Suppr超能文献

卵巢动脉巨细胞动脉炎:一种常见疾病的罕见表现。

Giant-cell Arteritis of the Ovarian Arteries: A Rare Manifestation of a Common Disease.

作者信息

Theunissen Prisca, Kliffen Mike, Dees Ad

机构信息

Department of Internal Medicine, Ikazia Ziekenhuis, Rotterdam, The Netherlands.

Department of Clinical Pathology, Maasstad Ziekenhuis, Rotterdam, The Netherlands.

出版信息

Eur J Case Rep Intern Med. 2018 May 25;5(5):000779. doi: 10.12890/2018_000779. eCollection 2018.

Abstract

UNLABELLED

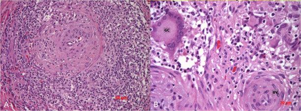
We describe a 58-year-old woman presenting with headache and an elevated erythrocyte sedimentation rate (ESR), who was diagnosed with and successfully treated for giant-cell arteritis (GCA). Seven months after the end of treatment, ovarian GCA was incidentally found after ovariectomy for a simple cyst. GCA of extracranial vessels like the ovarian arteries is rare. Nevertheless, we stress that extracranial GCA should be considered in patients older than 50 years with an elevated ESR, even if a temporal artery biopsy is negative or specific symptoms are absent. Moreover, we discuss the importance of imaging techniques when GCA of the extracranial large vessels is suspected.

LEARNING POINTS

Although rare, ovarian arteries can be involved in giant-cell arteritis (GCA).Extracranial GCA should be considered in the differential diagnosis of patients aged 50 years or older with an elevated ESR, even if temporal artery biopsy is negative or specific symptomatology of GCA is absent.If GCA is suspected but the origin is unclear, an MRA or PET-CT scan should be performed to screen for GCA of extracranial arteries.

摘要

未标注

我们描述了一名58岁女性,她因头痛和红细胞沉降率(ESR)升高就诊,被诊断为巨细胞动脉炎(GCA)并接受了成功治疗。治疗结束7个月后,因单纯囊肿行卵巢切除术后偶然发现卵巢GCA。像卵巢动脉这样的颅外血管GCA很少见。然而,我们强调,对于50岁以上ESR升高的患者,即使颞动脉活检阴性或无特定症状,也应考虑颅外GCA。此外,我们讨论了怀疑颅外大血管GCA时成像技术的重要性。

学习要点

虽然罕见,但卵巢动脉可累及巨细胞动脉炎(GCA)。对于50岁及以上ESR升高的患者,即使颞动脉活检阴性或无GCA的特定症状,在鉴别诊断时也应考虑颅外GCA。如果怀疑GCA但起源不明,应进行MRA或PET-CT扫描以筛查颅外动脉GCA。

https://cdn.ncbi.nlm.nih.gov/pmc/blobs/48f0/6346925/616c218cfe42/779_Fig1.jpg

文献AI研究员

20分钟写一篇综述,助力文献阅读效率提升50倍。

立即体验

用中文搜PubMed

大模型驱动的PubMed中文搜索引擎

马上搜索

文档翻译

学术文献翻译模型,支持多种主流文档格式。

立即体验