• 文献检索
  • 文档翻译
  • 深度研究
  • 学术资讯
  • Suppr Zotero 插件Zotero 插件
  • 邀请有礼
  • 套餐&价格
  • 历史记录
应用&插件
Suppr Zotero 插件Zotero 插件浏览器插件Mac 客户端Windows 客户端微信小程序
定价
高级版会员购买积分包购买API积分包
服务
文献检索文档翻译深度研究API 文档MCP 服务
关于我们
关于 Suppr公司介绍联系我们用户协议隐私条款
关注我们

Suppr 超能文献

核心技术专利:CN118964589B侵权必究
粤ICP备2023148730 号-1Suppr @ 2026

文献检索

告别复杂PubMed语法,用中文像聊天一样搜索,搜遍4000万医学文献。AI智能推荐,让科研检索更轻松。

立即免费搜索

文件翻译

保留排版,准确专业,支持PDF/Word/PPT等文件格式,支持 12+语言互译。

免费翻译文档

深度研究

AI帮你快速写综述,25分钟生成高质量综述,智能提取关键信息,辅助科研写作。

立即免费体验

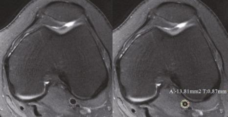
3T 膝关节 MRI 评估髌股关节炎与脂肪组织体积、体重指数和腘动脉内中膜厚度的关系。

The relationship between patellofemoral arthritis and fat tissue volume, body mass index and popliteal artery intima-media thickness through 3T knee MRI.

机构信息

Department of Radiology, Van Lokman Hekim Private Hospital, Van, Turkey

Department of Radiology, Faculty of Medicine, Gazi University, Ankara, Turkey

出版信息

Turk J Med Sci. 2019 Jun 18;49(3):844-853. doi: 10.3906/sag-1811-166.

DOI:10.3906/sag-1811-166
PMID:31121997
原文链接:https://pmc.ncbi.nlm.nih.gov/articles/PMC7018204/
Abstract

BACKGROUND/AIM: Evaluating the relationship of patellar chondromalacia with obesity, infrapatellar fat pad (IFP) volume and popliteal artery intima-media thickness (IMT).

MATERIALS AND METHODS

A total of203 patients with different degree of patellar chondromalacia (103 male, 100 female) and 52 control subjects (19 male, 33 female) were included and grouped according to sex, age, body surface area (BSA), body mass index (BMI) and patellar chondromalacia classification. All measurements were completed with 3T magnetic resonance imaging (MRI). Articular cartilage and IFP volume were measured in saggital plane using double echo steady state (DESS) and DIXON sequences, respectively. Patellar cartilage damage was graded using modified outerbridge classification, and the relations among cartilage volume and BMI, BSA, IFP, IMT were statistically assessed.

RESULTS

Popliteal artery IMT showed an independent association with the prevalence of cartilage defects and IFP volumes (P ˂ 0.001). There was an association between BMI and IFP volumes (P ˂ 0.001). However, no differences were observed between IFP volume and different chondromalacia groups. When IFP measurements were corrected using individual BMI and BSA values, a positive correlation was found between control and advanced chondromalacia groups (P ˂ 0.001).

CONCLUSION

This study demonstrates the relationship among obesity, IMT and chondromalacia and highlights this potential circle to develop effective treatments and inhibit the progression of chondromalacia.

摘要

背景/目的:评估髌股软骨软化症与肥胖、髌下脂肪垫(IFP)体积和腘动脉内膜中层厚度(IMT)的关系。

材料和方法

共纳入 203 例不同程度髌股软骨软化症患者(男 103 例,女 100 例)和 52 例对照组(男 19 例,女 33 例),根据性别、年龄、体表面积(BSA)、体重指数(BMI)和髌股软骨软化症分类进行分组。所有测量均采用 3T 磁共振成像(MRI)完成。关节软骨和 IFP 体积分别采用双回波稳态(DESS)和 DIXON 序列在矢状面测量。髌股软骨损伤采用改良 outerbridge 分级进行分级,并对软骨体积与 BMI、BSA、IFP、IMT 的关系进行统计学评估。

