• 文献检索
  • 文档翻译
  • 深度研究
  • 学术资讯
  • Suppr Zotero 插件Zotero 插件
  • 邀请有礼
  • 套餐&价格
  • 历史记录
应用&插件
Suppr Zotero 插件Zotero 插件浏览器插件Mac 客户端Windows 客户端微信小程序
定价
高级版会员购买积分包购买API积分包
服务
文献检索文档翻译深度研究API 文档MCP 服务
关于我们
关于 Suppr公司介绍联系我们用户协议隐私条款
关注我们

Suppr 超能文献

核心技术专利:CN118964589B侵权必究
粤ICP备2023148730 号-1Suppr @ 2026

文献检索

告别复杂PubMed语法,用中文像聊天一样搜索,搜遍4000万医学文献。AI智能推荐,让科研检索更轻松。

立即免费搜索

文件翻译

保留排版,准确专业,支持PDF/Word/PPT等文件格式,支持 12+语言互译。

免费翻译文档

深度研究

AI帮你快速写综述,25分钟生成高质量综述,智能提取关键信息,辅助科研写作。

立即免费体验

微小 RNA-101 通过调控 mTOR 信号通路抑制自噬从而减轻肝缺血/再灌注损伤。

MicroRNA-101 inhibits autophagy to alleviate liver ischemia/reperfusion injury via regulating the mTOR signaling pathway.

机构信息

First Central Clinical College, Tianjin Medical University, Tianjin 300070, P.R. China.

出版信息

Int J Mol Med. 2019 Mar;43(3):1331-1342. doi: 10.3892/ijmm.2019.4077. Epub 2019 Jan 24.

DOI:10.3892/ijmm.2019.4077
PMID:30747215
原文链接:https://pmc.ncbi.nlm.nih.gov/articles/PMC6365072/
Abstract

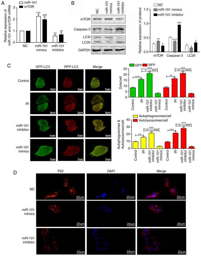
Liver ischemia/reperfusion injury (LIRI) is a common complication of liver surgery, and affects liver function post‑transplantation. However, the precise mechanism underlying LIRI has not yet been completely elucidated. Previous studies have demonstrated the involvement of a number of microRNAs (miRNAs/miRs) in liver pathophysiology. The objective of the present study was to determine the potential function and mechanism of miR‑101‑mediated regulation of autophagy in LIRI. Compared with the sham‑treated group, a significant decrease in miR‑101 and mechanistic target of rapamycin (mTOR) expression levels following ischemia/reperfusion (IR) were observed, along with an increased number of autophagosomes (P<0.001). The exogenous overexpression of miR‑101 has been demonstrated to inhibit autophagy during the LIRI response and the levels of mTOR and phosphorylated (p)‑mTOR expression are correspondingly elevated. However, compared with the miR‑NC group, miR‑101 silencing was associated with reduced mTOR and p‑mTOR levels and increased autophagy, as indicated by the gradual increase in the levels of the microtubule‑associated protein 1 light II (LC3II). The peak levels of LC3II were observed 12 h subsequent to reperfusion, which coincided with the lowest levels of miR‑101. In addition, inhibition of autophagy by 3‑methyladenine significant enhanced the protective effect of miR‑101 against LIRI, compared with the IR group (P<0.001). Altogether, miR‑101 attenuates LIRI by inhibiting autophagy via activating the mTOR pathway.

摘要

肝缺血/再灌注损伤(LIRI)是肝外科的常见并发症,会影响肝移植后的肝功能。然而,LIRI 的确切机制尚未完全阐明。先前的研究表明,许多 microRNAs(miRNAs/miRs)参与了肝脏病理生理学过程。本研究旨在确定 miR-101 介导的自噬调控在 LIRI 中的潜在功能和机制。与假手术处理组相比,在缺血/再灌注(IR)后,miR-101 和雷帕霉素靶蛋白(mTOR)表达水平显著下降,同时自噬体数量增加(P<0.001)。外源性过表达 miR-101 可抑制 LIRI 反应中的自噬,同时 mTOR 和磷酸化(p)-mTOR 表达水平相应升高。然而,与 miR-NC 组相比,miR-101 沉默与 mTOR 和 p-mTOR 水平降低以及自噬增加有关,这表明微管相关蛋白 1 轻链 2(LC3II)的水平逐渐升高。LC3II 的峰值水平在再灌注后 12 小时观察到,此时 miR-101 水平最低。此外,与 IR 组相比,3-甲基腺嘌呤抑制自噬显著增强了 miR-101 对 LIRI 的保护作用(P<0.001)。总之,miR-101 通过激活 mTOR 通路抑制自噬来减轻 LIRI。

