• 文献检索
  • 文档翻译
  • 深度研究
  • 学术资讯
  • Suppr Zotero 插件Zotero 插件
  • 邀请有礼
  • 套餐&价格
  • 历史记录
应用&插件
Suppr Zotero 插件Zotero 插件浏览器插件Mac 客户端Windows 客户端微信小程序
定价
高级版会员购买积分包购买API积分包
服务
文献检索文档翻译深度研究API 文档MCP 服务
关于我们
关于 Suppr公司介绍联系我们用户协议隐私条款
关注我们

Suppr 超能文献

核心技术专利:CN118964589B侵权必究
粤ICP备2023148730 号-1Suppr @ 2026

文献检索

告别复杂PubMed语法,用中文像聊天一样搜索,搜遍4000万医学文献。AI智能推荐,让科研检索更轻松。

立即免费搜索

文件翻译

保留排版,准确专业,支持PDF/Word/PPT等文件格式,支持 12+语言互译。

免费翻译文档

深度研究

AI帮你快速写综述,25分钟生成高质量综述,智能提取关键信息,辅助科研写作。

立即免费体验

睾丸生殖细胞肿瘤的严重并发症:绒毛膜癌综合征

Severe Complications in Testicular Germ Cell Tumors: The Choriocarcinoma Syndrome.

作者信息

Rejlekova Katarina, Cursano Maria C, De Giorgi Ugo, Mego Michal

机构信息

2nd Department of Oncology, Faculty of Medicine, National Cancer Institute, Comenius University, Bratislava, Slovakia.

Oncology Unit, Università Campus Bio-Medico, Rome, Italy.

出版信息

Front Endocrinol (Lausanne). 2019 Apr 12;10:218. doi: 10.3389/fendo.2019.00218. eCollection 2019.

DOI:10.3389/fendo.2019.00218
PMID:31031704
原文链接:https://pmc.ncbi.nlm.nih.gov/articles/PMC6474390/
Abstract

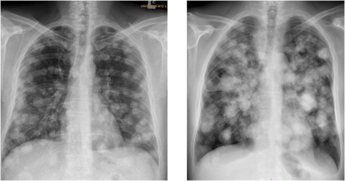
Testicular germ cell tumors (TGCTs) represent the most common solid tumor in young men and is a model of curable cancer. The effectiveness of cisplatin-based chemotherapy secures more than 95% of patients' 5-years survival rate. However, some high-risk patients with a very advanced disease develop choriocarcinoma syndrome (CS) connected with acute respiratory failure with poor prognosis and high mortality rate shortly after beginning systemic chemotherapy. CS was first described as a syndrome with hemorrhage from metastatic sites in patients with TGCTs with significantly high choriogonadotropin level. Acute hemorrhage to lung metastases is typical, but hemorrhage can occur from any metastatic site. Patognomic of choriocarcinoma cells is an invasion of small blood vessels within CS. The incidence of CS in patients with TGCTs are not well-defined and can vary across the world. To date, there are a few case reports and small retrospective series reporting a connection between systemic chemotherapy and the development of CS in metastatic TGCTs. CS is known to be triggered by massive tumor cell lysis as a result of chemotherapy and cytokine release, aggravated with alveolar hemorrhage. This can lead to a consecutive superinfection, furthered with neutropenia after chemotherapy, acute respiratory distress syndrome, rising to systemic inflammatory response, resulting in multiorgan failure and death. A reasonably effective approach in patients with extensive disease could be a shortened course of chemotherapy as well as a reduction of dosage in induction chemotherapy before full-dose chemotherapeutical regimen; however, current data regarding optimal treatment approach are limited. Patients' referral to tertiary centers and the administration of induction chemotherapy in an intensive care unit setting could further improve the treatment outcome.