结果

腘动脉 IMT 与软骨缺损和 IFP 体积的发生率呈独立相关(P ˂ 0.001)。BMI 与 IFP 体积之间存在相关性(P ˂ 0.001)。然而,IFP 体积与不同软骨软化症组之间没有差异。当使用个体 BMI 和 BSA 值校正 IFP 测量值时,对照组和高级软骨软化症组之间存在正相关(P ˂ 0.001)。

结论

本研究表明肥胖、IMT 和软骨软化症之间存在关系,并强调了这一潜在循环,以开发有效的治疗方法并抑制软骨软化症的进展。

https://cdn.ncbi.nlm.nih.gov/pmc/blobs/10f6/7018204/39f55b861682/turkjmedsci-49-844-fig009.jpg
https://cdn.ncbi.nlm.nih.gov/pmc/blobs/10f6/7018204/4acb1da24f71/turkjmedsci-49-844-fig001.jpg
https://cdn.ncbi.nlm.nih.gov/pmc/blobs/10f6/7018204/83744c70d8a3/turkjmedsci-49-844-fig002.jpg
https://cdn.ncbi.nlm.nih.gov/pmc/blobs/10f6/7018204/5d9bed247307/turkjmedsci-49-844-fig003.jpg
https://cdn.ncbi.nlm.nih.gov/pmc/blobs/10f6/7018204/b438f83b00e1/turkjmedsci-49-844-fig004.jpg
https://cdn.ncbi.nlm.nih.gov/pmc/blobs/10f6/7018204/db43ee7b8811/turkjmedsci-49-844-fig005.jpg
https://cdn.ncbi.nlm.nih.gov/pmc/blobs/10f6/7018204/ddcca17b3ba8/turkjmedsci-49-844-fig006.jpg
https://cdn.ncbi.nlm.nih.gov/pmc/blobs/10f6/7018204/013927c4d460/turkjmedsci-49-844-fig007.jpg
https://cdn.ncbi.nlm.nih.gov/pmc/blobs/10f6/7018204/20da470eda2c/turkjmedsci-49-844-fig008.jpg
https://cdn.ncbi.nlm.nih.gov/pmc/blobs/10f6/7018204/39f55b861682/turkjmedsci-49-844-fig009.jpg
https://cdn.ncbi.nlm.nih.gov/pmc/blobs/10f6/7018204/4acb1da24f71/turkjmedsci-49-844-fig001.jpg
https://cdn.ncbi.nlm.nih.gov/pmc/blobs/10f6/7018204/83744c70d8a3/turkjmedsci-49-844-fig002.jpg
https://cdn.ncbi.nlm.nih.gov/pmc/blobs/10f6/7018204/5d9bed247307/turkjmedsci-49-844-fig003.jpg
https://cdn.ncbi.nlm.nih.gov/pmc/blobs/10f6/7018204/b438f83b00e1/turkjmedsci-49-844-fig004.jpg
https://cdn.ncbi.nlm.nih.gov/pmc/blobs/10f6/7018204/db43ee7b8811/turkjmedsci-49-844-fig005.jpg
https://cdn.ncbi.nlm.nih.gov/pmc/blobs/10f6/7018204/ddcca17b3ba8/turkjmedsci-49-844-fig006.jpg
https://cdn.ncbi.nlm.nih.gov/pmc/blobs/10f6/7018204/013927c4d460/turkjmedsci-49-844-fig007.jpg
https://cdn.ncbi.nlm.nih.gov/pmc/blobs/10f6/7018204/20da470eda2c/turkjmedsci-49-844-fig008.jpg
https://cdn.ncbi.nlm.nih.gov/pmc/blobs/10f6/7018204/39f55b861682/turkjmedsci-49-844-fig009.jpg

