Suppr超能文献

遗传性多发性脑膜瘤:一个患病家族的临床、病理及细胞遗传学研究

Inherited multiple meningiomas: a clinical, pathological and cytogenetic study of an affected family.

作者信息

Battersby R D, Ironside J W, Maltby E L

出版信息

J Neurol Neurosurg Psychiatry. 1986 Apr;49(4):362-8. doi: 10.1136/jnnp.49.4.362.

Abstract

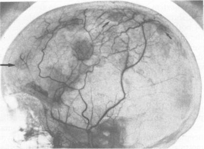
The clinical features of a family with inherited multiple meningiomas as the major manifestation of neurofibromatosis are presented. The value of noninvasive radiological screening investigations is emphasised. The results of cytogenetic and pathological studies on the family are presented and discussed with a review of the relevant literature.

摘要

本文报道了一个以遗传性多发性脑膜瘤为主要表现的神经纤维瘤病家族的临床特征。强调了无创性放射学筛查检查的价值。介绍并讨论了该家族的细胞遗传学和病理学研究结果,并对相关文献进行了综述。

https://cdn.ncbi.nlm.nih.gov/pmc/blobs/1f5c/1028759/466e3a1ea9b3/jnnpsyc00096-0023-a.jpg

文献检索

告别复杂PubMed语法,用中文像聊天一样搜索,搜遍4000万医学文献。AI智能推荐,让科研检索更轻松。

立即免费搜索

文件翻译

保留排版,准确专业,支持PDF/Word/PPT等文件格式,支持 12+语言互译。

免费翻译文档

深度研究

AI帮你快速写综述,25分钟生成高质量综述,智能提取关键信息,辅助科研写作。

立即免费体验