• 文献检索
  • 文档翻译
  • 深度研究
  • 学术资讯
  • Suppr Zotero 插件Zotero 插件
  • 邀请有礼
  • 套餐&价格
  • 历史记录
应用&插件
Suppr Zotero 插件Zotero 插件浏览器插件Mac 客户端Windows 客户端微信小程序
定价
高级版会员购买积分包购买API积分包
服务
文献检索文档翻译深度研究API 文档MCP 服务
关于我们
关于 Suppr公司介绍联系我们用户协议隐私条款
关注我们

Suppr 超能文献

核心技术专利:CN118964589B侵权必究
粤ICP备2023148730 号-1Suppr @ 2026

文献检索

告别复杂PubMed语法,用中文像聊天一样搜索,搜遍4000万医学文献。AI智能推荐,让科研检索更轻松。

立即免费搜索

文件翻译

保留排版,准确专业,支持PDF/Word/PPT等文件格式,支持 12+语言互译。

免费翻译文档

深度研究

AI帮你快速写综述,25分钟生成高质量综述,智能提取关键信息,辅助科研写作。

立即免费体验

颈动脉狭窄与外周动脉疾病之间的关联:通过颈动脉超声筛查进行评估(横断面研究)。

Association between carotid artery stenosis and peripheral artery disease: Evaluation by screening carotid ultrasonography (cross-sectional study).

作者信息

Jung Hyuk Jae, Lee Sang Su, Kim Hyun Yul, Park Byung Soo, Kim Dong Il, Nam Kyoung Jin, Roh Ji Eun, Choo Ki Seok

机构信息

Department of Surgery.

Department of Radiology, Research Institute for Convergence of Biomedical Science and Technology, Pusan National University Yangsan Hospital, Pusan National University School of Medicine, Yangsan-si, Gyeongsangnam-do, South Korea.

出版信息

Medicine (Baltimore). 2019 Feb;98(6):e14163. doi: 10.1097/MD.0000000000014163.

DOI:10.1097/MD.0000000000014163
PMID:30732131
原文链接:https://pmc.ncbi.nlm.nih.gov/articles/PMC6380666/
Abstract

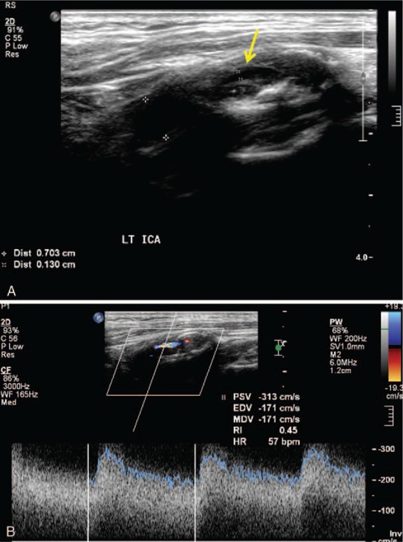
We aimed to investigate the association between carotid artery stenosis and peripheral artery disease (PAD) by screening carotid ultrasonography (CUS).From January 2012 to December 2015, 231 consecutive patients who had undergone preoperative CUS for PAD were included in this study. A radiologist assessed the degree of internal carotid artery (ICA) stenosis by using the North American Symptomatic Carotid Endarterectomy Trial (NASCET). Severe (>70%) ICA stenosis was evaluated based on the type of vascular surgery, PAD lesion, and ankle-brachial index (ABI). Data were analyzed using multiple logistic regression analysis and the χ test.Among 231 PAD patients, multilevel lesions revealed significantly higher incidence of severe ICA stenosis than iliac and infrainguinal lesion (22.5% vs 9.4% vs 8%: P = .016). Age (odds ratio [OR]: 1.05, 95% confidence interval [CI]: 1.00-1.12: P = .035), chronic kidney disease (CKD, OR: 6.19, 95% CI: 2.04-45.04: P = .013), and cerebral vascular disease (CVD, OR: 4.08, 95% CI: 1.13-16.46: P = .037) were significant risk factors of severe ICA stenosis in multivariate analysis. Prevalence of severe ICA stenosis according to ABI in PAD was not significant.Preoperative screening by CUS provides valuable information onasymptomatic carotid artery stenosis (ACAS) that can identify severe ACAS patients who are at high risk of stroke and to consider more intensive management of carotid disease in PAD patients. CUS can be a useful noninvasive preoperative screening imaging tool for PAD patients with multilevel lesions, aged > 65 years old, with CKD and CVD.

