Suppr超能文献

肺动脉肉瘤:病例报告及文献综述

Pulmonary artery sarcoma: Case report and review of the literature.

作者信息

Moguillansky Natalia I, Verma Nupur, Shah Purav, Knapik Jacquelyn, Mohammed Tan-Lucien

机构信息

University of Florida, Pulmonary, Critical Care and Sleep Medicine, P.O. Box 100225, JHMHC, Gainesville, FL 32610-0225, USA.

University of Florida, Department of Radiology College of Medicine, PO Box 100374, Gainesville, Fl, 32610-0374, USA.

出版信息

Respir Med Case Rep. 2019 May 16;27:100857. doi: 10.1016/j.rmcr.2019.100857. eCollection 2019.

Abstract

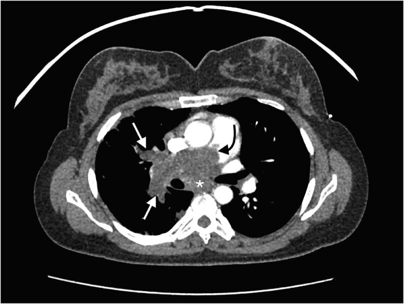
Pulmonary artery sarcoma is a rare malignancy with poor prognosis which can be misdiagnosed as pulmonary thromboembolism. We present a case of a middle age woman who initially diagnosed with presumptive pulmonary embolism that was later found to have pulmonary artery sarcoma. Symptoms, pathology, imaging characteristics and available treatments are discussed.

摘要

肺动脉肉瘤是一种预后较差的罕见恶性肿瘤,可被误诊为肺血栓栓塞症。我们报告一例中年女性病例,该患者最初被诊断为疑似肺栓塞,后来被发现患有肺动脉肉瘤。本文讨论了其症状、病理、影像学特征及可用的治疗方法。

https://cdn.ncbi.nlm.nih.gov/pmc/blobs/0f37/6538954/6c64a9b3e729/gr1.jpg

文献AI研究员

20分钟写一篇综述,助力文献阅读效率提升50倍。

立即体验

用中文搜PubMed

大模型驱动的PubMed中文搜索引擎

马上搜索

文档翻译

学术文献翻译模型,支持多种主流文档格式。

立即体验