摘要

睾丸生殖细胞肿瘤(TGCTs)是年轻男性中最常见的实体瘤,也是可治愈癌症的一个范例。基于顺铂的化疗有效性确保了超过95%的患者5年生存率。然而,一些疾病非常晚期的高危患者在开始全身化疗后不久会发生与急性呼吸衰竭相关的绒毛膜癌综合征(CS),预后不良且死亡率高。CS最初被描述为TGCTs患者中具有显著高绒毛膜促性腺激素水平且伴有转移部位出血的一种综合征。肺转移灶急性出血很典型,但出血可发生于任何转移部位。绒毛膜癌细胞的特征是在CS内侵袭小血管。TGCTs患者中CS的发病率尚不明确,且在世界各地可能有所不同。迄今为止,仅有少数病例报告和小型回顾性系列报道了转移性TGCTs全身化疗与CS发生之间的关联。已知CS是由化疗导致的大量肿瘤细胞溶解和细胞因子释放引发的,肺泡出血会使其加重。这可导致连续的二重感染,化疗后中性粒细胞减少会进一步加重,引发急性呼吸窘迫综合征,进而发展为全身炎症反应,导致多器官功能衰竭和死亡。对于病情广泛的患者,一种合理有效的方法可能是缩短化疗疗程以及在全剂量化疗方案之前减少诱导化疗的剂量;然而,目前关于最佳治疗方法的数据有限。将患者转诊至三级中心并在重症监护病房环境中进行诱导化疗可能会进一步改善治疗结果。

https://cdn.ncbi.nlm.nih.gov/pmc/blobs/1222/6474390/8cc2b6e8e433/fendo-10-00218-g0001.jpg
https://cdn.ncbi.nlm.nih.gov/pmc/blobs/1222/6474390/8cc2b6e8e433/fendo-10-00218-g0001.jpg
https://cdn.ncbi.nlm.nih.gov/pmc/blobs/1222/6474390/8cc2b6e8e433/fendo-10-00218-g0001.jpg

相似文献

1
Severe Complications in Testicular Germ Cell Tumors: The Choriocarcinoma Syndrome.睾丸生殖细胞肿瘤的严重并发症:绒毛膜癌综合征
Front Endocrinol (Lausanne). 2019 Apr 12;10:218. doi: 10.3389/fendo.2019.00218. eCollection 2019.
2
Factors Associated With Choriocarcinoma Syndrome Development in Poor-Risk Patients With Germ Cell Tumors.生殖细胞肿瘤低危患者绒癌综合征发生的相关因素
Front Oncol. 2022 Jun 17;12:911879. doi: 10.3389/fonc.2022.911879. eCollection 2022.
3
Advanced testicular cancer associated with life-threatening tumour lysis syndrome and choriocarcinoma syndrome.晚期睾丸癌伴危及生命的肿瘤溶解综合征和绒毛膜癌综合征。
Can Urol Assoc J. 2015 Jan-Feb;9(1-2):62-4. doi: 10.5489/cuaj.2499.
4
Case of acute respiratory distress syndrome in a patient with an extragonadal germ cell tumor without lung metastasis in which choriocarcinoma syndrome was suspected.一例性腺外生殖细胞肿瘤患者发生急性呼吸窘迫综合征,该患者无肺转移,但怀疑有绒毛膜癌综合征。
IJU Case Rep. 2019 May 24;2(4):209-211. doi: 10.1002/iju5.12083. eCollection 2019 Jul.
5
Prognostic value of programmed-death-1 receptor (PD-1) and its ligand 1 (PD-L1) in testicular germ cell tumors.程序性死亡受体1(PD-1)及其配体1(PD-L1)在睾丸生殖细胞肿瘤中的预后价值。
Ann Oncol. 2016 Feb;27(2):300-5. doi: 10.1093/annonc/mdv574. Epub 2015 Nov 23.
6
Medical Literature Writing With ChatGPT: A Rare Case of Choriocarcinoma Syndrome With Hemorrhagic Brain Metastases Due to Burned Out Metastatic Mixed Testicular Cancer.使用ChatGPT撰写医学文献:一例因消退性转移性混合性睾丸癌导致绒癌综合征伴出血性脑转移的罕见病例。
Cureus. 2023 Mar 24;15(3):e36655. doi: 10.7759/cureus.36655. eCollection 2023 Mar.
7
Choriocarcinoma Syndrome: A Rare Complication's Impact on Metastatic Germ Cell Tumor Outcomes.绒毛膜癌综合征:一种罕见并发症对转移性生殖细胞肿瘤预后的影响。
Cureus. 2024 Apr 16;16(4):e58388. doi: 10.7759/cureus.58388. eCollection 2024 Apr.
8
Successful management of a patient with radiological presentation of choriocarcinoma syndrome before induction chemotherapy.在诱导化疗前成功管理一名具有绒毛膜癌综合征放射学表现的患者。
J Cancer Res Ther. 2018 Sep;14(Supplement):S803-S805. doi: 10.4103/0973-1482.175433.
9
Molecular Mechanisms of Cisplatin Chemoresistance and Its Circumventing in Testicular Germ Cell Tumors.顺铂化疗耐药的分子机制及其在睾丸生殖细胞肿瘤中的规避。
Curr Oncol Rep. 2018 Sep 26;20(11):88. doi: 10.1007/s11912-018-0730-x.
10
A case of metastatic testicular cancer complicated by pulmonary hemorrhage due to choriocarcinoma syndrome.一例转移性睾丸癌合并绒毛膜癌综合征所致肺出血。
Int J Clin Oncol. 2010 Dec;15(6):611-4. doi: 10.1007/s10147-010-0092-3. Epub 2010 Jun 11.