摘要

我们旨在通过颈动脉超声检查(CUS)来研究颈动脉狭窄与外周动脉疾病(PAD)之间的关联。2012年1月至2015年12月,本研究纳入了231例因PAD接受术前CUS检查的连续患者。一名放射科医生采用北美症状性颈动脉内膜切除术试验(NASCET)评估颈内动脉(ICA)狭窄程度。基于血管手术类型、PAD病变和踝臂指数(ABI)对重度(>70%)ICA狭窄进行评估。使用多元逻辑回归分析和χ检验对数据进行分析。在231例PAD患者中,多级病变患者的重度ICA狭窄发生率显著高于髂动脉和腹股沟下病变患者(22.5%对9.4%对8%:P = 0.016)。年龄(比值比[OR]:1.05,95%置信区间[CI]:1.00 - 1.12:P = 0.035)、慢性肾脏病(CKD,OR:6.19,95% CI:2.04 - 45.04:P = 0.013)和脑血管疾病(CVD,OR:4.08,95% CI:1.13 - 16.46:P = 0.037)在多变量分析中是重度ICA狭窄的显著危险因素。根据PAD患者的ABI得出的重度ICA狭窄患病率无显著差异。术前通过CUS筛查可提供关于无症状性颈动脉狭窄(ACAS)的有价值信息,能够识别出有中风高风险的重度ACAS患者,并考虑对PAD患者的颈动脉疾病进行更强化的管理。对于患有多级病变、年龄>65岁、患有CKD和CVD的PAD患者,CUS可作为一种有用的无创术前筛查成像工具。

https://cdn.ncbi.nlm.nih.gov/pmc/blobs/22b4/6380666/5047e4d16942/medi-98-e14163-g001.jpg
https://cdn.ncbi.nlm.nih.gov/pmc/blobs/22b4/6380666/5047e4d16942/medi-98-e14163-g001.jpg
https://cdn.ncbi.nlm.nih.gov/pmc/blobs/22b4/6380666/5047e4d16942/medi-98-e14163-g001.jpg

