Suppr超能文献

电解质紊乱作为Takotsubo心肌病的触发因素

Electrolyte Disorders as Triggers for Takotsubo Cardiomyopathy.

作者信息

Andreozzi Fabio, Cuminetti Giovanni, Karmali Rafik, Kamgang Prochore

机构信息

Internal Medicine Department, Brugmann University Hospital, Brussels, Belgium.

Cardiology Department, Brugmann University Hospital, Brussels, Belgium.

出版信息

Eur J Case Rep Intern Med. 2018 Apr 24;5(4):000760. doi: 10.12890/2018_000760. eCollection 2018.

Abstract

UNLABELLED

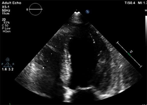
A 56-year-old woman presented with cognitive impairment, confusion and slowed speech, muscle cramps and peripheral paraesthesia preceded by vomiting. Blood tests revealed severe hypokalaemia, hyponatremia, hypomagnesemia and hypocalcaemia. Following a diagnosis of Takotsubo cardiomyopathy based on ultrasonography, the patient was treated with electrolyte supplementation and recovered within 48h. When heart failure is suspected, electrolyte abnormalities should be carefully ruled out as they can affect cardiac function.

LEARNING POINTS

The association between electrolyte abnormalities and Takotsubo cardiomyopathy has still not been well established in the literature.Hypomagnesemia and hypocalcaemia can contribute to cardiac akinesia and so should be ruled out in heart failure.Correction of hypomagnesemia and hypocalcaemia is an important and an under-estimated part of the optimal treatment of cardiac failure.

摘要

未标注

一名56岁女性出现认知障碍、意识模糊、言语迟缓、肌肉痉挛和周围感觉异常,之前有呕吐症状。血液检查显示严重低钾血症、低钠血症、低镁血症和低钙血症。基于超声心动图诊断为应激性心肌病后,患者接受了电解质补充治疗,并在48小时内康复。当怀疑心力衰竭时,应仔细排除电解质异常,因为它们会影响心脏功能。

学习要点

电解质异常与应激性心肌病之间的关联在文献中仍未得到充分证实。低镁血症和低钙血症可导致心肌运动障碍,因此在心力衰竭中应予以排除。纠正低镁血症和低钙血症是心力衰竭最佳治疗中重要且被低估的一部分。

https://cdn.ncbi.nlm.nih.gov/pmc/blobs/9605/6346755/45048f4137f7/760_Fig1.jpg

文献AI研究员

20分钟写一篇综述,助力文献阅读效率提升50倍。

立即体验

用中文搜PubMed

大模型驱动的PubMed中文搜索引擎

马上搜索

文档翻译

学术文献翻译模型,支持多种主流文档格式。

立即体验