Suppr超能文献

原发性结肠脂肪肉瘤病:1例报告并文献复习

Primary colonic liposarcomatosis: report of a case with review of literature.

作者信息

Sultania Mahesh, Muduly Dillip, Jha Shilpy, Kar Madhabananda, Mitra Suvradeep

机构信息

All India Institute of Medical Sciences, Department of Surgical Oncology. Bhubaneswar, Orissa, India.

All India Institute of Medical Sciences, Department of Pathology and Laboratory Medicine, Bhubaneswar, Orissa, India.

出版信息

Autops Case Rep. 2019 Jan 14;9(1):e2018056. doi: 10.4322/acr.2018.056. eCollection 2019 Jan-Mar.

Abstract

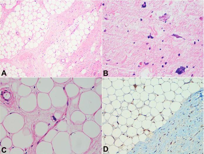
The colon is a rare site of occurrence of liposarcoma, as either the primary site or by secondary involvement from a retroperitoneal liposarcoma. Liposarcomatosis denotes simultaneous occurrence of multiple liposarcomas. There are only 17 cases of primary colonic liposarcoma reported in the English literature-one of which was primary colonic liposarcomatosis. We depict the second case of primary colonic liposarcomatosis in a 57-year-old female who presented with abdominal swelling and pain. On exploratory laparotomy, two large masses were seen arising from the wall of the right colon along with multiple smaller masses attached to the colon. Right hemicolectomy with en bloc excision of the masses was performed along with hysterectomy and pelvic floor repair. Macroscopically, multiple exophytic masses and one endophytic mass were identified. The exophytic masses were of variable size and were found to hang from the colon by a thin pedicle simulating variable-sized appendices epiploicae. Histopathologically, the lesions showed the morphology of well-differentiated liposarcoma. This appears to be a case of primary colonic liposarcomatosis. There is only one other similar case reported in the English literature, to the best of our knowledge.

摘要

结肠是脂肪肉瘤罕见的发生部位,无论是作为原发部位还是由腹膜后脂肪肉瘤继发累及。脂肪肉瘤病指同时发生多个脂肪肉瘤。英文文献中仅报道了17例原发性结肠脂肪肉瘤病例,其中1例为原发性结肠脂肪肉瘤病。我们描述了第二例原发性结肠脂肪肉瘤病,患者为一名57岁女性,表现为腹部肿胀和疼痛。在剖腹探查术中,可见两个大肿块起源于右结肠壁,还有多个较小的肿块附着于结肠。进行了右半结肠切除术,将肿块整块切除,同时进行了子宫切除术和盆底修复。宏观上,发现多个外生性肿块和一个内生性肿块。外生性肿块大小不一,通过细蒂悬挂在结肠上,类似大小不一的网膜阑尾。组织病理学上,病变显示为高分化脂肪肉瘤的形态。这似乎是一例原发性结肠脂肪肉瘤病。据我们所知,英文文献中仅报道了另一例类似病例。

https://cdn.ncbi.nlm.nih.gov/pmc/blobs/a593/6394358/9b733e5201db/autopsy-09-01e2018056-g01.jpg

文献AI研究员

20分钟写一篇综述,助力文献阅读效率提升50倍。

立即体验

用中文搜PubMed

大模型驱动的PubMed中文搜索引擎

马上搜索

文档翻译

学术文献翻译模型,支持多种主流文档格式。

立即体验