• 文献检索
  • 文档翻译
  • 深度研究
  • 学术资讯
  • Suppr Zotero 插件Zotero 插件
  • 邀请有礼
  • 套餐&价格
  • 历史记录
应用&插件
Suppr Zotero 插件Zotero 插件浏览器插件Mac 客户端Windows 客户端微信小程序
定价
高级版会员购买积分包购买API积分包
服务
文献检索文档翻译深度研究API 文档MCP 服务
关于我们
关于 Suppr公司介绍联系我们用户协议隐私条款
关注我们

Suppr 超能文献

核心技术专利:CN118964589B侵权必究
粤ICP备2023148730 号-1Suppr @ 2026

文献检索

告别复杂PubMed语法,用中文像聊天一样搜索,搜遍4000万医学文献。AI智能推荐,让科研检索更轻松。

立即免费搜索

文件翻译

保留排版,准确专业,支持PDF/Word/PPT等文件格式,支持 12+语言互译。

免费翻译文档

深度研究

AI帮你快速写综述,25分钟生成高质量综述,智能提取关键信息,辅助科研写作。

立即免费体验

颈椎前路椎体次全切除椎间融合器消失

Disappearance of Anterior Cervical Corpectomy Cage.

作者信息

Yeh Mei-Yin, Huang Wen-Cheng, Kuo Chao-Hung, Chang Peng-Yuan, Cheng Henrich

机构信息

Neurosurgery, Taipei Veterans General Hospital, Taipei, TWN.

Neurosurgery, Tao-Yuan General Hospital, Tao-Yuan, TWN.

出版信息

Cureus. 2019 Jan 30;11(1):e3985. doi: 10.7759/cureus.3985.

DOI:10.7759/cureus.3985
PMID:30972264
原文链接:https://pmc.ncbi.nlm.nih.gov/articles/PMC6443108/
Abstract

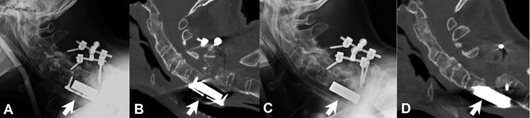
Although cage subsidence and dislodgement are not uncommon in anterior cervical spine surgery, missing cages have seldom been reported. This is the first report of the disappearance of a metallic corpectomy cage after anterior cervical fusion. A 63-year-old man, who had a history of ankylosing spondylitis and diabetes mellitus, was involved in a motor vehicle accident that broke his neck. The traumatic C6 burst fracture caused myelopathy and instability, which required surgery. He then underwent anterior C6 corpectomy with circumferential fixation, including anterior plating and posterior lateral mass screws from C5-C7. There was a significant improvement in neurological function after the surgery and he could ambulate independently. However, upon a visit at six months postoperation, there was dislodgement of the anterior cervical plate and cage. An attempt to revise the anterior fusion construct was made subsequently, but this surgery could only remove the plate. The metallic cage was left in place during the revision surgery because it was firmly incorporated into the C5 and C7 vertebra and could hardly be adjusted intraoperatively. There were no other interventions during the interval. Upon his visit at 23 months after the initial surgery, the metallic cage was missing. No examinations could locate the cage anywhere in the body, including 36-inch radiographs that demonstrated completely the disappearance of the metallic corpectomy cage. The posterior arthrodesis seemed stable and the patient had no dysphagia or any other gastrointestinal symptoms. The process of the disappearance of the corpectomy cage was never noticed by the patient and he remains free of symptoms to date. The complete dislodgement of a cervical corpectomy cage that was placed anteriorly could happen without symptoms. The cage might have been expelled during bowel movements and caused little problem. Failure to achieve arthrodesis in anterior cervical fusion, therefore, must be closely monitored.

摘要

尽管颈椎前路手术中椎间融合器下沉和移位并不少见,但椎间融合器缺失的情况鲜有报道。本文首次报告了颈椎前路融合术后金属椎体切除椎间融合器消失的病例。一名63岁男性,有强直性脊柱炎和糖尿病病史,因机动车事故导致颈部骨折。创伤性C6爆裂骨折引起脊髓病和不稳定,需要手术治疗。随后他接受了C6椎体次全切除并环形固定,包括前路钢板固定和C5 - C7的后路侧块螺钉固定。术后神经功能有显著改善,他能够独立行走。然而,术后6个月复诊时,发现颈椎前路钢板和椎间融合器移位。随后尝试对前路融合结构进行翻修,但该手术只能取出钢板。翻修手术时金属椎间融合器留在原位,因为它已牢固地融合到C5和C7椎体中,术中几乎无法调整。在此期间没有进行其他干预。初次手术后23个月复诊时,金属椎间融合器不见了。包括能完整显示金属椎体切除椎间融合器消失的36英寸X线片在内的任何检查都未在体内找到该椎间融合器。后路融合似乎稳定,患者没有吞咽困难或任何其他胃肠道症状。患者从未注意到椎体切除椎间融合器消失的过程,至今仍无症状。前路放置的颈椎椎体切除椎间融合器完全移位可能没有症状。椎间融合器可能在排便时被排出,几乎没有造成问题。因此,颈椎前路融合术中未能实现融合必须密切监测。

