• 文献检索
  • 文档翻译
  • 深度研究
  • 学术资讯
  • Suppr Zotero 插件Zotero 插件
  • 邀请有礼
  • 套餐&价格
  • 历史记录
应用&插件
Suppr Zotero 插件Zotero 插件浏览器插件Mac 客户端Windows 客户端微信小程序
定价
高级版会员购买积分包购买API积分包
服务
文献检索文档翻译深度研究API 文档MCP 服务
关于我们
关于 Suppr公司介绍联系我们用户协议隐私条款
关注我们

Suppr 超能文献

核心技术专利:CN118964589B侵权必究
粤ICP备2023148730 号-1Suppr @ 2026

文献检索

告别复杂PubMed语法,用中文像聊天一样搜索,搜遍4000万医学文献。AI智能推荐,让科研检索更轻松。

立即免费搜索

文件翻译

保留排版,准确专业,支持PDF/Word/PPT等文件格式,支持 12+语言互译。

免费翻译文档

深度研究

AI帮你快速写综述,25分钟生成高质量综述,智能提取关键信息,辅助科研写作。

立即免费体验

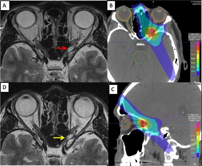
在视神经鞘膜瘤调强放疗期间,每周进行视野检查时观察到视野缺损迅速改善。

The rapid improvement in visual field defect observed with weekly perimetry during intensity-modulated radiotherapy for optic nerve sheath meningioma.

作者信息

Inoue Toshihiko, Mimura Osamu, Ikenaga Koji, Okuno Yoshishige, Nishiguchi Iku

机构信息

Ashiya Radiotherapy Clinic Nozomi, 3-84 Yoko-cho, Ashiya, Hyogo 659-0034 Japan.

2Department of Neuro-ophthalmological Therapeutics, Hyogo College of Medicine, 1-1 Mukogawa-cho, Nishinomiya, Hyogo 663-8501 Japan.

出版信息

Int Cancer Conf J. 2019 Apr 6;8(3):136-140. doi: 10.1007/s13691-019-00371-9. eCollection 2019 Jul.

DOI:10.1007/s13691-019-00371-9
PMID:31218191
原文链接:https://pmc.ncbi.nlm.nih.gov/articles/PMC6545187/
Abstract

During precision radiotherapy to treat optic nerve sheath meningioma, early improvement in visual function has been seen. This has been difficult to explain biologically. In the present study, we aimed to investigate this rapid improvement in visual function. To this end, we prospectively tested a single patient's visual field (VF) using Humphrey automated perimetry at weekly intervals. The patient exhibited significant stepwise improvement in VF during an intensity-modulated radiotherapy course.

摘要

在对视神经鞘膜瘤进行精确放射治疗期间,已观察到视觉功能的早期改善。从生物学角度很难解释这一现象。在本研究中,我们旨在探究视觉功能的这种快速改善情况。为此,我们前瞻性地每周使用汉弗莱自动视野计对一名患者的视野(VF)进行检测。在调强放射治疗过程中,该患者的视野出现了显著的逐步改善。

https://cdn.ncbi.nlm.nih.gov/pmc/blobs/4c03/6545187/a592f8175548/13691_2019_371_Fig3_HTML.jpg
https://cdn.ncbi.nlm.nih.gov/pmc/blobs/4c03/6545187/160a72f2adf8/13691_2019_371_Fig1_HTML.jpg
https://cdn.ncbi.nlm.nih.gov/pmc/blobs/4c03/6545187/b0a5f377bac0/13691_2019_371_Fig2_HTML.jpg
https://cdn.ncbi.nlm.nih.gov/pmc/blobs/4c03/6545187/a592f8175548/13691_2019_371_Fig3_HTML.jpg
https://cdn.ncbi.nlm.nih.gov/pmc/blobs/4c03/6545187/160a72f2adf8/13691_2019_371_Fig1_HTML.jpg
https://cdn.ncbi.nlm.nih.gov/pmc/blobs/4c03/6545187/b0a5f377bac0/13691_2019_371_Fig2_HTML.jpg
https://cdn.ncbi.nlm.nih.gov/pmc/blobs/4c03/6545187/a592f8175548/13691_2019_371_Fig3_HTML.jpg

