Gómez González Ana María, Mantilla Rey Daniel, Ortiz Zableh Ana María, de Valencia Catalina, Villareal Trujillo Nicolás
Universidad Autónoma de Bucaramanga. Floridablanca, Colombia.
Clínica FOSCAL, Floridablanca, Colombia.
Urol Case Rep. 2019 Feb 14;24:100845. doi: 10.1016/j.eucr.2019.100845. eCollection 2019 May.
The neuroendocrine differentiation in prostate cancer is a rare entity that may occur as de novo, or as a result of treatment with androgen deprivation. It is characterized by its rapid progression and poor prognosis, without elevation of the prostate specific antigen (PSA), which is why it is often diagnosed by biopsy of a site of metastasis; there are no established treatment regimens. In this case, metastasis was presented as implantation to a laparoscopic port. These implantations subsequent to laparoscopic procedures in prostate cancer are very rare, with an incidence between 0.09 and 0.7%. The exact pathogenesis of the tumor implantation at the insertion site is not clear, there are several theories.
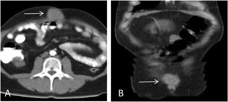
We describe the case of a 53-year-old patient with a diagnosis of prostate adenocarcinoma who underwent laparoscopic radical prostatectomy plus lymphadenectomy, staged as PT3BN0 (0/6) M0R1 Gleason 4 + 5. The patient never had negative PSA levels after the treatment, and presented elevation of the same, so radiotherapy was performed at a dose of 66 Gy plus antiandrogen deprivation therapy with leuprolide acetate for 30 months, with a decrease in PSA to 0.011 ng/ml, which remained stable. After 3 months of hormonal therapy, he presented with an umbilical mass on the scar of the laparoscopic port; ultrasound and computed tomography were performed, showing a solid mass dependent of the umbilical upper edge with a defect in the abdominal wall of 3 cm, as well as hepatic nodules suggestive of metastatic lesions and peritoneal implantations.
A biopsy of the abdominal wall lesion was performed, documenting poorly differentiated carcinoma with an immune-profile consistent with neuroendocrine carcinoma; immunohistochemistry showed strong and diffuse positivity with cytokeratin cocktail and chromogranin. In conjunction with oncology, treatment with chemotherapy was decided. He received six cycles of cisplatin and etoposide, with progression of his disease and death seven months after diagnosis.
Prostate cancer with neuroendocrine differentiation is a rare entity, usually occurring in the castration resistance stage, with poor prognosis and survival of less than 1 year. It presents as clinical and radiological progression without elevation of the PSA. Although it is very rare, the possible causes include tumor implantation in laparoscopic ports and/or open surgery scars, so caution and certain precautions must be taken when performing radical prostatectomy. In case of suspecting a tumor with neuroendocrine differentiation, biopsy and immunohistochemistry studies should be performed in order to clarify the diagnosis and provide a multimodal treatment based on surgery, radiotherapy and chemotherapy.
前列腺癌中的神经内分泌分化是一种罕见情况,可能原发出现,也可能是雄激素剥夺治疗的结果。其特点是进展迅速且预后不良,前列腺特异性抗原(PSA)不升高,这就是为什么它常通过转移部位活检来诊断;目前尚无既定的治疗方案。在本病例中,转移表现为种植于腹腔镜端口。前列腺癌腹腔镜手术后出现这种种植非常罕见,发生率在0.09%至0.7%之间。肿瘤在穿刺部位种植的确切发病机制尚不清楚,有多种理论。
我们描述了一例53岁诊断为前列腺腺癌的患者,该患者接受了腹腔镜根治性前列腺切除术加淋巴结清扫术,分期为PT3BN0(0/6)M0R1,Gleason评分4 + 5。患者治疗后PSA水平从未呈阴性,且出现升高,因此进行了66 Gy的放疗,并联合使用醋酸亮丙瑞林进行30个月的抗雄激素剥夺治疗,PSA降至0.011 ng/ml并保持稳定。激素治疗3个月后,他在腹腔镜端口瘢痕处出现脐部肿块;进行了超声和计算机断层扫描,显示一个附着于脐上缘的实性肿块,腹壁有3 cm缺损,以及提示转移灶和腹膜种植的肝结节。
对腹壁病变进行了活检,记录为低分化癌,免疫表型与神经内分泌癌一致;免疫组化显示细胞角蛋白混合物和嗜铬粒蛋白呈强弥漫阳性。与肿瘤科会诊后,决定进行化疗。他接受了六个周期的顺铂和依托泊苷治疗,诊断后七个月疾病进展并死亡。
具有神经内分泌分化的前列腺癌是一种罕见情况,通常发生在去势抵抗阶段,预后不良,生存期不到1年。其表现为临床和影像学进展,PSA不升高。虽然非常罕见,但可能的原因包括肿瘤种植于腹腔镜端口和/或开放手术瘢痕,因此在进行根治性前列腺切除术时必须谨慎并采取一定预防措施。如果怀疑是具有神经内分泌分化的肿瘤,应进行活检和免疫组化研究以明确诊断,并提供基于手术、放疗和化疗的多模式治疗。