Suppr超能文献

Histomonas meleagridis 外分泌组的分子特征,重点是蛋白酶分泌和寄生虫-细菌相互作用。

Molecular characterization of Histomonas meleagridis exoproteome with emphasis on protease secretion and parasite-bacteria interaction.

机构信息

Clinic for Poultry and Fish Medicine, Department for Farm Animals and Veterinary Public Health, University of Veterinary Medicine Vienna, Vienna, Austria.

VetCORE, Facility for Research, University of Veterinary Medicine Vienna, Vienna, Austria.

出版信息

PLoS One. 2019 Feb 26;14(2):e0212429. doi: 10.1371/journal.pone.0212429. eCollection 2019.

Abstract

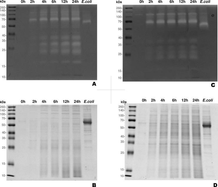
The exoproteome of parasitic protists constitutes extracellular proteins that play a fundamental role in host-parasite interactions. Lytic factors, especially secreted proteases, are capable of modulating tissue invasion, thereby aggravating host susceptibility. Despite the important role of exoproteins during infection, the exoproteomic data on Histomonas meleagridis are non-existent. The present study employed traditional 1D-in-gel-zymography (1D-IGZ) and micro-LC-ESI-MS/MS (shotgun proteomics), to investigate H. meleagridis exoproteomes, obtained from a clonal virulent and an attenuated strain. Both strains were maintained as mono-eukaryotic monoxenic cultures with Escherichia coli. We demonstrated active in vitro secretion kinetics of proteases by both parasite strains, with a widespread proteolytic activity ranging from 17 kDa to 120 kDa. Based on protease inhibitor susceptibility assay, the majority of proteases present in both exoproteomes belonged to the family of cysteine proteases and showed stronger activity in the exoproteome of a virulent H. meleagridis. Shotgun proteomics, aided by customized database search, identified 176 proteins including actin, potential moonlighting glycolytic enzymes, lytic molecules such as pore-forming proteins (PFPs) and proteases like cathepsin-L like cysteine protease. To quantify the exoproteomic differences between the virulent and the attenuated H. meleagridis cultures, a sequential window acquisition of all theoretical spectra mass spectrometric (SWATH-MS) approach was applied. Surprisingly, results showed most of the exoproteomic differences to be of bacterial origin, especially targeting metabolism and locomotion. By deciphering such molecular signatures, novel insights into a complex in vitro protozoan- bacteria relationship were elucidated.

摘要

寄生虫原生动物的外蛋白质组由细胞外蛋白质组成,这些蛋白质在宿主-寄生虫相互作用中起着至关重要的作用。溶细胞因子,特别是分泌的蛋白酶,能够调节组织入侵,从而加重宿主的易感性。尽管外蛋白质在感染过程中起着重要作用,但Histomonas meleagridis 的外蛋白质组数据却不存在。本研究采用传统的 1D-IGZ 和 micro-LC-ESI-MS/MS(shotgun 蛋白质组学)技术,研究了从克隆毒力和减毒株获得的 H. meleagridis 外蛋白质组。两种菌株均作为单真核单共生培养物与大肠杆菌一起维持。我们证明了两种寄生虫株在体外具有活跃的蛋白酶分泌动力学,具有广泛的蛋白水解活性,范围从 17 kDa 到 120 kDa。基于蛋白酶抑制剂敏感性测定,两种外蛋白质组中存在的大多数蛋白酶属于半胱氨酸蛋白酶家族,在毒力较强的 H. meleagridis 外蛋白质组中表现出更强的活性。shotgun 蛋白质组学,借助定制的数据库搜索,鉴定了 176 种蛋白质,包括肌动蛋白、潜在的月光下糖酵解酶、溶细胞分子如孔形成蛋白 (PFPs) 和组织蛋白酶-L 样半胱氨酸蛋白酶等。为了定量分析毒力和减毒 H. meleagridis 培养物之间的外蛋白质组差异,应用了连续窗口采集所有理论谱质谱 (SWATH-MS) 方法。令人惊讶的是,结果表明,大多数外蛋白质组差异都来自细菌,特别是针对代谢和运动。通过破译这些分子特征,我们对复杂的体外原生动物-细菌关系有了新的认识。

https://cdn.ncbi.nlm.nih.gov/pmc/blobs/40f8/6391000/9321167a5837/pone.0212429.g001.jpg

文献AI研究员

20分钟写一篇综述,助力文献阅读效率提升50倍。

立即体验

用中文搜PubMed

大模型驱动的PubMed中文搜索引擎

马上搜索

文档翻译

学术文献翻译模型,支持多种主流文档格式。

立即体验