Suppr超能文献

乳腺恶性叶状肿瘤伴脂肪肉瘤分化:一例影像学表现的病例报告

Malignant phyllodes tumor of the breast with liposarcomatous differentiation: A case report with imaging findings.

作者信息

Kim Ji Hee, Lee Ji Young

机构信息

Department of Radiology, Inje University, Ilsan Paik Hospital, 2240 Daehwa-dong, Ilsan Seo-gu, Goyang-si, Gyeonggi-do, Republic of Korea.

出版信息

Radiol Case Rep. 2019 Feb 22;14(5):531-534. doi: 10.1016/j.radcr.2019.02.007. eCollection 2019 May.

Abstract

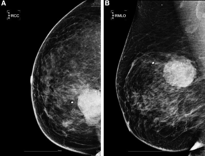
Phyllodes tumors are rare neoplasms that account for 2.5% of all fibroepithelial lesions, and 10%-20% exhibit malignant transformation. Malignant transformation often occurs in the form of stroma, and usually shows fibrosarcomatous differentiation. Liposarcomatous differentiation is a rare, developed stromal component of phyllodes tumors, and little is known about their imaging findings. We present the case of a 47-year-old woman who was diagnosed with a malignant phyllodes tumor of the breast that contained liposarcomatous elements. The patient underwent wide surgical excision of the mass and has been treated with adjuvant radiation therapy.

摘要

叶状肿瘤是罕见的肿瘤,占所有纤维上皮性病变的2.5%,其中10%-20%会发生恶变。恶变通常发生在间质中,且通常表现为纤维肉瘤样分化。脂肪肉瘤样分化是叶状肿瘤中一种罕见的、已发展的间质成分,关于其影像学表现知之甚少。我们报告一例47岁女性患者,她被诊断为乳腺恶性叶状肿瘤,其中含有脂肪肉瘤成分。该患者接受了肿块的广泛手术切除,并接受了辅助放疗。

https://cdn.ncbi.nlm.nih.gov/pmc/blobs/dfc9/6389548/c117348e8d67/gr1.jpg

文献检索

告别复杂PubMed语法,用中文像聊天一样搜索,搜遍4000万医学文献。AI智能推荐,让科研检索更轻松。

立即免费搜索

文件翻译

保留排版,准确专业,支持PDF/Word/PPT等文件格式,支持 12+语言互译。

免费翻译文档

深度研究

AI帮你快速写综述,25分钟生成高质量综述,智能提取关键信息,辅助科研写作。

立即免费体验