Suppr超能文献

隐源性肝硬化患者的平卧呼吸困难-直立性低氧血症综合征:一种难以捉摸的低氧血症原因。

Platypnea-orthodeoxia Syndrome in a Patient with Cryptogenic Liver Cirrhosis: An Elusive Cause of Hypoxemia.

作者信息

Rojas Edward, Aktas Adem, Parikh Hardik, Khawaja Umar S, Pergament Kathleen

机构信息

Internal Medicine, Rutgers New Jersey Medical School, Newark, USA.

出版信息

Cureus. 2019 Jan 8;11(1):e3846. doi: 10.7759/cureus.3846.

Abstract

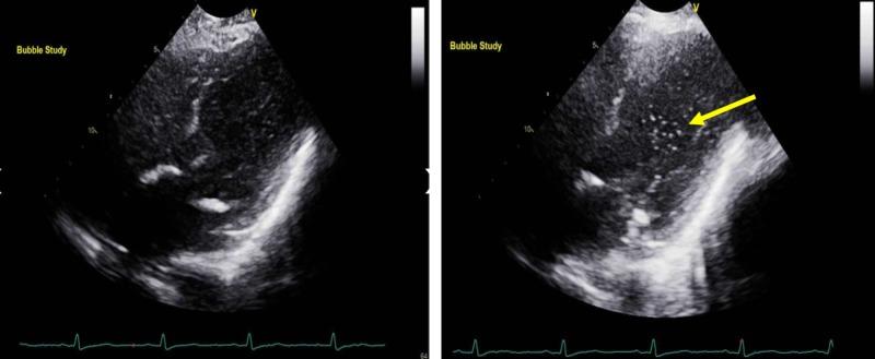
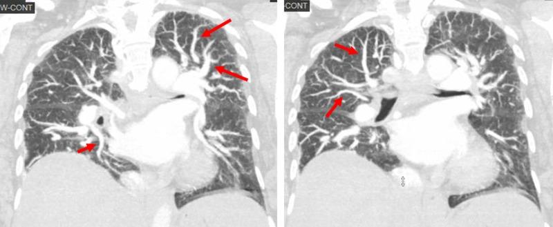
Platypnea-orthodeoxia syndrome (POS) has been defined as shortness of breath and hypoxemia in the upright position that improves with dorsal decubitus. This is a rare disorder caused by right-to-left shunts due to a persistent foramen ovale or pulmonary arteriovenous malformations. Hepatopulmonary syndrome can present with POS in the presence of pulmonary vasodilation and pulmonary arteriovenous communications in patients with liver disease. We report a case where the diagnosis of POS was made incidentally in a patient with cryptogenic liver cirrhosis. After other causes of hypoxemia were excluded, the diagnosis of right-to-left pulmonary shunt was confirmed by late opacification of the left heart chambers seen in a transthoracic echocardiogram. Interestingly, computerized tomography (CT) of the chest with contrast demonstrated a very prominent pulmonary vascular pattern extending to the periphery of the lungs. POS is a rare cause of hypoxemia that requires a high level of suspicion, and exclusion of more common causes of hypoxemia.

摘要

平卧呼吸困难-直立性低氧血症综合征(POS)被定义为直立位时出现气短和低氧血症,而在仰卧位时症状改善。这是一种由持续存在的卵圆孔未闭或肺动静脉畸形导致的右向左分流引起的罕见疾病。在患有肝病的患者中,肝肺综合征可在存在肺血管扩张和肺动静脉交通的情况下出现POS。我们报告一例隐源性肝硬化患者偶然诊断为POS的病例。在排除其他低氧血症原因后,经胸超声心动图显示左心腔延迟显影,从而证实了右向左肺分流的诊断。有趣的是,胸部增强计算机断层扫描(CT)显示肺血管纹理非常突出,延伸至肺周边。POS是低氧血症的罕见原因,需要高度怀疑,并排除更常见的低氧血症原因。

https://cdn.ncbi.nlm.nih.gov/pmc/blobs/4909/6411323/5ca524e18c99/cureus-0011-00000003846-i01.jpg

文献检索

告别复杂PubMed语法,用中文像聊天一样搜索,搜遍4000万医学文献。AI智能推荐,让科研检索更轻松。

立即免费搜索

文件翻译

保留排版,准确专业,支持PDF/Word/PPT等文件格式,支持 12+语言互译。

免费翻译文档

深度研究

AI帮你快速写综述,25分钟生成高质量综述,智能提取关键信息,辅助科研写作。

立即免费体验