相似文献

1
The relationship between patellofemoral arthritis and fat tissue volume, body mass index and popliteal artery intima-media thickness through 3T knee MRI.3T 膝关节 MRI 评估髌股关节炎与脂肪组织体积、体重指数和腘动脉内中膜厚度的关系。
Turk J Med Sci. 2019 Jun 18;49(3):844-853. doi: 10.3906/sag-1811-166.
2
Lack of high BMI-related features in adipocytes and inflammatory cells in the infrapatellar fat pad (IFP).髌下脂肪垫(IFP)中的脂肪细胞和炎性细胞缺乏与高体重指数相关的特征。
Arthritis Res Ther. 2017 Aug 11;19(1):186. doi: 10.1186/s13075-017-1395-9.
3
Sagittal plane tilting deformity of the patellofemoral joint: a new concept in patients with chondromalacia patella.髌股关节矢状面倾斜畸形:髌骨软化症患者的新概念。
Knee Surg Sports Traumatol Arthrosc. 2017 Oct;25(10):3038-3045. doi: 10.1007/s00167-016-4083-4. Epub 2016 Mar 31.
4
The infrapatellar fat pad is a dynamic and mobile structure, which deforms during knee motion, and has proximal extensions which wrap around the patella.髌下脂肪垫是一个动态且可移动的结构,在膝关节运动过程中会发生变形,并且有近端延伸部分环绕髌骨。
Knee Surg Sports Traumatol Arthrosc. 2018 Nov;26(11):3515-3524. doi: 10.1007/s00167-018-4943-1. Epub 2018 Apr 20.
5
Correlation of Patellofemoral Chondromalacia and Body Mass Index (BMI) in Relation to Sex and Age Analysis of 1.5T and 3.0T Magnetic Resonance (MR) Images Using the Outerbridge Scale.髌股软骨软化症与体质量指数(BMI)的相关性及其与性别和年龄的关系分析:使用 Outerbridge 量表对 1.5T 和 3.0T 磁共振(MR)图像的分析。
Med Sci Monit. 2022 Dec 17;28:e937246. doi: 10.12659/MSM.937246.
6
Patella-patellar tendon angle in relation to the medial patellar plica syndrome, chondromalacia patella, and infrapatellar fat pad syndrome.髌股关节-髌腱角与内侧髌股皱襞综合征、髌骨软骨软化症和髌下脂肪垫综合征的关系。
PLoS One. 2022 Mar 17;17(3):e0265331. doi: 10.1371/journal.pone.0265331. eCollection 2022.
7
Assessment of the relationship between patellar volume and chondromalacia patellae using knee magnetic resonance imaging.利用膝关节磁共振成像评估髌骨体积与髌骨软化症之间的关系。
North Clin Istanb. 2019 Oct 10;7(3):280-283. doi: 10.14744/nci.2019.65882. eCollection 2020.
8
Quantitative MRI analysis of infrapatellar and suprapatellar fat pads in normal controls, moderate and end-stage osteoarthritis.正常对照组、中度和终末期骨关节炎患者髌下和髌上脂肪垫的定量MRI分析
Ann Anat. 2019 Jan;221:108-114. doi: 10.1016/j.aanat.2018.09.007. Epub 2018 Oct 4.
9
The relationship between early-onset chondromalacia and the position of the patella.早发性髌骨软化症与髌骨位置的关系。
Acta Radiol. 2020 Mar;61(3):370-375. doi: 10.1177/0284185119861901. Epub 2019 Jul 18.
10
An investigation of the anatomy of the infrapatellar fat pad and its possible involvement in anterior pain syndrome: a cadaveric study.髌下脂肪垫解剖及其在前膝前痛综合征中可能的作用的研究:尸体研究。
J Anat. 2020 Jul;237(1):20-28. doi: 10.1111/joa.13177. Epub 2020 Mar 11.

引用本文的文献

1
The Synergistic Effects of Hyaluronic Acid and Platelet-Rich Plasma for Patellar Chondropathy.透明质酸与富血小板血浆对髌软骨病的协同作用
Biomedicines. 2023 Dec 19;12(1):6. doi: 10.3390/biomedicines12010006.
2
Association between the subcutaneous fat thickness of the knee and chondromalacia patella: a magnetic resonance imaging-based study.膝关节皮下脂肪厚度与髌骨软化症的相关性:一项基于磁共振成像的研究。
J Int Med Res. 2023 Jun;51(6):3000605231183581. doi: 10.1177/03000605231183581.
3
Knee Diameter and Cross-Section Area Measurements in MRI as New Promising Methods of Chondromalacia Diagnosis-Pilot Study.

