Suppr超能文献

唇部扁平苔藓——1例罕见病例报告并文献复习

Lichen planus of lip - Report of a rare case with review of literature.

作者信息

Hasan Shamimul

机构信息

Department of Oral Medicine and Radiology, Faculty of Dentistry, Jamia Millia Islamia University, New Delhi, India.

出版信息

J Family Med Prim Care. 2019 Mar;8(3):1269-1275. doi: 10.4103/jfmpc.jfmpc_24_19.

Abstract

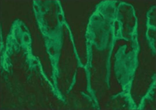
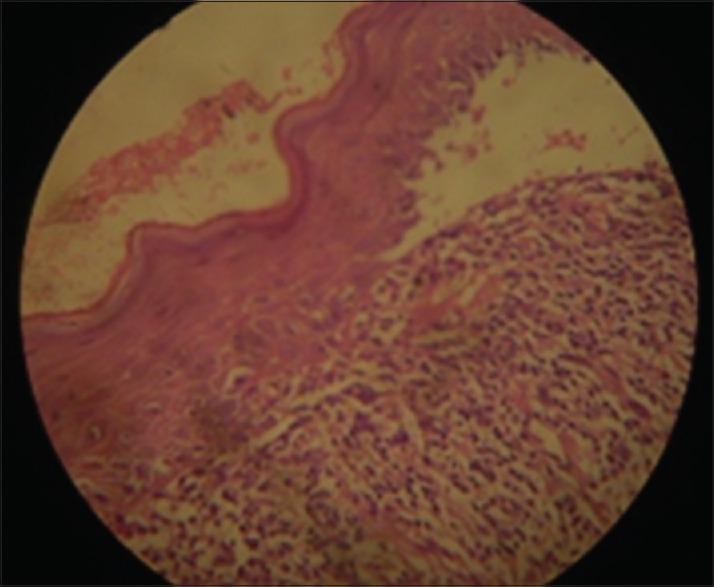
Lichen planus (LP) is a potentially malignant disorder with an immune-mediated etiopathogenesis. The condition frequently affects the skin, oral mucosa, skin appendages, and other mucous membranes. Oral lesions usually precede the onset of skin lesions and in majority of cases may only be presenting symptom. Isolated LP of the lip is rarely encountered in the clinical practice and is usually seen along with skin/other mucous membrane involvement. The clinical appearance poses diagnostic dilemmas and is often misinterpreted. This case report aims to highlight an interesting case of LP of the lower lip in a 50-year-old male patient. The patient presented with a diffuse erosive lesion on the lower lip bordered by white radiating striae on its inner aspect. Histopathological and immunofluorescent studies confirmed LP of the lip. Topical corticosteroids and Vaseline lip therapy were prescribed to the patient. There was considerable healing in the lip lesion during the follow-up period. However, recurrence was noted in the left buccal mucosa.

摘要

扁平苔藓(LP)是一种具有免疫介导发病机制的潜在恶性疾病。该病常累及皮肤、口腔黏膜、皮肤附属器及其他黏膜。口腔病变通常先于皮肤病变出现,且在大多数情况下可能是唯一的症状表现。临床实践中很少遇到孤立的唇部扁平苔藓,通常与皮肤/其他黏膜受累同时出现。其临床表现会造成诊断上的难题,且常被误诊。本病例报告旨在突出一名50岁男性患者下唇扁平苔藓的有趣病例。该患者下唇出现弥漫性糜烂性病变,内缘有白色放射状条纹。组织病理学和免疫荧光研究证实为唇部扁平苔藓。给患者开了外用皮质类固醇和凡士林唇部治疗。随访期间唇部病变有明显愈合。然而,左侧颊黏膜出现了复发。

https://cdn.ncbi.nlm.nih.gov/pmc/blobs/d489/6482806/0df4248ff0dc/JFMPC-8-1269-g001.jpg

文献AI研究员

20分钟写一篇综述,助力文献阅读效率提升50倍。

立即体验

用中文搜PubMed

大模型驱动的PubMed中文搜索引擎

马上搜索

文档翻译

学术文献翻译模型,支持多种主流文档格式。

立即体验