Suppr超能文献

一例患有肝内先天性门体静脉分流并伴有先天性十二指肠蹼的新生儿病例。

A case of a newborn with an intrahepatic congenital portosystemic venous shunt with concurrent congenital duodenal web.

作者信息

Plut Domen, Gorjanc Tamara

机构信息

Clinical Radiology Institute, University Medical Centre Ljubljana, Ljubljana, Slovenia.

Faculty of Medicine, University of Ljubljana, Ljubljana, Slovenia.

出版信息

Acta Radiol Open. 2019 Jun 12;8(6):2058460119854173. doi: 10.1177/2058460119854173. eCollection 2019 Jun.

Abstract

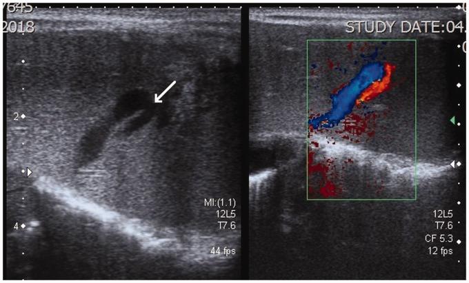
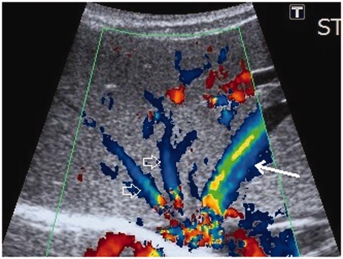
Intrahepatic congenital portosystemic venous shunts are rare vascular anomalies. We report a unique case of a neonate with an intrahepatic congenital portosystemic venous shunt with concurrent congenital duodenal web. Such association has not been previously reported to our knowledge. Interestingly, the shunt became apparent on the seventh day, after a delayed start of oral feeding due to the neonate's recovery from the duodenal web surgery. The shunt was small and the clinical symptomatology mild. No direct treatment was required. The laboratory and the ultrasound follow-up of the child noted a spontaneous resolution of the shunt by the age of six months.

摘要

肝内先天性门体静脉分流是罕见的血管异常。我们报告了一例独特的新生儿病例,该新生儿患有肝内先天性门体静脉分流并伴有先天性十二指肠蹼。据我们所知,此前尚未有这种关联的报道。有趣的是,由于新生儿从十二指肠蹼手术中恢复,经口喂养开始延迟,分流在第七天变得明显。分流较小,临床症状轻微。无需直接治疗。对该患儿的实验室检查和超声随访发现,分流在六个月大时自行消退。

https://cdn.ncbi.nlm.nih.gov/pmc/blobs/2b07/6563404/d86c9fd0505e/10.1177_2058460119854173-fig1.jpg

相似文献

1
A case of a newborn with an intrahepatic congenital portosystemic venous shunt with concurrent congenital duodenal web.
Acta Radiol Open. 2019 Jun 12;8(6):2058460119854173. doi: 10.1177/2058460119854173. eCollection 2019 Jun.
2
The clinical anatomy of congenital portosystemic venous shunts.
Clin Anat. 2008 Mar;21(2):147-57. doi: 10.1002/ca.20574.
3
Rare cause of neonatal pulmonary hypertension: Congenital intrahepatic portosystemic shunt through an aneurysm.
Ann Pediatr Cardiol. 2021 Apr-Jun;14(2):220-223. doi: 10.4103/apc.APC_68_20. Epub 2021 May 3.
5
Congenital portosystemic venous shunt.
Eur J Pediatr. 2018 Mar;177(3):285-294. doi: 10.1007/s00431-017-3058-x. Epub 2017 Dec 14.
6
Congenital portosystemic shunts with and without gastrointestinal bleeding - case series.
Pediatr Radiol. 2015 Dec;45(13):1964-71. doi: 10.1007/s00247-015-3417-6. Epub 2015 Jul 25.
7
Case Report: Early detection and intervention of congenital portosystemic shunts in children.
Front Oncol. 2023 May 5;13:1027238. doi: 10.3389/fonc.2023.1027238. eCollection 2023.
9
Ultrasound diagnosis of congenital intrahepatic portosystemic venous shunt.
Pediatr Radiol. 1991;21(7):529-30. doi: 10.1007/BF02011734.
10
Imaging features, classification and clinical features of intrahepatic congenital portosystemic shunts.
J Ultrasound. 2025 Mar;28(1):227-238. doi: 10.1007/s40477-024-00900-0. Epub 2024 May 28.

引用本文的文献

2
Down Syndrome Patients with Congenital Portosystemic Shunts: A Case Report and Review.
Case Rep Gastroenterol. 2023 Dec 18;17(1):367-375. doi: 10.1159/000535477. eCollection 2023 Jan-Dec.
4
Presentation of Congenital Portosystemic Shunts in Children.
Children (Basel). 2022 Feb 11;9(2):243. doi: 10.3390/children9020243.

本文引用的文献

1
Congenital portosystemic venous shunt.
Eur J Pediatr. 2018 Mar;177(3):285-294. doi: 10.1007/s00431-017-3058-x. Epub 2017 Dec 14.
2
Predisposing Factors for Spontaneous Closure of Congenital Portosystemic Shunts.
J Pediatr. 2015 Oct;167(4):931-935.e12. doi: 10.1016/j.jpeds.2015.06.073. Epub 2015 Aug 12.
3
Congenital multiple intrahepatic portosystemic shunt: an autopsy case.
Int J Clin Exp Pathol. 2013 Dec 15;7(1):425-31. eCollection 2014.
4
Congenital portosystemic shunt: characterization of a multisystem disease.
J Pediatr Gastroenterol Nutr. 2013 Jun;56(6):675-81. doi: 10.1097/MPG.0b013e31828b3750.
5
Congenital portosystemic shunts in children: recognition, evaluation, and management.
Semin Liver Dis. 2012 Nov;32(4):273-87. doi: 10.1055/s-0032-1329896. Epub 2013 Feb 8.
6
Congenital portosystemic shunts: prenatal manifestations with postnatal confirmation and follow-up.
J Ultrasound Med. 2013 Jan;32(1):45-52. doi: 10.7863/jum.2013.32.1.45.
7
Congenital portosystemic vascular malformations.
Semin Pediatr Surg. 2012 Aug;21(3):233-44. doi: 10.1053/j.sempedsurg.2012.05.006.
9
Clinical features of congenital portosystemic shunt in children.
Eur J Pediatr. 2012 Feb;171(2):395-400. doi: 10.1007/s00431-011-1564-9. Epub 2011 Sep 13.
10
Management and classification of type II congenital portosystemic shunts.
J Pediatr Surg. 2011 Feb;46(2):308-14. doi: 10.1016/j.jpedsurg.2010.11.009.

文献AI研究员

20分钟写一篇综述,助力文献阅读效率提升50倍。

立即体验

用中文搜PubMed

大模型驱动的PubMed中文搜索引擎

马上搜索

文档翻译

学术文献翻译模型,支持多种主流文档格式。

立即体验