Suppr超能文献

酷似矢状窦旁脑膜瘤的颅骨穹窿浆细胞瘤:“迷你脑外观”

Skull Vault Plasmacytoma Mimicking Parasagittal Meningioma: "Mini-Brain Appearance".

作者信息

Munjal Satyashiva, Srivastava Amit, Jain Sunila, Mehta Veer Singh

机构信息

Department of Neurosurgery, Paras Hospital, Gurugram, Haryana, India.

Department of Histopathology, Sir Ganga Ram Hospital, New Delhi, India.

出版信息

Asian J Neurosurg. 2019 Jan-Mar;14(1):231-233. doi: 10.4103/ajns.AJNS_219_17.

Abstract

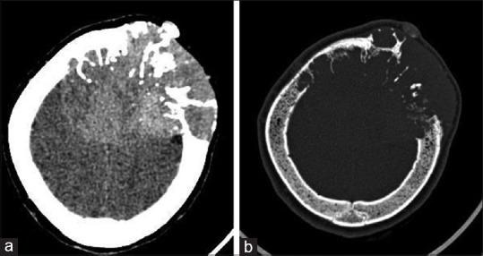
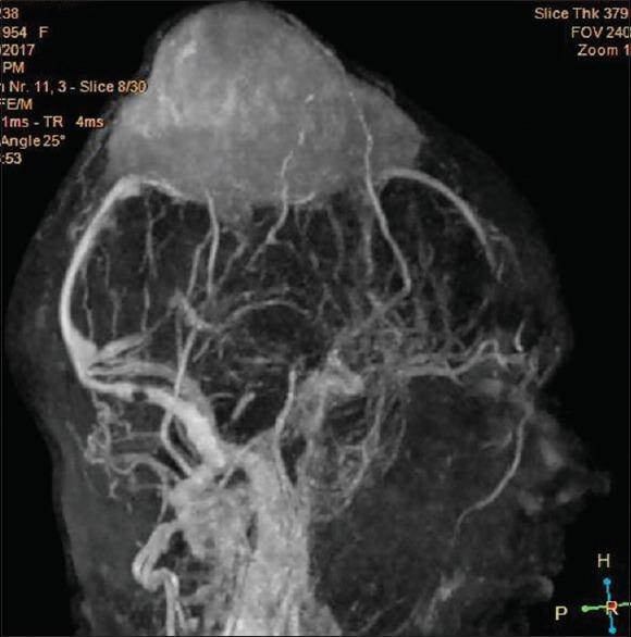
Plasmacytomas occur as lesions in soft tissue or bone. Skull vault plasmacytomas are rare lesions comprising 0.7% of all plasmacytomas. Workup for myeloma must be done in such cases to rule out multiple myeloma. Here, we report a case of a 63-year-old female who presented to us with a large skull vault swelling which appeared to mimic a parasagittal meningioma on imaging. Histopathological imaging revealed it to be a plasmacytoma. A retrospective review of the radiology revealed the characteristic "mini-brain appearance" in our case. Literature on the subject is also reviewed.

摘要

浆细胞瘤可表现为软组织或骨的病变。颅骨穹窿浆细胞瘤是罕见病变,占所有浆细胞瘤的0.7%。此类病例必须进行骨髓瘤检查以排除多发性骨髓瘤。在此,我们报告一例63岁女性,她因颅骨穹窿部巨大肿胀前来就诊,影像学检查显示其似乎类似矢状窦旁脑膜瘤。组织病理学检查显示为浆细胞瘤。对该病例的放射学回顾显示出其特征性的“迷你脑外观”。本文还对该主题的文献进行了综述。

https://cdn.ncbi.nlm.nih.gov/pmc/blobs/6824/6417329/9eda2982084d/AJNS-14-231-g001.jpg

文献AI研究员

20分钟写一篇综述,助力文献阅读效率提升50倍。

立即体验

用中文搜PubMed

大模型驱动的PubMed中文搜索引擎

马上搜索

文档翻译

学术文献翻译模型,支持多种主流文档格式。

立即体验