https://cdn.ncbi.nlm.nih.gov/pmc/blobs/10b4/6443108/35051e3da888/cureus-0011-00000003985-i05.jpg
https://cdn.ncbi.nlm.nih.gov/pmc/blobs/10b4/6443108/0b4e81626ab7/cureus-0011-00000003985-i01.jpg
https://cdn.ncbi.nlm.nih.gov/pmc/blobs/10b4/6443108/32fb4d719306/cureus-0011-00000003985-i02.jpg
https://cdn.ncbi.nlm.nih.gov/pmc/blobs/10b4/6443108/5aa7231c0e25/cureus-0011-00000003985-i03.jpg
https://cdn.ncbi.nlm.nih.gov/pmc/blobs/10b4/6443108/54cff17d2703/cureus-0011-00000003985-i04.jpg
https://cdn.ncbi.nlm.nih.gov/pmc/blobs/10b4/6443108/35051e3da888/cureus-0011-00000003985-i05.jpg
https://cdn.ncbi.nlm.nih.gov/pmc/blobs/10b4/6443108/0b4e81626ab7/cureus-0011-00000003985-i01.jpg
https://cdn.ncbi.nlm.nih.gov/pmc/blobs/10b4/6443108/32fb4d719306/cureus-0011-00000003985-i02.jpg
https://cdn.ncbi.nlm.nih.gov/pmc/blobs/10b4/6443108/5aa7231c0e25/cureus-0011-00000003985-i03.jpg
https://cdn.ncbi.nlm.nih.gov/pmc/blobs/10b4/6443108/54cff17d2703/cureus-0011-00000003985-i04.jpg
https://cdn.ncbi.nlm.nih.gov/pmc/blobs/10b4/6443108/35051e3da888/cureus-0011-00000003985-i05.jpg

相似文献

1
Disappearance of Anterior Cervical Corpectomy Cage.颈椎前路椎体次全切除椎间融合器消失
Cureus. 2019 Jan 30;11(1):e3985. doi: 10.7759/cureus.3985.
2
Biomechanical comparison of anterior cervical spine instrumentation techniques with and without supplemental posterior fusion after different corpectomy and discectomy combinations: Laboratory investigation.不同颈椎椎体次全切除与椎间盘切除术后前路颈椎内固定术与附加后路融合术的生物力学比较:实验室研究。
J Neurosurg Spine. 2012 Jun;16(6):579-84. doi: 10.3171/2012.2.SPINE11611. Epub 2012 Mar 16.
3
Results of surgical treatment for degenerative cervical myelopathy: anterior cervical corpectomy and stabilization.退行性颈椎脊髓病的手术治疗结果:颈椎前路椎体次全切除及稳定术。
Spine (Phila Pa 1976). 2004 Nov 15;29(22):2493-500. doi: 10.1097/01.brs.0000145412.93407.c3.
4
Anterior corpectomy with iliac bone fusion or discectomy with interbody titanium cage fusion for multilevel cervical degenerated disc disease.前路椎体次全切除髂骨融合术或椎间盘切除术联合椎间钛笼融合术治疗多节段颈椎间盘退变疾病
J Spinal Disord Tech. 2007 Dec;20(8):565-70. doi: 10.1097/BSD.0b013e318036b463.
5
Biomechanical comparison of anterior, posterior, and circumferential fixation after one-level anterior cervical corpectomy in the human cadaveric spine.人体尸体脊柱前路单节段颈椎次全切除术后前路、后路和环形固定的生物力学比较。
Spine (Phila Pa 1976). 2011 Apr 1;36(7):E455-60. doi: 10.1097/BRS.0b013e3181f38f8b.
6
Distractable vertebral cages for reconstruction after cervical corpectomy.用于颈椎椎体次全切除术后重建的可撑开椎间融合器
Spine (Phila Pa 1976). 2005 Aug 1;30(15):1736-41. doi: 10.1097/01.brs.0000172158.31437.ce.
7
Comparison of anterior cervical fusion after two-level discectomy or single-level corpectomy: sagittal alignment, cervical lordosis, graft collapse, and adjacent-level ossification.两种手术方式(两节段椎间盘切除术或单节段椎体次全切除术)治疗颈椎间盘疾病后颈椎融合的比较:矢状位曲度、颈椎前凸度、移植物塌陷及临近节段骨化。
Spine J. 2010 Mar;10(3):193-9. doi: 10.1016/j.spinee.2009.09.006. Epub 2009 Oct 21.
8
Evaluation of Radiological and Neurological Outcomes after Anterior Cervical Corpectomy with Fusion using Expandable Cage Alone and Expandable Cage with Anterior Cervical Plating.单纯使用可扩张椎间融合器及可扩张椎间融合器联合颈椎前路钢板进行颈椎前路椎体次全切除融合术后的影像学及神经学结果评估
Asian J Neurosurg. 2023 Mar 27;18(1):91-100. doi: 10.1055/s-0043-1761238. eCollection 2023 Mar.
9
Biomechanical comparison of cervical spine reconstructive techniques after a multilevel corpectomy of the cervical spine.颈椎多节段椎体次全切除术后颈椎重建技术的生物力学比较
Spine (Phila Pa 1976). 2003 Oct 15;28(20):2352-8; discussion 2358. doi: 10.1097/01.BRS.0000085344.22471.23.
10
Hybrid Decompression and Fixation Technique Versus Plated 3-Vertebra Corpectomy for 4-Segment Cervical Myelopathy: Analysis of 81 Cases With a Minimum 2-Year Follow-Up.混合减压与固定技术对比前路椎体次全切除治疗4节段脊髓型颈椎病:81例至少2年随访分析
Clin Spine Surg. 2016 Jul;29(6):226-33. doi: 10.1097/BSD.0b013e31827ada34.