https://cdn.ncbi.nlm.nih.gov/pmc/blobs/28ac/6365072/bebfa3451964/IJMM-43-03-1331-g05.jpg
https://cdn.ncbi.nlm.nih.gov/pmc/blobs/28ac/6365072/068781f7f6c8/IJMM-43-03-1331-g00.jpg
https://cdn.ncbi.nlm.nih.gov/pmc/blobs/28ac/6365072/59647990e1c5/IJMM-43-03-1331-g01.jpg
https://cdn.ncbi.nlm.nih.gov/pmc/blobs/28ac/6365072/6d0a62ee1d10/IJMM-43-03-1331-g02.jpg
https://cdn.ncbi.nlm.nih.gov/pmc/blobs/28ac/6365072/9e4ad30b921e/IJMM-43-03-1331-g03.jpg
https://cdn.ncbi.nlm.nih.gov/pmc/blobs/28ac/6365072/5fefd38e0e2c/IJMM-43-03-1331-g04.jpg
https://cdn.ncbi.nlm.nih.gov/pmc/blobs/28ac/6365072/bebfa3451964/IJMM-43-03-1331-g05.jpg
https://cdn.ncbi.nlm.nih.gov/pmc/blobs/28ac/6365072/068781f7f6c8/IJMM-43-03-1331-g00.jpg
https://cdn.ncbi.nlm.nih.gov/pmc/blobs/28ac/6365072/59647990e1c5/IJMM-43-03-1331-g01.jpg
https://cdn.ncbi.nlm.nih.gov/pmc/blobs/28ac/6365072/6d0a62ee1d10/IJMM-43-03-1331-g02.jpg
https://cdn.ncbi.nlm.nih.gov/pmc/blobs/28ac/6365072/9e4ad30b921e/IJMM-43-03-1331-g03.jpg
https://cdn.ncbi.nlm.nih.gov/pmc/blobs/28ac/6365072/5fefd38e0e2c/IJMM-43-03-1331-g04.jpg
https://cdn.ncbi.nlm.nih.gov/pmc/blobs/28ac/6365072/bebfa3451964/IJMM-43-03-1331-g05.jpg

相似文献

1
MicroRNA-101 inhibits autophagy to alleviate liver ischemia/reperfusion injury via regulating the mTOR signaling pathway.微小 RNA-101 通过调控 mTOR 信号通路抑制自噬从而减轻肝缺血/再灌注损伤。
Int J Mol Med. 2019 Mar;43(3):1331-1342. doi: 10.3892/ijmm.2019.4077. Epub 2019 Jan 24.
2
Protective role of microRNA-27a upregulation and HSP90 silencing against cerebral ischemia-reperfusion injury in rats by activating PI3K/AKT/mTOR signaling pathway.上调微小RNA-27a和沉默热休克蛋白90通过激活PI3K/AKT/mTOR信号通路对大鼠脑缺血再灌注损伤的保护作用
Int Immunopharmacol. 2020 Sep;86:106635. doi: 10.1016/j.intimp.2020.106635. Epub 2020 Jul 4.
3
lncRNA C2dat2 facilitates autophagy and apoptosis via the miR-30d-5p/DDIT4/mTOR axis in cerebral ischemia-reperfusion injury.长链非编码 RNA C2dat2 通过 miR-30d-5p/DDIT4/mTOR 轴促进脑缺血再灌注损伤中的自噬和细胞凋亡。
Aging (Albany NY). 2021 Apr 4;13(8):11315-11335. doi: 10.18632/aging.202824.
4
IL37 overexpression inhibits autophagy and apoptosis induced by hepatic ischemia reperfusion injury via modulating AMPK/mTOR/ULLK1 signalling pathways.IL37 通过调控 AMPK/mTOR/ULLK1 信号通路抑制肝缺血再灌注损伤诱导的自噬和凋亡。
Life Sci. 2021 Jul 1;276:119424. doi: 10.1016/j.lfs.2021.119424. Epub 2021 Mar 27.
5
PTEN protects kidney against acute kidney injury by alleviating apoptosis and promoting autophagy via regulating HIF1-α and mTOR through PI3K/Akt pathway.PTEN 通过调节 HIF1-α 和 mTOR 通路,通过 PI3K/Akt 途径减轻细胞凋亡并促进自噬,从而保护肾脏免受急性肾损伤。
Exp Cell Res. 2021 Sep 1;406(1):112729. doi: 10.1016/j.yexcr.2021.112729. Epub 2021 Jul 7.
6
Leptin relieves ischemia/reperfusion induced acute kidney injury through inhibiting apoptosis and autophagy.瘦素通过抑制细胞凋亡和自噬缓解缺血再灌注引起的急性肾损伤。
Zhong Nan Da Xue Xue Bao Yi Xue Ban. 2022 Jan 28;47(1):8-17. doi: 10.11817/j.issn.1672-7347.2022.210244.
7
Autophagy and Akt in the protective effect of erythropoietin helix B surface peptide against hepatic ischaemia/reperfusion injury in mice.促红细胞生成素螺旋 B 表面肽通过自噬和 Akt 对小鼠肝缺血/再灌注损伤的保护作用。
Sci Rep. 2018 Oct 2;8(1):14703. doi: 10.1038/s41598-018-33028-3.
8
Spermidine ameliorates liver ischaemia-reperfusion injury through the regulation of autophagy by the AMPK-mTOR-ULK1 signalling pathway.精胺通过调节 AMPK-mTOR-ULK1 信号通路改善肝缺血再灌注损伤。
Biochem Biophys Res Commun. 2019 Nov 5;519(2):227-233. doi: 10.1016/j.bbrc.2019.08.162. Epub 2019 Sep 4.
9
miR-146a-5p/TXNIP axis attenuates intestinal ischemia-reperfusion injury by inhibiting autophagy via the PRKAA/mTOR signaling pathway.miR-146a-5p/TXNIP 轴通过抑制自噬来减轻肠道缺血再灌注损伤,其作用途径是 PRKAA/mTOR 信号通路。
Biochem Pharmacol. 2022 Mar;197:114839. doi: 10.1016/j.bcp.2021.114839. Epub 2021 Nov 11.
10
Melatonin inhibits mTOR-dependent autophagy during liver ischemia/reperfusion.褪黑素在肝脏缺血/再灌注过程中抑制mTOR依赖性自噬。
Cell Physiol Biochem. 2014;33(1):23-36. doi: 10.1159/000356647. Epub 2014 Jan 2.