相似文献

1
The rapid improvement in visual field defect observed with weekly perimetry during intensity-modulated radiotherapy for optic nerve sheath meningioma.在视神经鞘膜瘤调强放疗期间,每周进行视野检查时观察到视野缺损迅速改善。
Int Cancer Conf J. 2019 Apr 6;8(3):136-140. doi: 10.1007/s13691-019-00371-9. eCollection 2019 Jul.
2
Early intervention using high-precision radiotherapy preserved visual function for five consecutive patients with optic nerve sheath meningioma.连续五例视神经鞘脑膜瘤患者采用高精度放疗进行早期干预,保留了视觉功能。
Int J Clin Oncol. 2018 Oct;23(5):826-834. doi: 10.1007/s10147-018-1284-5. Epub 2018 Apr 30.
3
Efficacy of intensity-modulated radiation therapy for optic nerve sheath meningioma.调强放射治疗对视神经鞘膜瘤的疗效
Graefes Arch Clin Exp Ophthalmol. 2019 Oct;257(10):2297-2306. doi: 10.1007/s00417-019-04424-w. Epub 2019 Aug 3.
4
Optic nerve sheath meningioma: visual improvement during radiation treatment.视神经鞘膜瘤:放射治疗期间视力改善
Am J Ophthalmol. 2006 Aug;142(2):343-4. doi: 10.1016/j.ajo.2006.03.027.
5
Improvement in visual function in an eye with a presumed optic nerve sheath meningioma after treatment with three-dimensional conformal radiation therapy.三维适形放射治疗后疑似视神经鞘膜瘤患眼的视觉功能改善。
J Neuroophthalmol. 1996 Dec;16(4):247-51.
6
Visual Outcomes of Fractionated Radiotherapy in Optic Nerve Sheath Meningioma: A Retrospective Study.视神经鞘膜瘤分次放射治疗的视觉预后:一项回顾性研究
Klin Monbl Augenheilkd. 2019 Apr;236(4):526-529. doi: 10.1055/a-0828-7335. Epub 2019 Feb 27.
7
Long-term efficacy of fractionated conformal radiotherapy for the management of primary optic nerve sheath meningioma.分形适形放疗治疗原发性视神经鞘脑膜瘤的长期疗效。
Br J Ophthalmol. 2019 Oct;103(10):1436-1440. doi: 10.1136/bjophthalmol-2018-313135. Epub 2018 Dec 20.
8
Optic Nerve Sheath Meningioma: Preliminary Analysis of the Role of Radiation Therapy.视神经鞘膜瘤:放射治疗作用的初步分析
Brain Tumor Res Treat. 2018 Apr;6(1):8-12. doi: 10.14791/btrt.2018.6.e2. Epub 2018 Apr 2.
9
Rapid recovery of vision following early intervention with fractionated stereotactic radiotherapy for optic nerve sheath meningioma.视神经鞘膜瘤早期采用分次立体定向放射治疗后视力迅速恢复。
Int Med Case Rep J. 2018 Jan 30;11:17-22. doi: 10.2147/IMCRJ.S149592. eCollection 2018.
10
Diagnosis of optic nerve sheath meningioma during optic nerve sheath decompression.视神经鞘减压术中视神经鞘膜瘤的诊断
Orbit. 2017 Feb;36(1):35-38. doi: 10.1080/01676830.2017.1279648. Epub 2017 Feb 3.

引用本文的文献

1
Primary and Secondary Optic Nerve Sheath Meningioma.原发性和继发性视神经鞘膜脑膜瘤。
J Neurol Surg B Skull Base. 2021 Feb;82(1):27-71. doi: 10.1055/s-0041-1723801. Epub 2021 Feb 18.

本文引用的文献

1
Early intervention using high-precision radiotherapy preserved visual function for five consecutive patients with optic nerve sheath meningioma.连续五例视神经鞘脑膜瘤患者采用高精度放疗进行早期干预,保留了视觉功能。
Int J Clin Oncol. 2018 Oct;23(5):826-834. doi: 10.1007/s10147-018-1284-5. Epub 2018 Apr 30.
2
Ganglion cell layer complex measurements in compressive optic neuropathy.压迫性视神经病变中神经节细胞层复合体测量
Curr Opin Ophthalmol. 2017 Nov;28(6):573-578. doi: 10.1097/ICU.0000000000000428.
3
The 2016 European Thyroid Association/European Group on Graves' Orbitopathy Guidelines for the Management of Graves' Orbitopathy.
2016年欧洲甲状腺协会/欧洲Graves眼病研究组Graves眼病管理指南
Eur Thyroid J. 2016 Mar;5(1):9-26. doi: 10.1159/000443828. Epub 2016 Mar 2.
4
A new characterization for nonarteritic anterior ischemic optic neuropathy.非动脉炎性前部缺血性视神经病变的一种新特征
Int J Clin Exp Med. 2015 Oct 15;8(10):18681-8. eCollection 2015.
5
The node of Ranvier in CNS pathology.中枢神经系统病理学中的郎飞结。
Acta Neuropathol. 2014 Aug;128(2):161-75. doi: 10.1007/s00401-014-1305-z. Epub 2014 Jun 10.
6
Therapeutic outcomes of high-dose intravenous steroids in the treatment of dysthyroid optic neuropathy.大剂量静脉注射类固醇治疗甲状腺功能异常性视神经病变的疗效
Thyroid. 2014 May;24(5):897-905. doi: 10.1089/thy.2013.0445. Epub 2014 Mar 6.
7
Glia- and neuron-specific functions of TrkB signalling during retinal degeneration and regeneration.神经营养型酪氨酸激酶受体 B(TrkB)信号在视网膜变性和再生中的胶质细胞和神经元特异性作用。
Nat Commun. 2011 Feb 8;2:189. doi: 10.1038/ncomms1190.
8
Comparison of the Humphrey Field Analyser and Humphrey Matrix Perimeter for the evaluation of glaucoma patients.
Ophthalmologica. 2008;222(6):400-7. doi: 10.1159/000154203. Epub 2008 Sep 10.
9
A comparison of Goldmann and Humphrey automated perimetry in patients with glaucoma.青光眼患者中戈德曼视野计与汉弗莱自动视野计的比较。
Br J Ophthalmol. 1987 Jul;71(7):489-93. doi: 10.1136/bjo.71.7.489.