引用本文的文献

1
Revision Surgery for a Failed Artificial Disc.翻修失败的人工椎间盘手术
Yonsei Med J. 2021 Mar;62(3):240-248. doi: 10.3349/ymj.2021.62.3.240.

本文引用的文献

1
Anterior Cervical Discectomy and Fusion Outcomes over 10 Years: A Prospective Study.10 年以上颈椎前路椎间盘切除融合术的结果:一项前瞻性研究。
Spine (Phila Pa 1976). 2018 Feb 1;43(3):207-214. doi: 10.1097/BRS.0000000000002273.
2
Anterior Cervical Discectomy and Fusion Pseudarthrosis: Posterior Versus "Redo" Anterior.颈椎前路椎间盘切除融合术假关节形成:后路与“再次”前路对比
Clin Spine Surg. 2017 Apr;30(3):91-93. doi: 10.1097/BSD.0000000000000527.
3
[Clinical and Radiological Results after Anterior Cervical Corpectomy with Cage Fusion - a Retrospective Comparison of PEEK vs. Titanium Cages].
前路颈椎椎体次全切除并椎间融合器融合术后的临床及影像学结果——聚醚醚酮与钛椎间融合器的回顾性比较
Z Orthop Unfall. 2017 Apr;155(2):201-208. doi: 10.1055/s-0042-118717. Epub 2017 Jan 10.
4
[PEEK cage fusion after anterior cervical corpectomy : Clinical and radiological results in patients with spondylotic myelopathy].颈椎前路椎体次全切除术后聚醚醚酮椎间融合器融合术:脊髓型颈椎病患者的临床及影像学结果
Orthopade. 2017 Mar;46(3):242-248. doi: 10.1007/s00132-016-3345-7.
5
Pseudarthrosis of the Cervical Spine: Risk Factors, Diagnosis and Management.颈椎假关节:危险因素、诊断与治疗
Asian Spine J. 2016 Aug;10(4):776-86. doi: 10.4184/asj.2016.10.4.776. Epub 2016 Aug 16.
6
Autologous bone graft versus PEKK cage for vertebral replacement after 1- or 2-level anterior median corpectomy.1或2节段前路椎体次全切除术后自体骨移植与聚醚酮酮(PEKK)椎间融合器用于椎体置换的比较
J Neurosurg Spine. 2016 Feb;24(2):309-314. doi: 10.3171/2015.5.SPINE14887. Epub 2015 Oct 13.
7
Two level cervical corpectomy with iliac crest fusion and rigid plate fixation: a retrospective study with a three-year follow-up.两级颈椎椎体次全切除、髂嵴植骨融合及坚强钢板固定:一项为期三年随访的回顾性研究
Turk Neurosurg. 2011;21(4):606-12.
8
Cervical screw missing secondary to delayed esophageal fistula: case report.因迟发性食管瘘导致颈椎螺钉缺失:病例报告
Turk Neurosurg. 2009 Oct;19(4):437-40.
9
Delayed migration of a screw into the gastrointestinal tract after anterior cervical spine plating.颈椎前路钢板固定术后螺钉延迟移入胃肠道。
Spine (Phila Pa 1976). 2008 Apr 15;33(8):E268-71. doi: 10.1097/BRS.0b013e31816b8831.
10
Late prevertebral abscess following anterior cervical plating: the missing screw.颈椎前路钢板固定术后的椎前间隙晚期脓肿:缺失的螺钉
Neurocirugia (Astur). 2007 Apr;18(2):111-4. doi: 10.1016/s1130-1473(07)70295-6.