Suppr超能文献

微小 RNA-505-5p 通过靶向细胞周期蛋白依赖性激酶 5 在宫颈癌中发挥肿瘤抑制作用。

MicroRNA-505-5p functions as a tumor suppressor by targeting cyclin-dependent kinase 5 in cervical cancer.

机构信息

Department of Gynecology and Obstetrics, The Second Affiliated Hospital of Harbin Medical University, Harbin, Heilongjiang 150086, China.

First department of Gynecology and Obstetrics, Bashkir State Medical University, Ufa, Republic of Bashkortostan 450008, Russia.

出版信息

Biosci Rep. 2019 Jul 25;39(7). doi: 10.1042/BSR20191221. Print 2019 Jul 31.

Abstract

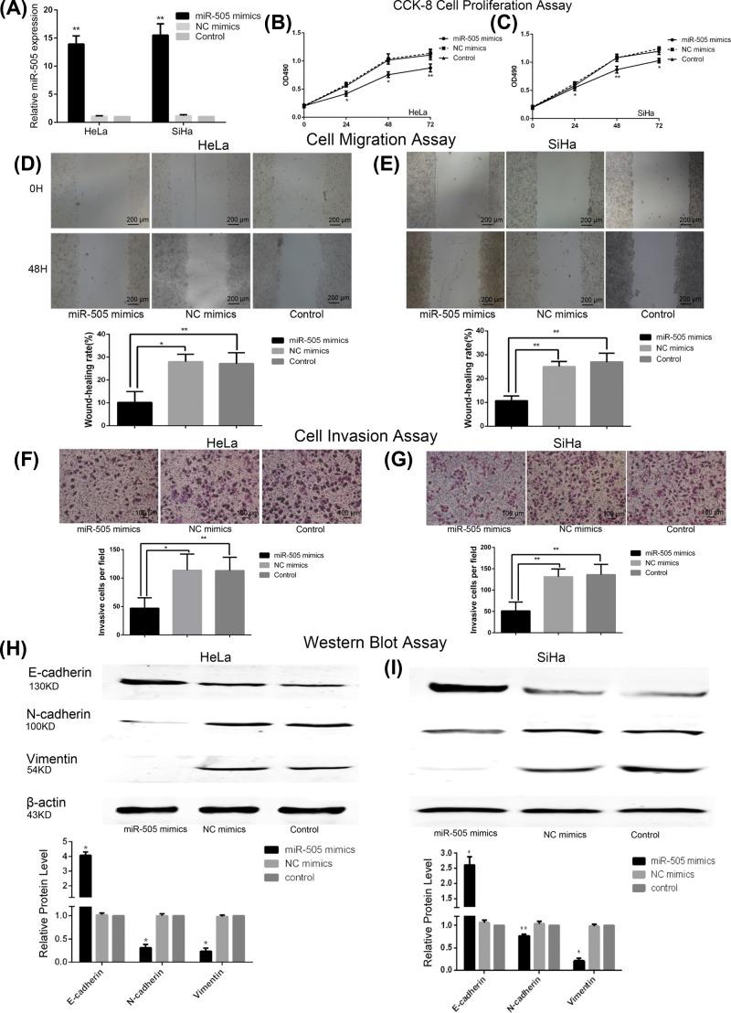
MicroRNAs (miRs) are considered to be tumor suppressors or oncogenes as they regulate cell proliferation, migration, invasion, and differentiation. Recently, microRNA-505 (miR-505) has been reported as being involved in the progression of several human cancers. In the present study, we aim to investigate the expression rate and functional role of miR-505-5p in cervical cancer (CC) to determine its significance regarding the disease's development.The expression of miR-505-5p and cyclin-dependent kinase 5 (CDK5) in specimens of patients with CC and CC cell lines was examined by quantitative real-time PCR (qRT-PCR) and Western Blot. The relationship between miR-505-5p and CDK5 was verified by luciferase reporter assay. Cell counting kit-8 (CCK-8) assay, Scratch wound healing assay and transwell assay were used to detect the roles of miR-505-5p and CDK5 in CC cell functions. Western Blot was utilized to explore the epithelial-mesenchymal transition (EMT) markers.The result showed that in CC tissues and CC cell lines miR-505-5p was down-regulated while CDK5 level was up-regulated. MiR-505-5p was closely correlated with the metastasis-associated clinicopathological features. Overexpression of miR-505-5p inhibited cell viability, cell metastasis and EMT in CC cells. CDK5 was confirmed as a direct target of miR-505-5p and inverse relationship between them was also observed. Overexpression of CDK5 reduces the inhibitory effects of miR-505-5p in CC.Taken together, these results determine that miR-505-5p is a tumor suppressor miRNA which regulates tumor cell proliferation, migration, and invasion via binding to the functional target CDK5 and demonstrates its potential for future use in the treatment of CC.

摘要

微小 RNA(miRs)被认为是肿瘤抑制因子或癌基因,因为它们可以调节细胞增殖、迁移、侵袭和分化。最近,miR-505 已被报道参与了几种人类癌症的进展。在本研究中,我们旨在研究 miR-505-5p 在宫颈癌(CC)中的表达率和功能作用,以确定其在疾病发展中的重要性。通过定量实时 PCR(qRT-PCR)和 Western Blot 检测 CC 患者标本和 CC 细胞系中 miR-505-5p 和周期蛋白依赖性激酶 5(CDK5)的表达。通过荧光素酶报告基因检测验证 miR-505-5p 和 CDK5 之间的关系。细胞计数试剂盒-8(CCK-8)测定、划痕愈合试验和 Transwell 测定用于检测 miR-505-5p 和 CDK5 在 CC 细胞功能中的作用。Western Blot 用于探索上皮-间充质转化(EMT)标志物。结果表明,在 CC 组织和 CC 细胞系中,miR-505-5p 下调而 CDK5 水平上调。miR-505-5p 与转移相关的临床病理特征密切相关。过表达 miR-505-5p 抑制 CC 细胞的活力、细胞转移和 EMT。CDK5 被证实是 miR-505-5p 的直接靶标,它们之间也存在反向关系。过表达 CDK5 降低了 miR-505-5p 在 CC 中的抑制作用。综上所述,这些结果表明 miR-505-5p 是一种肿瘤抑制 miRNA,通过与功能靶标 CDK5 结合来调节肿瘤细胞增殖、迁移和侵袭,并展示了其在未来治疗 CC 中的应用潜力。

https://cdn.ncbi.nlm.nih.gov/pmc/blobs/f33a/6658724/1e59e8921134/bsr-39-bsr20191221-g1.jpg

文献AI研究员

20分钟写一篇综述,助力文献阅读效率提升50倍。

立即体验

用中文搜PubMed

大模型驱动的PubMed中文搜索引擎

马上搜索

文档翻译

学术文献翻译模型,支持多种主流文档格式。

立即体验