Suppr超能文献

口服补充 L-谷胱甘肽可预防 UVB 诱导的 BALB/c 小鼠黑素生成和氧化应激。

Oral supplementation of L-glutathione prevents ultraviolet B-induced melanogenesis and oxidative stress in BALB/c mice.

机构信息

Programme of Biomedical Science, Centre of Health & Applied Sciences, Faculty of Health Sciences, Universiti Kebangsaan Malaysia, Jalan Raja Muda Abdul Aziz, 50300 Kuala Lumpur, Malaysia.

出版信息

Exp Anim. 2019 Nov 6;68(4):541-548. doi: 10.1538/expanim.19-0017. Epub 2019 Jun 26.

Abstract

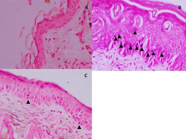
Dietary antioxidant supplements such as L-glutathione have gained considerable attention in dermatology and cosmeceutical fields. L-glutathione possesses antiaging, antimelanogenic, antioxidant, and anticancer properties. This study aimed to investigate the inhibitory effects of L-glutathione on melanogenesis activity and oxidative stress in ultraviolet B (UVB)-irradiated BALB/c mice. Eighteen female BALB/c mice were randomly divided into 3 groups: a control group (n=6), a group without UVB irradiation and L-glutathione administration; a UVB irradiated group (n=6), a group irradiated with a UVB dose of 250 mJ/cm for 3 min; and a treatment group (n=6), a group irradiated with UVB and treated with 100 mg/kg of L-glutathione by oral gavage. Treatment was given for 14 days, and UVB irradiation was given on days 9, 11, and 13. Oral L-glutathione significantly (P<0.05) reduced lipid peroxidation and elevated superoxide dismutase activity the and glutathione level. L-glutathione also inhibited melanin content and tyrosinase activity significantly (P<0.05) as compared with the UVB-irradiated group. Histopathological examination also showed that L-glutathione reduced the deposition of melanin pigment in the basal layer of the epidermis as compared with that in UVB-irradiated mice. All in all, the present study demonstrated that L-glutathione has the potential to be developed as a photoprotection agent against UVB-induced oxidative stress and melanogenesis.

摘要

膳食抗氧化补充剂,如 L-谷胱甘肽,在皮肤病学和化妆品领域受到了广泛关注。L-谷胱甘肽具有抗衰老、抗黑色素生成、抗氧化和抗癌特性。本研究旨在探讨 L-谷胱甘肽对紫外线 B(UVB)照射 BALB/c 小鼠黑色素生成活性和氧化应激的抑制作用。18 只雌性 BALB/c 小鼠被随机分为 3 组:对照组(n=6),未接受 UVB 照射和 L-谷胱甘肽给药的组;UVB 照射组(n=6),照射 250 mJ/cm 的 UVB 剂量 3 分钟的组;和治疗组(n=6),照射 UVB 并通过口服给予 100 mg/kg L-谷胱甘肽的组。治疗持续 14 天,在第 9、11 和 13 天给予 UVB 照射。口服 L-谷胱甘肽显著(P<0.05)降低了脂质过氧化作用,提高了超氧化物歧化酶活性和谷胱甘肽水平。与 UVB 照射组相比,L-谷胱甘肽还显著抑制了黑色素含量和酪氨酸酶活性(P<0.05)。组织病理学检查还表明,与 UVB 照射小鼠相比,L-谷胱甘肽减少了黑色素在表皮基底层的沉积。总之,本研究表明 L-谷胱甘肽具有作为一种针对 UVB 诱导的氧化应激和黑色素生成的光保护剂的潜力。

https://cdn.ncbi.nlm.nih.gov/pmc/blobs/e525/6842793/f97bd2c42f11/expanim-68-541-g001.jpg

文献AI研究员

20分钟写一篇综述,助力文献阅读效率提升50倍。

立即体验

用中文搜PubMed

大模型驱动的PubMed中文搜索引擎

马上搜索

文档翻译

学术文献翻译模型,支持多种主流文档格式。

立即体验