Gronchi Alessandro, Hindi Nadia, Cruz Josefina, Blay Jean-Yves, Lopez-Pousa Antonio, Italiano Antoine, Alvarez Rosa, Gutierrez Antonio, Rincón Inmaculada, Sangalli Claudia, Pérez Aguiar Jose Luis, Romero Jesús, Morosi Carlo, Sunyach Marie Pierre, Sanfilippo Roberta, Romagosa Cleofe, Ranchere-Vince Dominique, Dei Tos Angelo P, Casali Paolo G, Martin-Broto Javier
Fondazione IRCCS Istituto Nazionale dei Tumori, Milan, Italy.
Biomedicine Institute of Seville (IBIS), Spain.
EClinicalMedicine. 2019 Mar 11;9:35-43. doi: 10.1016/j.eclinm.2019.03.007. eCollection 2019 Mar.
Myxoid liposarcoma (ML) exhibits a special sensitivity to trabectedin (T) and radiation therapy (RT). Preclinical data suggest a synergistic effect. We aimed to study safety, feasibility and activity of the administration of pre-operative concurrent T and RT in patients affected by localized resectable ML.
Patients received 3 cycles (C) of T in combination with RT (45 Gy) in 25 fractions (1.8 Gy/fraction). Dose Levels for T were: - 1 (1.1 mg/m2), 0 (1.3 mg/m2) and 1 (1.5 mg/m2). Primary endpoint was safety; antitumor activity was assessed by RECIST and Choi criteria. This study is registered at ClinicalTrials.gov, number NCT02275286. The phase 1 part of the study is complete and phase 2 is ongoing.
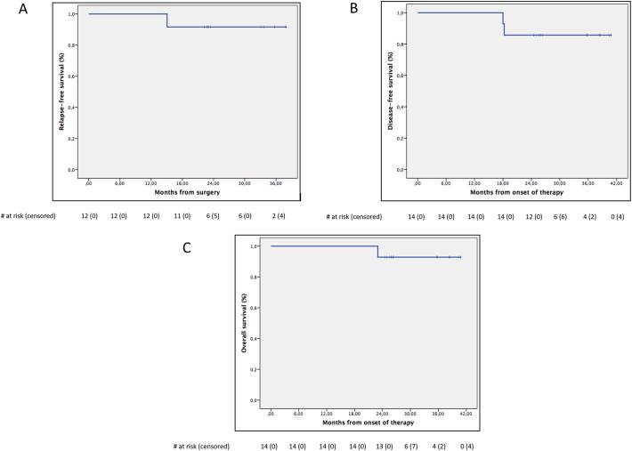
From February 2015 to May 2016, 14 patients (M/F 7/7), median age 36 years (range 24-70) and median tumor size 12.5 cm (range 7-17 cm), were enrolled. One dose limiting toxicity (G3 transaminitis) occurred at Level 0 and one (sepsis due to catheter infection) at Level 1. All patients completed RT. Five patients achieved PR (36%), 8 SD (57%), 1 distant PD (7%) by RECIST, while 12 achieved PR (86%), 1 SD (7%) and 1 distant PD (7%) by Choi criteria. Twelve patients underwent surgery. Median viable residual tumor was 5% (0-60).
T in combination with RT showed a favorable safety profile and antitumor activity in localized ML. T dose of 1.5 mg/m2 is the recommended dose for the phase 2 study, which is ongoing.
This study was partially supported by Pharmamar.
黏液样脂肪肉瘤(ML)对曲贝替定(T)和放射治疗(RT)表现出特殊的敏感性。临床前数据表明存在协同效应。我们旨在研究术前同步给予T和RT治疗局限性可切除ML患者的安全性、可行性和有效性。
患者接受3个周期(C)的T联合RT(45 Gy,分25次给予,每次1.8 Gy)。T的剂量水平为:-1(1.1 mg/m²)、0(1.3 mg/m²)和1(1.5 mg/m²)。主要终点是安全性;通过RECIST和Choi标准评估抗肿瘤活性。本研究已在ClinicalTrials.gov注册,编号为NCT02275286。该研究的1期部分已完成,2期正在进行。
2015年2月至2016年5月,共纳入14例患者(男/女比例为7/7),中位年龄36岁(范围24 - 70岁),中位肿瘤大小12.5 cm(范围7 - 17 cm)。在剂量水平0时发生1例剂量限制性毒性(3级转氨酶升高),在剂量水平1时发生1例(导管感染导致的脓毒症)。所有患者均完成了放疗。根据RECIST标准,5例患者达到部分缓解(PR,36%),8例疾病稳定(SD,57%),1例远处进展性疾病(PD,7%);而根据Choi标准,12例患者达到PR(86%),1例SD(7%),1例远处PD(7%)。12例患者接受了手术。中位存活残留肿瘤为5%(0 - 60)。
T联合RT在局限性ML中显示出良好的安全性和抗肿瘤活性。1.5 mg/m²的T剂量是正在进行的2期研究的推荐剂量。
本研究部分由Pharmamar资助。