引用本文的文献

1
Exploring the Molecular Mechanisms of Autophagy-related Genes in Hepatic Ischemia/Reperfusion Injury Using Bioinformatics.利用生物信息学探索自噬相关基因在肝脏缺血/再灌注损伤中的分子机制
Transplant Direct. 2025 Jun 27;11(7):e1829. doi: 10.1097/TXD.0000000000001829. eCollection 2025 Jul.
2
Autophagy in hepatic ischemia-reperfusion injury.肝脏缺血再灌注损伤中的自噬
Cell Death Discov. 2023 Apr 5;9(1):115. doi: 10.1038/s41420-023-01387-0.
3
MicroRNA-101-3p Suppresses mTOR and Causes Mitochondrial Fragmentation and Cell Degeneration in COPD.

本文引用的文献

1
miR-155 Aggravates Liver Ischemia/reperfusion Injury by Suppressing SOCS1 in Mice.微小RNA-155通过抑制小鼠体内的细胞因子信号转导抑制因子1加重肝脏缺血/再灌注损伤。
Transplant Proc. 2018 Dec;50(10):3831-3839. doi: 10.1016/j.transproceed.2018.08.060. Epub 2018 Sep 5.
2
Long noncoding RNA HOTAIR regulates autophagy via the miR-20b-5p/ATG7 axis in hepatic ischemia/reperfusion injury.长链非编码 RNA HOTAIR 通过 miR-20b-5p/ATG7 轴调控肝缺血/再灌注损伤中的自噬。
Gene. 2019 Feb 20;686:56-62. doi: 10.1016/j.gene.2018.10.059. Epub 2018 Oct 24.
3
Octreotide Alleviates Autophagy by Up-Regulation of MicroRNA-101 in Intestinal Epithelial Cell Line Caco-2.
miR-101-3p 抑制 mTOR 并导致 COPD 中线粒体碎片化和细胞变性。
Can Respir J. 2022 Dec 5;2022:5933324. doi: 10.1155/2022/5933324. eCollection 2022.
4
Virus, Exosome, and MicroRNA: New Insights into Autophagy.病毒、外泌体和 microRNA:自噬的新见解。
Adv Exp Med Biol. 2022;1401:97-162. doi: 10.1007/5584_2022_715.
5
Prevention of D-GalN/LPS-induced ALI by 18β-glycyrrhetinic acid through PXR-mediated inhibition of autophagy degradation.18β-甘草次酸通过 PXR 介导的自噬降解抑制防治 D-GalN/LPS 诱导的 ALI。
Cell Death Dis. 2021 May 13;12(5):480. doi: 10.1038/s41419-021-03768-8.
6
miRNA-182/Deptor/mTOR axis regulates autophagy to reduce intestinal ischaemia/reperfusion injury.miRNA-182/Deptor/mTOR 轴调控自噬减轻肠缺血/再灌注损伤。
J Cell Mol Med. 2020 Jul;24(14):7873-7883. doi: 10.1111/jcmm.15420. Epub 2020 Jun 8.
7
Autophagy, Mitophagy and MicroRNA Expression in Chronic Hepatitis C and Autoimmune Hepatitis.慢性丙型肝炎和自身免疫性肝炎中的自噬、线粒体自噬和 microRNA 表达。
Pathol Oncol Res. 2020 Oct;26(4):2143-2151. doi: 10.1007/s12253-020-00799-y. Epub 2020 Mar 2.
8
Protective Role of mTOR in Liver Ischemia/Reperfusion Injury: Involvement of Inflammation and Autophagy.mTOR 在肝缺血/再灌注损伤中的保护作用:炎症和自噬的参与。
