Suppr超能文献

瘦患者,脂肪肝。

Thin Patient, Fatty Liver.

作者信息

Mukthinuthalapati V V Pavan Kedar, Attar Bashar M, Abu Omar Yazan, Nath Vikas, Czapar Carol, Gandhi Seema R

机构信息

Internal Medicine, John H. Stroger Jr. Hospital of Cook County, Chicago, USA.

Gastroenterology and Hepatology, John H. Stroger Jr. Hospital of Cook County, Chicago, USA.

出版信息

Cureus. 2019 Feb 26;11(2):e4139. doi: 10.7759/cureus.4139.

Abstract

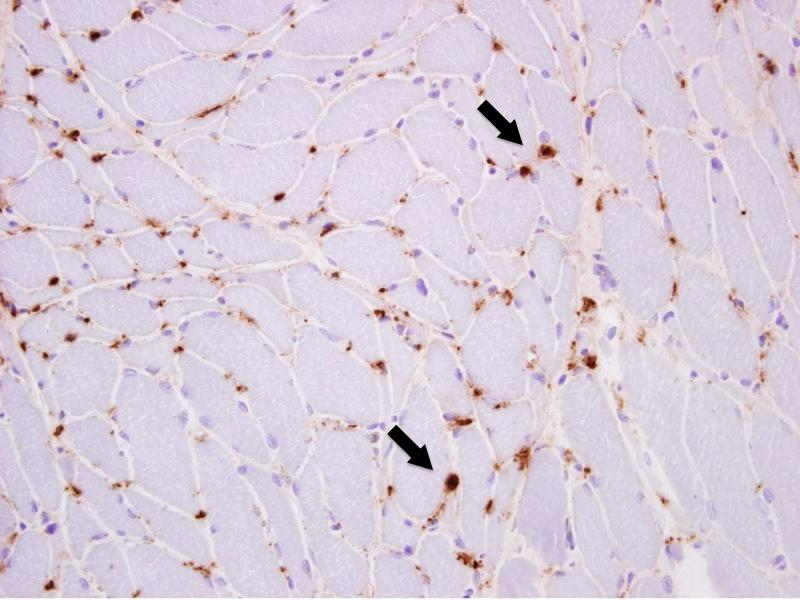
A 49-year-old lady with no past medical history presented with dysphagia and 40-pound weight loss, which occurred over eight months. On physical examination, she had proximal muscle weakness and crackles in basilar regions of the lungs. Labs were significant for low albumin, elevated transaminases, and high aldolase. Imaging suggested aspiration pneumonitis in both lungs and hepatic steatosis. A swallow evaluation revealed oropharyngeal dysphagia and muscle biopsy confirmed a rare form of myositis. A liver biopsy showed steatohepatitis and a diagnosis of starvation-induced steatohepatitis was made. The patient succumbed to hypoxic respiratory failure from aspiration pneumonitis before the treatment for myositis could be initiated. We report the first case of starvation-induced steatohepatitis in a patient with dysphagia from myositis affecting the oropharyngeal musculature.

摘要

一位49岁无既往病史的女性出现吞咽困难和八个月内体重减轻40磅的症状。体格检查发现她有近端肌肉无力,肺部基底区域有湿啰音。实验室检查显示白蛋白水平低、转氨酶升高以及醛缩酶高。影像学检查提示双肺吸入性肺炎和肝脂肪变性。吞咽评估显示口咽吞咽困难,肌肉活检证实为一种罕见的肌炎形式。肝脏活检显示脂肪性肝炎,诊断为饥饿性脂肪性肝炎。在启动肌炎治疗之前,患者因吸入性肺炎导致缺氧性呼吸衰竭死亡。我们报告了首例因影响口咽肌肉组织的肌炎导致吞咽困难的患者发生饥饿性脂肪性肝炎的病例。

https://cdn.ncbi.nlm.nih.gov/pmc/blobs/7929/6485526/dbcf588c6de4/cureus-0011-00000004139-i01.jpg

文献检索

告别复杂PubMed语法,用中文像聊天一样搜索,搜遍4000万医学文献。AI智能推荐,让科研检索更轻松。

立即免费搜索

文件翻译

保留排版,准确专业,支持PDF/Word/PPT等文件格式,支持 12+语言互译。

免费翻译文档

深度研究

AI帮你快速写综述,25分钟生成高质量综述,智能提取关键信息,辅助科研写作。

立即免费体验