochondrial apparatus corresponds to the phenotype in young animals, thus being another neotenic feature in naked mole rats.
在这项研究中,研究了年龄从 6 个月到 11 岁的裸鼹鼠心肌细胞中线粒体的超微结构。裸鼹鼠心肌细胞中的线粒体具有特定的超微结构,与迄今为止研究过的其他哺乳动物心肌细胞中的线粒体不同。与其他哺乳动物心肌细胞中的线粒体不同,后者的内部空间完全被紧密堆积的平行嵴列填满,而裸鼹鼠心肌细胞中的线粒体嵴组织具有波浪状轮廓的混乱模式。线粒体超微结构在裸鼹鼠中经过多年的逐渐形成。到 5 岁时,形成了两种线粒体群体。除了主要群体外,还有一些大的细胞器,其大小超过正常大小的两到三倍。这些线粒体中的大多数嵴组装成小群,形成弯曲和环状结构。在 11 岁以后的裸鼹鼠线粒体群体中观察到一些特定结构变化(即平行嵴束)的出现。然而,这些束非常罕见且具有散在性。形态计量学分析表明,所有检查的裸鼹鼠年龄组中线粒体的内膜内表面密度相似:6 个月时为 21.1;3 岁时为 23.21;5 岁时为 23.55;11 岁时为 20.8。这一水平几乎比其他研究过的动物(小鼠和大鼠)低两倍。这些数据表明,线粒体装置的病理变化在至少 11 岁之前不存在于裸鼹鼠中。线粒体装置与年轻动物的表型相对应,因此是裸鼹鼠的另一个新表型特征。