引用本文的文献

1
A Complex Case of Testicular Choriocarcinoma in Cryptorchidism and Choriocarcinoma Syndrome: Clinical and Treatment Insights.隐睾症合并绒毛膜癌综合征中的睾丸绒毛膜癌复杂病例:临床与治疗见解
Am J Case Rep. 2025 Apr 1;26:e946461. doi: 10.12659/AJCR.946461.
2
Spinal Metastases in Non-Seminomatous Germ Cell Testicular Tumors: Prognosis and Integrated Therapeutic Approaches-A Systematic Review with an Institutional Case Illustration.非精原细胞性生殖细胞睾丸肿瘤的脊柱转移:预后与综合治疗方法——一项伴有机构病例说明的系统评价
Curr Oncol. 2024 Nov 24;31(12):7459-7475. doi: 10.3390/curroncol31120551.
3
Choriocarcinoma Syndrome: A Rare Complication's Impact on Metastatic Germ Cell Tumor Outcomes.

本文引用的文献

1
Cancer statistics, 2019.癌症统计数据,2019 年。
CA Cancer J Clin. 2019 Jan;69(1):7-34. doi: 10.3322/caac.21551. Epub 2019 Jan 8.
2
Dose-reduced first cycle of chemotherapy for prevention of life-threatening acute complications in nonseminomatous germ cell tumor patients with ultra high tumor markers and/or poor performance status.对于肿瘤标志物极高和/或体能状态差的非精原细胞瘤生殖细胞肿瘤患者,为预防危及生命的急性并发症,给予第一周期化疗剂量减少。
J Cancer Res Clin Oncol. 2018 Sep;144(9):1817-1823. doi: 10.1007/s00432-018-2695-4. Epub 2018 Jul 5.
3
Pathology of Germ Cell Tumors of Testis: A Progress Report.
绒毛膜癌综合征:一种罕见并发症对转移性生殖细胞肿瘤预后的影响。
Cureus. 2024 Apr 16;16(4):e58388. doi: 10.7759/cureus.58388. eCollection 2024 Apr.
4
A poor prognostic male choriocarcinoma with multiple systemic metastases: a case report and the literature review.一例伴有多系统转移的预后不良男性绒毛膜癌:病例报告及文献复习
Front Med (Lausanne). 2024 Mar 20;11:1382672. doi: 10.3389/fmed.2024.1382672. eCollection 2024.
5
Pure testicular choriocarcinoma, a rare and highly malignant subtype with challenging treatment: A case report and review of the literature.纯睾丸绒毛膜癌,一种罕见且高度恶性的亚型,治疗颇具挑战性:一例病例报告及文献综述
Mol Clin Oncol. 2023 Nov 15;20(1):1. doi: 10.3892/mco.2023.2699. eCollection 2024 Jan.
6
A decade in focus: mixed germ cell tumors with choriocarcinoma components.聚焦十年:含有绒毛膜癌成分的混合性生殖细胞肿瘤
Ann Med Surg (Lond). 2023 Sep 20;85(11):5355-5358. doi: 10.1097/MS9.0000000000001314. eCollection 2023 Nov.
7
A remarkable response to combination chemotherapy with nivolumab and ipilimumab in a patient with primary pulmonary choriocarcinoma: a case report.纳武利尤单抗联合伊匹木单抗治疗原发性肺绒毛膜癌患者的显著疗效:病例报告
