Chen Lingling, Lin Zefeng, Wang Ming, Huang Wenhan, Ke Jin, Zhao Dewei, Yin Qingshui, Zhang Yu
Southern Medical University, Guangzhou, 510515, China.
Guangdong Key Laboratory of Orthopedic Technology and Implant Materials, Guangzhou, 510010, China.
J Orthop Translat. 2019 Feb 14;17:133-137. doi: 10.1016/j.jot.2019.01.004. eCollection 2019 Apr.
The avascular necrosis of the femoral head represents the death of bone tissue due to the lack of blood supply. The disease has a progressive evolution; it leads to femoral head collapse and severe arthritis when left untreated. The application of a pedicled bone flap graft is an effective treatment for femoral head necrosis. A pure Mg screw is a kind of degradable screw that can fix the grafted bone flap and prevent long-term stress occlusion and secondary dissection.
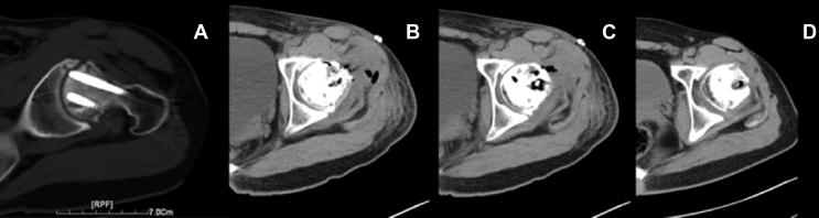
The report shows the results of the treatment of traumatic femoral head necrosis with a pedicled bone flap with pure Mg screw. A patient had avascular necrosis of the femoral head after 2 years of internal fixation of the femoral neck fracture. We removed the patient's internal fixation hollow nail, cleaned the necrotic bone tissue and took part of the same ipsilateral pedicle iliac bone graft in the femoral head defect with biodegradable pure Mg screw fixation. Within 2 years after the surgery, the patients had no significant progressive necrosis of the femoral head. Postoperative Harris scores showed that the patient's left hip function was significantly improved compared with his preoperative state. The pure Mg screw in the body had gradually degraded. After 2 years, the screw's diameter had been significantly reduced compared with 3 days after the surgery. The postoperative Harris score showed that the patient's left hip function was significantly improved compared with the second preoperative examination.
The discussion includes the reasons for the choices of surgical approaches, the mode of pure Mg screw degradation and the postoperative functional assessment of the patient's left hip.
Pure Mg screw fixation pedicled bone flap transplantation is an effective surgical treatment for femoral head necrosis in young patients. Pure Mg screw is a biodegradable internal fixation device with good biocompatibility, which has a good clinical application prospects.
Degradable pure Mg screw has the potential to preserve hip joint therapy for the treatment of femoral head necrosis.
股骨头缺血性坏死是由于血液供应不足导致的骨组织死亡。该疾病呈进行性发展;若不治疗,会导致股骨头塌陷和严重关节炎。带蒂骨瓣移植是治疗股骨头坏死的一种有效方法。纯镁螺钉是一种可降解螺钉,可固定移植的骨瓣,防止长期应力遮挡和二次剥离。
该报告展示了使用带纯镁螺钉的带蒂骨瓣治疗创伤性股骨头坏死的结果。一名患者在股骨颈骨折内固定术后2年出现股骨头缺血性坏死。我们取出患者的内固定空心钉,清理坏死骨组织,并采用可生物降解的纯镁螺钉固定,取自同侧带蒂髂骨的一部分移植到股骨头缺损处。术后2年内,患者股骨头无明显进行性坏死。术后Harris评分显示,患者左髋功能较术前状态有显著改善。体内的纯镁螺钉已逐渐降解。2年后,螺钉直径与术后3天时相比明显减小。术后Harris评分显示,患者左髋功能较第二次术前检查有显著改善。
讨论内容包括手术方法选择的原因、纯镁螺钉的降解方式以及患者左髋的术后功能评估。
纯镁螺钉固定带蒂骨瓣移植是治疗年轻患者股骨头坏死的一种有效手术方法。纯镁螺钉是一种具有良好生物相容性的可生物降解内固定装置,具有良好的临床应用前景。
可降解纯镁螺钉在股骨头坏死的髋关节保留治疗方面具有潜力。