Suppr超能文献

perilipin 5和Lipocalin 2在肝细胞癌中的表达

Perilipin 5 and Lipocalin 2 Expression in Hepatocellular Carcinoma.

作者信息

Asimakopoulou Anastasia, Vucur Mihael, Luedde Tom, Schneiders Silvia, Kalampoka Stavroula, Weiss Thomas S, Weiskirchen Ralf

机构信息

Institute of Molecular Pathobiochemistry, Experimental Gene Therapy and Clinical Chemistry (IFMPEGKC), RWTH University Hospital Aachen, 52074 Aachen, Germany.

Department of Internal Medicine III, RWTH University Hospital Aachen, 52074 Aachen, Germany.

出版信息

Cancers (Basel). 2019 Mar 19;11(3):385. doi: 10.3390/cancers11030385.

Abstract

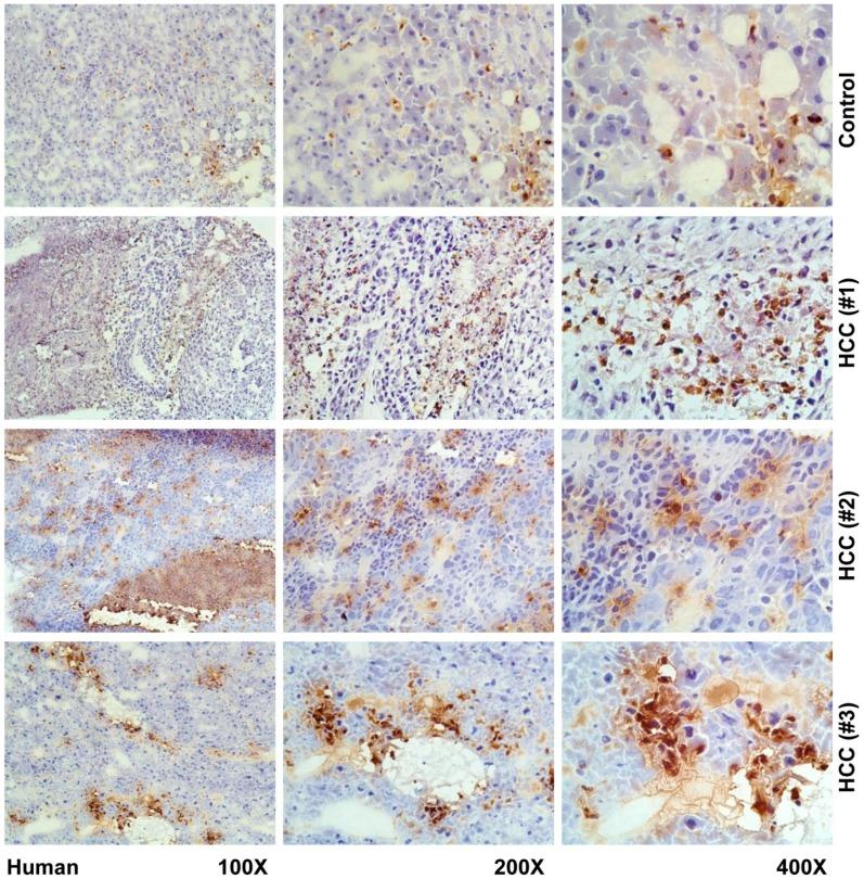
Hepatocellular carcinoma (HCC) is one of the most prevalent and deadly cancers worldwide. Therefore, current global research focuses on molecular tools for early diagnosis of HCC, which can lead to effective treatment at an early stage. Perilipin 5 (PLIN5) has been studied as one of the main proteins of the perilipin family, whose role is to maintain lipid homeostasis by inhibiting lipolysis. In this study, we show for the first time that PLIN5 is strongly expressed in tumors of human patients with HCC as well as in mouse livers, in which HCC was genetically or experimentally induced by treatment with the genotoxic agent diethylnitrosamine. Moreover, the secreted acute phase glycoprotein Lipocalin 2 (LCN2) established as a biomarker of acute kidney injury, is also proven to indicate liver injury with upregulated expression in numerous cases of hepatic damage, including steatohepatitis. LCN2 has been studied in various cancers, and it has been assigned roles in multiple cellular processes such as the suppression of the invasion of HCC cells and their metastatic abilities. The presence of this protein in blood and urine, in combination with the presence of α -Fetoprotein (AFP), is hypothesized to serve as a biomarker of early stages of HCC. In the current study, we show in humans and mice that LCN2 is secreted into the serum from liver cancer tissue. We also show that AFP-positive hepatocytes represent the main source for the massive expression of LCN2 in tumoral tissue. Thus, the strong presence of PLIN5 and LCN2 in HCC and understanding their roles could establish them as markers for diagnosis or as treatment targets against HCC.

摘要

肝细胞癌(HCC)是全球最常见且致命的癌症之一。因此,当前全球研究聚焦于用于HCC早期诊断的分子工具,这可在早期实现有效治疗。脂滴包被蛋白5(PLIN5)作为脂滴包被蛋白家族的主要蛋白之一受到研究,其作用是通过抑制脂肪分解来维持脂质稳态。在本研究中,我们首次表明PLIN5在人类HCC患者的肿瘤以及小鼠肝脏中强烈表达,其中HCC是通过用基因毒性剂二乙基亚硝胺处理而在基因上或实验上诱导产生的。此外,已被确立为急性肾损伤生物标志物的分泌型急性期糖蛋白lipocalin 2(LCN2),在包括脂肪性肝炎在内的众多肝损伤病例中,其表达上调也被证明可指示肝损伤。LCN2已在多种癌症中得到研究,并在诸如抑制HCC细胞侵袭及其转移能力等多个细胞过程中发挥作用。血液和尿液中该蛋白的存在,与甲胎蛋白(AFP)的存在相结合,被推测可作为HCC早期阶段的生物标志物。在当前研究中,我们在人类和小鼠中表明LCN2从肝癌组织分泌到血清中。我们还表明AFP阳性肝细胞是肿瘤组织中LCN2大量表达的主要来源。因此,PLIN5和LCN2在HCC中的强烈存在以及对它们作用的了解,可能使它们成为诊断标志物或针对HCC的治疗靶点。

https://cdn.ncbi.nlm.nih.gov/pmc/blobs/2f30/6468921/04d64de4993c/cancers-11-00385-g001.jpg

文献检索

告别复杂PubMed语法,用中文像聊天一样搜索,搜遍4000万医学文献。AI智能推荐,让科研检索更轻松。

立即免费搜索

文件翻译

保留排版,准确专业,支持PDF/Word/PPT等文件格式,支持 12+语言互译。

免费翻译文档

深度研究

AI帮你快速写综述,25分钟生成高质量综述,智能提取关键信息,辅助科研写作。

立即免费体验