本文引用的文献

1
Volume change in infrapatellar fat pad is associated not with obesity but with cartilage degeneration.髌下脂肪垫容积的变化与肥胖无关,而与软骨退变有关。
J Orthop Res. 2019 Mar;37(3):593-600. doi: 10.1002/jor.24201. Epub 2019 Jan 3.
2
Quantitative MRI analysis of infrapatellar and suprapatellar fat pads in normal controls, moderate and end-stage osteoarthritis.正常对照组、中度和终末期骨关节炎患者髌下和髌上脂肪垫的定量MRI分析
Ann Anat. 2019 Jan;221:108-114. doi: 10.1016/j.aanat.2018.09.007. Epub 2018 Oct 4.
3
Association Between Infrapatellar Fat Pad Volume and Knee Structural Changes in Patients with Knee Osteoarthritis.
MRI 下膝关节直径和横截面积测量作为软骨病诊断的新方法——初步研究。
Medicina (Kaunas). 2022 Aug 23;58(9):1142. doi: 10.3390/medicina58091142.
4
Age, gender, height and weight in relation to joint cartilage thickness among school-aged children from ultrasonographic measurement.从超声测量角度来看,学龄儿童的关节软骨厚度与年龄、性别、身高和体重的关系。
Pediatr Rheumatol Online J. 2021 May 12;19(1):71. doi: 10.1186/s12969-021-00554-w.
膝骨关节炎患者髌下脂肪垫体积与膝关节结构变化之间的关联
J Rheumatol. 2015 Oct;42(10):1878-84. doi: 10.3899/jrheum.150175. Epub 2015 Aug 15.
4
Infrapatellar fat pad in the knee: is local fat good or bad for knee osteoarthritis?膝关节的髌下脂肪垫:局部脂肪对膝关节骨关节炎是有益还是有害?
Arthritis Res Ther. 2014 Jul 9;16(4):R145. doi: 10.1186/ar4607.
5
Induction of an inflammatory and prodegradative phenotype in autologous fibroblast-like synoviocytes by the infrapatellar fat pad from patients with knee osteoarthritis.诱导膝关节骨关节炎患者髌下脂肪垫来源的自身成纤维样滑膜细胞产生炎症和促进降解表型。
Arthritis Rheumatol. 2014 Aug;66(8):2165-74. doi: 10.1002/art.38657.
6
Correlation between subcutaneous knee fat thickness and chondromalacia patellae on magnetic resonance imaging of the knee.膝关节磁共振成像中皮下膝脂肪厚度与髌骨软化症的相关性。
Can Assoc Radiol J. 2013 Aug;64(3):182-6. doi: 10.1016/j.carj.2012.04.003. Epub 2012 Aug 9.
7
The infrapatellar fat pad should be considered as an active osteoarthritic joint tissue: a narrative review.髌下脂肪垫应被视为活跃的骨关节炎性关节组织:叙述性综述。
Osteoarthritis Cartilage. 2010 Jul;18(7):876-82. doi: 10.1016/j.joca.2010.03.014. Epub 2010 Apr 22.
8
Age-associated increases in the size of the infrapatellar fat pad in knee osteoarthritis as measured by 3T MRI.3T MRI 测量膝关节骨关节炎髌下脂肪垫大小随年龄增长而增加。
J Orthop Res. 2010 Sep;28(9):1149-54. doi: 10.1002/jor.21125.
9
Fat and water magnetic resonance imaging.脂肪与水磁共振成像。
J Magn Reson Imaging. 2010 Jan;31(1):4-18. doi: 10.1002/jmri.21895.
10
Positive association between increased popliteal artery vessel wall thickness and generalized osteoarthritis: is OA also part of the metabolic syndrome?腘动脉壁厚度增加与全身性骨关节炎之间呈正相关:OA 是否也是代谢综合征的一部分?
Skeletal Radiol. 2009 Dec;38(12):1147-51. doi: 10.1007/s00256-009-0741-7. Epub 2009 Jul 3.