相似文献

1
Association between carotid artery stenosis and peripheral artery disease: Evaluation by screening carotid ultrasonography (cross-sectional study).颈动脉狭窄与外周动脉疾病之间的关联:通过颈动脉超声筛查进行评估(横断面研究)。
Medicine (Baltimore). 2019 Feb;98(6):e14163. doi: 10.1097/MD.0000000000014163.
2
The ARTICO study: identification of patients at high risk of vascular recurrence after a first non-cardioembolic stroke.ARTICO研究:首次非心源性卒中后血管复发高危患者的识别
BMC Neurol. 2015 Mar 11;15:28. doi: 10.1186/s12883-015-0278-4.
3
Cerebrovascular disease and intracranial artery stenosis in patients with symptomatic peripheral artery disease.症状性外周动脉疾病患者的脑血管病和颅内动脉狭窄。
J Stroke Cerebrovasc Dis. 2012 Nov;21(8):825-31. doi: 10.1016/j.jstrokecerebrovasdis.2011.04.016. Epub 2011 Jun 23.
4
Prevalence of asymptomatic critical carotid artery stenosis in Korean patients with chronic atherosclerotic lower extremity ischemia: is a screening carotid duplex ultrasonography worthwhile?韩国慢性动脉粥样硬化性下肢缺血患者无症状性临界颈动脉狭窄的患病率:颈动脉双功能超声筛查是否值得?
J Korean Med Sci. 2010 Aug;25(8):1167-70. doi: 10.3346/jkms.2010.25.8.1167. Epub 2010 Jul 20.
5
Prevalence of significant carotid artery stenosis in Iranian patients with peripheral arterial disease.伊朗外周动脉疾病患者中严重颈动脉狭窄的患病率。
Vasc Health Risk Manag. 2011;7:629-32. doi: 10.2147/VHRM.S23979. Epub 2011 Oct 11.
6
Association between physical activity and peripheral artery disease and carotid artery stenosis in a self-referred population of 3 million adults.在一个由300万成年人组成的自我推荐人群中,身体活动与外周动脉疾病和颈动脉狭窄之间的关联。
Arterioscler Thromb Vasc Biol. 2015 Jan;35(1):206-12. doi: 10.1161/ATVBAHA.114.304161. Epub 2014 Oct 30.
7
Prevalence of asymptomatic carotid artery stenosis in Chinese patients with lower extremity peripheral arterial disease: a cross-sectional study on 653 patients.中国下肢外周动脉疾病患者无症状性颈动脉狭窄的患病率:一项针对653例患者的横断面研究。
BMJ Open. 2021 Apr 30;11(4):e042926. doi: 10.1136/bmjopen-2020-042926.
8
Co-existence of vascular disease in different arterial beds: Peripheral artery disease and carotid artery stenosis--Data from Life Line Screening(®).不同动脉床血管疾病的共存:外周动脉疾病和颈动脉狭窄——来自生命线筛查的数据。
Atherosclerosis. 2015 Aug;241(2):687-91. doi: 10.1016/j.atherosclerosis.2015.06.029. Epub 2015 Jun 23.
9
[Natural history of moderate-degree carotid stenosis in patients with peripheral artery disease].[外周动脉疾病患者中度颈动脉狭窄的自然病史]
Med Clin (Barc). 2013 Apr 20;140(8):337-42. doi: 10.1016/j.medcli.2012.06.031. Epub 2013 Jan 20.
10
Prevalence and risk factors for cerebral infarction and carotid artery stenosis in peripheral arterial disease.外周动脉疾病患者脑梗死和颈动脉狭窄的患病率及相关危险因素。
Atherosclerosis. 2012 Aug;223(2):473-7. doi: 10.1016/j.atherosclerosis.2012.05.019. Epub 2012 Jun 4.

引用本文的文献

1
Risk Factors for Ankle Brachial Index and Carotid Artery Stenosis in Patients with Type 2 Diabetes.2型糖尿病患者踝臂指数和颈动脉狭窄的危险因素
Metabolites. 2024 Jan 17;14(1):59. doi: 10.3390/metabo14010059.
2
Early identification and treatment for peripheral arterial disease in patients with ischemic cerebrovascular disease.对缺血性脑血管病患者外周动脉疾病的早期识别和治疗。
Eur J Med Res. 2023 Feb 23;28(1):93. doi: 10.1186/s40001-023-01050-5.
3
Prevalence of visceral artery involvement in patients with peripheral artery disease found on run-off MRA.