Oxid Med Cell Longev. 2019 Nov 13;2019:7861290. doi: 10.1155/2019/7861290. eCollection 2019.
9
Molecular strategies used by hibernators: Potential therapeutic directions for ischemia reperfusion injury and preservation of human donor organs.冬眠动物所采用的分子策略:缺血再灌注损伤及人类供体器官保存的潜在治疗方向。
Transplant Rev (Orlando). 2020 Jan;34(1):100512. doi: 10.1016/j.trre.2019.100512. Epub 2019 Oct 18.
10
Serp-2, a virus-derived apoptosis and inflammasome inhibitor, attenuates liver ischemia-reperfusion injury in mice.丝氨酸蛋白酶抑制剂-2(Serp-2)是一种病毒衍生的凋亡和炎性小体抑制剂,可减轻小鼠肝脏缺血再灌注损伤。
J Inflamm (Lond). 2019 May 29;16:12. doi: 10.1186/s12950-019-0215-1. eCollection 2019.
奥曲肽通过上调肠上皮细胞系Caco-2中的微小RNA-101减轻自噬。
Cell Physiol Biochem. 2018;49(4):1352-1363. doi: 10.1159/000493413. Epub 2018 Sep 11.
4
Novel Targets for Treating Ischemia-Reperfusion Injury in the Liver.治疗肝脏缺血再灌注损伤的新靶点。
Int J Mol Sci. 2018 Apr 26;19(5):1302. doi: 10.3390/ijms19051302.
5
Circulating miR-106b-3p, miR-101-3p and miR-1246 as diagnostic biomarkers of hepatocellular carcinoma.循环中的miR-106b-3p、miR-101-3p和miR-1246作为肝细胞癌的诊断生物标志物。
Oncotarget. 2018 Feb 27;9(20):15350-15364. doi: 10.18632/oncotarget.24601. eCollection 2018 Mar 16.
6
Metazoan MicroRNAs.后生动物 MicroRNAs。
Cell. 2018 Mar 22;173(1):20-51. doi: 10.1016/j.cell.2018.03.006.
7
transfection of anti-tumor miR-101 induces BIM, a pro-apoptotic protein, expression in acute myeloid leukemia (AML).抗肿瘤miR-101的转染可诱导促凋亡蛋白BIM在急性髓系白血病(AML)中的表达。
EXCLI J. 2017 Nov 27;16:1257-1267. doi: 10.17179/excli2017-721. eCollection 2017.
8
MicroRNA-101 Modulates Autophagy and Oligodendroglial Alpha-Synuclein Accumulation in Multiple System Atrophy.微小RNA-101调节多系统萎缩中的自噬和少突胶质细胞α-突触核蛋白积累。
Front Mol Neurosci. 2017 Oct 17;10:329. doi: 10.3389/fnmol.2017.00329. eCollection 2017.
9
MiR-101 reduces cell proliferation and invasion and enhances apoptosis in endometrial cancer via regulating PI3K/Akt/mTOR.miR-101 通过调控 PI3K/Akt/mTOR 抑制子宫内膜癌细胞增殖、侵袭并促进凋亡
Cancer Biomark. 2017 Dec 12;21(1):179-186. doi: 10.3233/CBM-170620.
10
MicroRNA-30a ameliorates hepatic fibrosis by inhibiting Beclin1-mediated autophagy.微小 RNA-30a 通过抑制 Beclin1 介导的自噬来改善肝纤维化。
J Cell Mol Med. 2017 Dec;21(12):3679-3692. doi: 10.1111/jcmm.13278. Epub 2017 Aug 1.