Transl Cancer Res. 2023 Aug 31;12(8):2212-2218. doi: 10.21037/tcr-23-221. Epub 2023 Jul 10.
8
Medical Literature Writing With ChatGPT: A Rare Case of Choriocarcinoma Syndrome With Hemorrhagic Brain Metastases Due to Burned Out Metastatic Mixed Testicular Cancer.使用ChatGPT撰写医学文献:一例因消退性转移性混合性睾丸癌导致绒癌综合征伴出血性脑转移的罕见病例。
Cureus. 2023 Mar 24;15(3):e36655. doi: 10.7759/cureus.36655. eCollection 2023 Mar.
9
Successful surgical management of massive hemoretroperitoneum caused by spontaneous rupture of retroperitoneal lymph node metastases in a patient with advanced mixed germ cell tumor: a COVID-19 pandemic-related surgical challenge.晚期混合性生殖细胞肿瘤患者腹膜后淋巴结转移自发破裂导致大量腹膜后积血的成功外科治疗:一项与 COVID-19 大流行相关的外科挑战。
Surg Case Rep. 2023 Feb 6;9(1):18. doi: 10.1186/s40792-023-01593-z.
10
Factors Associated With Choriocarcinoma Syndrome Development in Poor-Risk Patients With Germ Cell Tumors.生殖细胞肿瘤低危患者绒癌综合征发生的相关因素
Front Oncol. 2022 Jun 17;12:911879. doi: 10.3389/fonc.2022.911879. eCollection 2022.
睾丸生殖细胞肿瘤的病理学:进展报告
Cancer. 1980 Apr;45 Suppl 7:1735-1754. doi: 10.1002/cncr.1980.45.s7.1735.
4
Bleeding from gestational trophoblastic neoplasia: embolotherapy efficacy and tumour response to chemotherapy.
Clin Radiol. 2017 Nov;72(11):992.e7-992.e11. doi: 10.1016/j.crad.2017.06.004. Epub 2017 Jun 30.
5
Acute respiratory failure due to thyroid storm developing immediately after delivery.产后立即发生的甲状腺危象所致急性呼吸衰竭。
Clin Case Rep. 2015 Nov 1;3(12):997-9. doi: 10.1002/ccr3.422. eCollection 2015 Dec.
6
Guidelines on Testicular Cancer: 2015 Update.睾丸癌诊疗指南:2015 年更新版
Eur Urol. 2015 Dec;68(6):1054-68. doi: 10.1016/j.eururo.2015.07.044. Epub 2015 Aug 18.
7
Advanced testicular cancer associated with life-threatening tumour lysis syndrome and choriocarcinoma syndrome.晚期睾丸癌伴危及生命的肿瘤溶解综合征和绒毛膜癌综合征。
Can Urol Assoc J. 2015 Jan-Feb;9(1-2):62-4. doi: 10.5489/cuaj.2499.
8
Testicular choriocarcinoma: a rare variant that requires a unique treatment approach.睾丸绒毛膜癌:一种需要独特治疗方法的罕见变体。
Curr Oncol Rep. 2015 Feb;17(2):2. doi: 10.1007/s11912-014-0430-0.
9
Choriocarcinoma of the testis.睾丸绒毛膜癌
J Urol. 2014 Sep;192(3):934-5. doi: 10.1016/j.juro.2014.06.039. Epub 2014 Jun 17.
10
Choriocarcinoma syndrome in a 24-year-old male.一名24岁男性的绒毛膜癌综合征。
JRSM Short Rep. 2012 Jun;3(6):44. doi: 10.1258/shorts.2012.012004. Epub 2012 Jun 28.