Suppr超能文献

Cocktail treatment of antibiotic, steroid, and analgesic in a tubercular case; the urgency to set up antimicrobial stewardship practices in the community.

作者信息

Pattupara Archana J, Jose Augustine, Panda Prasan K, Goel Vibhu

机构信息

Department of Medicine, All India Institute of Medical Sciences, Rishikesh, Uttarakhand, India.

Department of Radiology, All India Institute of Medical Sciences, Rishikesh, Uttarakhand, India.

出版信息

J Family Med Prim Care. 2019 May;8(5):1789-1791. doi: 10.4103/jfmpc.jfmpc_4_19.

Abstract

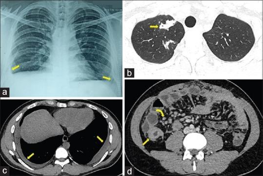
Tuberculosis is a well-known entity in India with many implemented policies to ensure the cost-effective early management. Missed, delayed, and complicated presentations do occur, requiring expensive tertiary level of health care. Among many contributing factors, lack of antibiotic stewardship is at the top. We report a case of 65-year-old man who presented with on and off fever for six months, receiving cocktail treatments of antibiotics, analgesics, and steroids from a local dispensary. Our initial investigations revealed microcytic anemia with high erythrocyte sedimentation rate, leukocytosis, and bilateral pleural effusion on chest X-ray. Contrast enhanced computer tomography of chest and abdomen suggested disseminated tuberculosis including bilateral empyema. Frank pus was drained on thoracocentesis, which was negative for Gram stain, Ziehl-Neelsen stain, and bacterial culture, but positive CB-NAAT for tubercular bacilli with no resistance to rifampicin. Mantoux test and stool occult blood were positive. This case highlights an unusual presentation of tuberculosis and the ongoing lacunae in the society with importance to the primary care providers in the effective management of tuberculosis focusing on antimicrobial stewardship.

摘要
https://cdn.ncbi.nlm.nih.gov/pmc/blobs/af3a/6559109/1af8127b3c3d/JFMPC-8-1789-g001.jpg

文献AI研究员

20分钟写一篇综述,助力文献阅读效率提升50倍。

立即体验

用中文搜PubMed

大模型驱动的PubMed中文搜索引擎

马上搜索

文档翻译

学术文献翻译模型,支持多种主流文档格式。

立即体验