Suppr超能文献

杯[n]芳烃对H3N2流感病毒内切酶的抑制作用取决于其大小和灵活性。

Size and Flexibility Define the Inhibition of the H3N2 Influenza Endonuclease Enzyme by Calix[n]arenes.

作者信息

Tauran Yannick, Cerón-Carrasco José Pedro, Rhimi Moez, Perret Florent, Kim Beomjoon, Collard Dominique, Coleman Anthony W, Pérez-Sánchez Horacio

机构信息

Laboratoire Multimatériaux et Interfaces CNRS UMR 5615, Université Lyon 1, 69622 Villeurbanne, France.

Laboratory for Integrated Micro-Mechatronic Systems (LIMMS)/CNRS-IIS UMI 2820, Institute of Industrial Science, The University of Tokyo, Tokyo 153-8505, Japan.

出版信息

Antibiotics (Basel). 2019 Jun 3;8(2):73. doi: 10.3390/antibiotics8020073.

Abstract

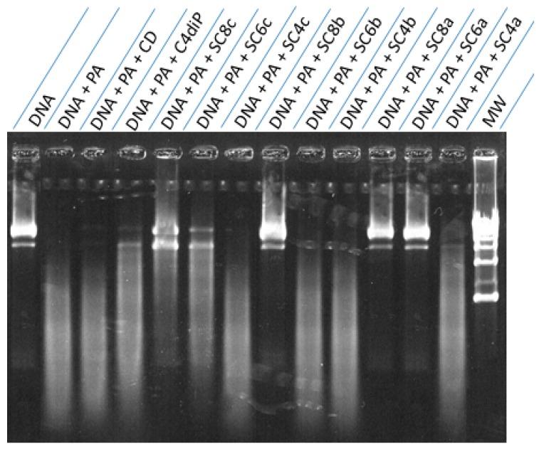
Inhibition of H3N2 influenza PA endonuclease activity by a panel of anionic calix[n]arenes and β-cyclodextrin sulfate has been studied. The joint experimental and theoretical results reveal that the larger, more flexible and highly water-soluble sulfonato-calix[n]arenes have high inhibitory activity, with para-sulfonato-calix[8]arene, SC8, having an IC value of 6.4 μM. Molecular docking calculations show the SC8 can interact at both the polyanion binding site and also the catalytic site of H3N2 influenza PA endonuclease.

摘要

一组阴离子杯[n]芳烃和硫酸β-环糊精对H3N2流感病毒PA内切酶活性的抑制作用已得到研究。实验与理论相结合的结果表明,更大、更灵活且高度水溶性的磺基杯[n]芳烃具有较高的抑制活性,对磺基杯[8]芳烃(SC8)的IC值为6.4 μM。分子对接计算表明,SC8可在H3N2流感病毒PA内切酶的聚阴离子结合位点和催化位点处相互作用。

https://cdn.ncbi.nlm.nih.gov/pmc/blobs/f092/6627454/be1dad61f36f/antibiotics-08-00073-g001.jpg

文献AI研究员

20分钟写一篇综述,助力文献阅读效率提升50倍。

立即体验

用中文搜PubMed

大模型驱动的PubMed中文搜索引擎

马上搜索

文档翻译

学术文献翻译模型,支持多种主流文档格式。

立即体验