Suppr超能文献

胸小肌囊性病变:从错误中学习

Cystic lesion of pectoralis minor muscle: learning from mistakes.

作者信息

García-Tirado Javier, Allué-Cabañuz Marta, Muñoz-González Nadia, Viso-Soriano María Jesús, Marquina-Ibáñez Isabel

机构信息

Miguel Servet University Hospital, Thoracic Surgery Department. Zaragoza, Spain.

Lozano Blesa University Clinical Hospital, General Surgery Department. Zaragoza, Spain.

出版信息

Autops Case Rep. 2019 Mar 22;9(2):e20180780. doi: 10.4322/acr.2018.078. eCollection 2019 Apr-Jun.

Abstract

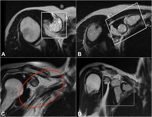
Hydatidosis is a frequent infestation in large endemic areas, caused by helminths. Primary localization within the muscle or bone tissues is rare. We report the case of a 52-year-old woman with a cystic lesion located in the right pectoralis minor muscle, who was initially diagnosed with cystic lymphangioma by imaging examination. She was submitted for surgical treatment; in block resection of the tumor along with the involved muscle was performed. The histopathological diagnosis was of hydatid cyst. The contribution of the ancillary lab tests is analyzed for a precise preoperative diagnostic approach. This case well illustrates that the most likely is not always what it appears to be. Facing of a cystic lesion in the lungs, liver or muscle, clinicians should always think on hydatid disease, particularly in endemic areas.

摘要

包虫病在大片流行地区是一种常见的寄生虫感染病。在肌肉或骨组织中的原发性定位很少见。我们报告一例52岁女性,其右胸小肌有一个囊性病变,最初经影像学检查诊断为囊性淋巴管瘤。她接受了手术治疗,术中对肿瘤连同受累肌肉进行了整块切除。组织病理学诊断为包虫囊肿。分析了辅助实验室检查对精确术前诊断方法的作用。该病例很好地说明了最有可能的情况并不总是表面看上去的那样。面对肺、肝或肌肉中的囊性病变,临床医生应始终考虑到包虫病,尤其是在流行地区。

https://cdn.ncbi.nlm.nih.gov/pmc/blobs/a3bc/6433142/2f55f06784a2/autopsy-09-02e20180780-g01.jpg

文献AI研究员

20分钟写一篇综述,助力文献阅读效率提升50倍。

立即体验

用中文搜PubMed

大模型驱动的PubMed中文搜索引擎

马上搜索

文档翻译

学术文献翻译模型,支持多种主流文档格式。

立即体验