本文引用的文献

1
Global Burden of Stroke.全球卒中负担。
Semin Neurol. 2018 Apr;38(2):208-211. doi: 10.1055/s-0038-1649503. Epub 2018 May 23.
2
Prevention of Stroke in Patients With Silent Cerebrovascular Disease: A Scientific Statement for Healthcare Professionals From the American Heart Association/American Stroke Association.无症状脑血管疾病患者的卒中预防:美国心脏协会/美国卒中协会给医疗专业人员的科学声明
Stroke. 2017 Feb;48(2):e44-e71. doi: 10.1161/STR.0000000000000116. Epub 2016 Dec 15.
3
Clinical utility of carotid duplex ultrasound prior to cardiac surgery.
MRA 显示的肢体动脉疾病患者内脏动脉受累的发生率。
BMC Med Imaging. 2021 Jun 2;21(1):93. doi: 10.1186/s12880-021-00615-2.
4
The Costs and Cardiovascular Benefits in Patients With Peripheral Artery Disease From a Fourth-Generation Synchronous Telehealth Program: Retrospective Cohort Study.第四代同步远程医疗计划中外周动脉疾病患者的成本和心血管获益:回顾性队列研究。
J Med Internet Res. 2021 May 18;23(5):e24346. doi: 10.2196/24346.
5
Prevalence of asymptomatic carotid artery stenosis in Chinese patients with lower extremity peripheral arterial disease: a cross-sectional study on 653 patients.中国下肢外周动脉疾病患者无症状性颈动脉狭窄的患病率:一项针对653例患者的横断面研究。
BMJ Open. 2021 Apr 30;11(4):e042926. doi: 10.1136/bmjopen-2020-042926.
6
Atherosclerotic Extension of Carotid Arteries: An Insertion in Clinical Practice.颈动脉粥样硬化扩展:临床实践中的一个切入点
Int J Vasc Med. 2020 Jun 23;2020:3120327. doi: 10.1155/2020/3120327. eCollection 2020.
7
Preoperative Carotid Duplex Scanning in Patients Undergoing Coronary Artery Bypass Grafting.接受冠状动脉旁路移植术患者的术前颈动脉双功超声扫描
Braz J Cardiovasc Surg. 2019 Dec 1;34(5):581-587. doi: 10.21470/1678-9741-2019-0131.
心脏手术前颈动脉双功超声的临床应用价值
J Vasc Surg. 2016 Mar;63(3):710-4. doi: 10.1016/j.jvs.2015.10.008.
4
Long-Term Results of Stenting versus Endarterectomy for Carotid-Artery Stenosis.颈动脉狭窄支架置入术与动脉内膜切除术的长期结果
N Engl J Med. 2016 Mar 17;374(11):1021-31. doi: 10.1056/NEJMoa1505215. Epub 2016 Feb 18.
5
Randomized Trial of Stent versus Surgery for Asymptomatic Carotid Stenosis.无症状性颈动脉狭窄支架治疗与手术治疗随机试验
N Engl J Med. 2016 Mar 17;374(11):1011-20. doi: 10.1056/NEJMoa1515706. Epub 2016 Feb 17.
6
Co-existence of vascular disease in different arterial beds: Peripheral artery disease and carotid artery stenosis--Data from Life Line Screening(®).不同动脉床血管疾病的共存:外周动脉疾病和颈动脉狭窄——来自生命线筛查的数据。
Atherosclerosis. 2015 Aug;241(2):687-91. doi: 10.1016/j.atherosclerosis.2015.06.029. Epub 2015 Jun 23.
7
Heart disease and stroke statistics--2015 update: a report from the American Heart Association.《2015年心脏病和中风统计数据更新:美国心脏协会报告》
Circulation. 2015 Jan 27;131(4):e29-322. doi: 10.1161/CIR.0000000000000152. Epub 2014 Dec 17.
8
Utility of carotid duplex ultrasonography in a general inner-city hospital.颈动脉双功超声检查在市中心综合医院的应用价值。
Cardiovasc Ultrasound. 2014 Nov 25;12:48. doi: 10.1186/1476-7120-12-48.
9
Screening carotid artery duplex in patients undergoing cardiac surgery.对接受心脏手术的患者进行颈动脉双功超声筛查。
Ann Vasc Surg. 2014 Jul;28(5):1178-85. doi: 10.1016/j.avsg.2013.07.025. Epub 2013 Nov 5.
10
Measurement and interpretation of the ankle-brachial index: a scientific statement from the American Heart Association.踝臂指数的测量与解读:美国心脏协会的科学声明
Circulation. 2012 Dec 11;126(24):2890-909. doi: 10.1161/CIR.0b013e318276fbcb. Epub 2012 Nov 16.