Suppr超能文献

与一种新型基因型相关的孤立性视杆细胞功能障碍。 (原文结尾不完整,此为根据现有内容尽量完整的译文)

Isolated rod dysfunction associated with a novel genotype of .

作者信息

Ba-Abbad Rola, Holder Graham E, Robson Anthony G, Neveu Magella M, Waseem Naushin, Arno Gavin, Webster Andrew R

机构信息

UCL Institute of Ophthalmology, University College London, London, UK.

Moorfields Eye Hospital, London, UK.

出版信息

Am J Ophthalmol Case Rep. 2019 Mar 19;14:83-86. doi: 10.1016/j.ajoc.2019.03.004. eCollection 2019 Jun.

Abstract

PURPOSE

To describe the clinical and electrophysiological features of an unusual retinopathy in a patient with a novel genotype of , mutations in which are implicated in autosomal recessive retinitis pigmentosa (rod-cone dystrophy).

OBSERVATIONS

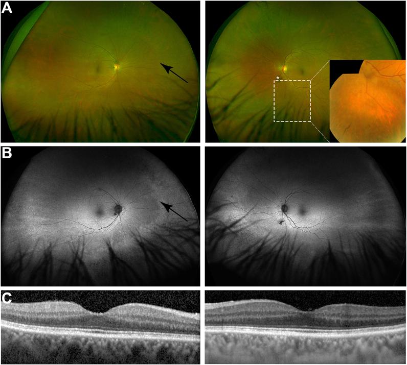
A 61-year old asymptomatic woman was referred to the inherited retinal disorders clinic because of peripheral retinal pigmentary changes. She had normal visual acuity and color vision. Clinical examination and detailed imaging of the macula were normal, but there was atrophy of the outer retina in the periphery with sparse intra-retinal pigmentation. Electroretinography (ERG) revealed undetectable rod responses, with normal cone-mediated responses. The pattern ERG was normal. Genetic analysis identified two previously unreported variants in : (c.2258T > A, p.[Leu753*] and c.807G > C, p.[Gln269His]), shown to be .

CONCLUSIONS AND IMPORTANCE

This report describes a functionally cone-isolated retina in an adult, apparently hemizygous for a novel missense mutation in , a novel phenotype for this gene. The p.[Gln269His] allele is the first missense change, within the glutamic acid-rich protein (GARP) domain of CNGB1, to be associated with retinal disease in humans.

摘要

目的

描述一名患有新型基因型的患者中一种不寻常视网膜病变的临床和电生理特征,该基因型的突变与常染色体隐性视网膜色素变性(视杆 - 视锥营养不良)有关。

观察结果

一名61岁无症状女性因周边视网膜色素改变被转诊至遗传性视网膜疾病诊所。她的视力和色觉正常。黄斑的临床检查和详细成像均正常,但周边外视网膜存在萎缩,视网膜内色素沉着稀疏。视网膜电图(ERG)显示视杆反应无法检测到,而视锥介导的反应正常。图形视网膜电图正常。基因分析在[具体基因名称未给出]中鉴定出两个先前未报道的变异:(c.2258T>A,p.[Leu753*]和c.807G>C,p.[Gln269His]),显示为[具体情况未给出]。

结论与意义

本报告描述了一名成年人中功能上视锥细胞孤立的视网膜,该患者对于[具体基因名称未给出]中的一种新型错义突变显然为半合子状态,这是该基因的一种新表型。p.[Gln269His]等位基因是第一个在CNGB1的富含谷氨酸蛋白(GARP)结构域内与人类视网膜疾病相关的错义改变。

https://cdn.ncbi.nlm.nih.gov/pmc/blobs/cc85/6438912/cdb749926bf1/gr2.jpg

文献检索

告别复杂PubMed语法,用中文像聊天一样搜索,搜遍4000万医学文献。AI智能推荐,让科研检索更轻松。

立即免费搜索

文件翻译

保留排版,准确专业,支持PDF/Word/PPT等文件格式,支持 12+语言互译。

免费翻译文档

深度研究

AI帮你快速写综述,25分钟生成高质量综述,智能提取关键信息,辅助科研写作。

立即免费体验