• 文献检索
  • 文档翻译
  • 深度研究
  • 学术资讯
  • Suppr Zotero 插件Zotero 插件
  • 邀请有礼
  • 套餐&价格
  • 历史记录
应用&插件
Suppr Zotero 插件Zotero 插件浏览器插件Mac 客户端Windows 客户端微信小程序
定价
高级版会员购买积分包购买API积分包
服务
文献检索文档翻译深度研究API 文档MCP 服务
关于我们
关于 Suppr公司介绍联系我们用户协议隐私条款
关注我们

Suppr 超能文献

核心技术专利:CN118964589B侵权必究
粤ICP备2023148730 号-1Suppr @ 2026

文献检索

告别复杂PubMed语法,用中文像聊天一样搜索,搜遍4000万医学文献。AI智能推荐,让科研检索更轻松。

立即免费搜索

文件翻译

保留排版,准确专业,支持PDF/Word/PPT等文件格式,支持 12+语言互译。

免费翻译文档

深度研究

AI帮你快速写综述,25分钟生成高质量综述,智能提取关键信息,辅助科研写作。

立即免费体验

内镜超声引导下乙醇消融胰腺囊肿后坏死性胰腺炎所致十二指肠狭窄:一例报告

Duodenal Stricture due to Necrotizing Pancreatitis following Endoscopic Ultrasound-Guided Ethanol Ablation of a Pancreatic Cyst: A Case Report.

作者信息

Chun Jung Won, Lee Sang Hyub, Choi Jin Ho, Paik Woo Hyun, Ryu Ji Kon, Kim Yong-Tae

机构信息

Department of Internal Medicine and Liver Research Institute, Seoul National University Hospital, Seoul National University College of Medicine, Seoul, Korea.

出版信息

Clin Endosc. 2019 Sep;52(5):510-515. doi: 10.5946/ce.2018.191. Epub 2019 Jul 4.

DOI:10.5946/ce.2018.191
PMID:31269788
原文链接:https://pmc.ncbi.nlm.nih.gov/articles/PMC6785409/
Abstract

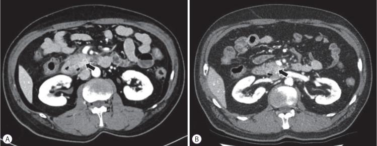
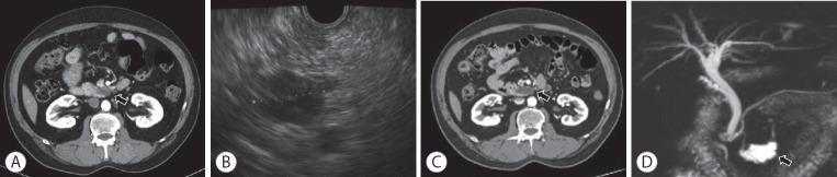
The frequency of incidental detection of pancreatic cystic lesions (PCLs) is increasing because of the frequent use of cross-sectional imaging. The appropriate treatment for PCLs is challenging, and endoscopic ultrasound-guided ablation for PCLs has been reported in several studies. Although the feasibility and efficacy of this therapeutic modality have been shown, the safety issues associated with the procedure are still a concern. We present a case of a 61-year-old man who underwent ultrasound-guided ethanol ablation for PCL and needed repeated endoscopic balloon dilatation for severe duodenal stricture caused by necrotizing pancreatitis after the cyst ablation therapy.

摘要

由于横断面成像的频繁使用,胰腺囊性病变(PCLs)的偶然检出率正在上升。PCLs的恰当治疗具有挑战性,并且在多项研究中已报道了内镜超声引导下对PCLs进行消融治疗。尽管已证明这种治疗方式的可行性和有效性,但与该操作相关的安全问题仍然令人担忧。我们报告一例61岁男性病例,该患者接受了超声引导下PCL乙醇消融治疗,在囊肿消融治疗后因坏死性胰腺炎导致严重十二指肠狭窄而需要反复进行内镜球囊扩张。

https://cdn.ncbi.nlm.nih.gov/pmc/blobs/1c96/6785409/19b7de9f1c3f/ce-2018-191f4.jpg
https://cdn.ncbi.nlm.nih.gov/pmc/blobs/1c96/6785409/f7278420eeb9/ce-2018-191f1.jpg
https://cdn.ncbi.nlm.nih.gov/pmc/blobs/1c96/6785409/2d3907984fb1/ce-2018-191f2.jpg
https://cdn.ncbi.nlm.nih.gov/pmc/blobs/1c96/6785409/6afe0db5d73e/ce-2018-191f3.jpg
https://cdn.ncbi.nlm.nih.gov/pmc/blobs/1c96/6785409/19b7de9f1c3f/ce-2018-191f4.jpg
https://cdn.ncbi.nlm.nih.gov/pmc/blobs/1c96/6785409/f7278420eeb9/ce-2018-191f1.jpg
https://cdn.ncbi.nlm.nih.gov/pmc/blobs/1c96/6785409/2d3907984fb1/ce-2018-191f2.jpg
https://cdn.ncbi.nlm.nih.gov/pmc/blobs/1c96/6785409/6afe0db5d73e/ce-2018-191f3.jpg
https://cdn.ncbi.nlm.nih.gov/pmc/blobs/1c96/6785409/19b7de9f1c3f/ce-2018-191f4.jpg

相似文献

1
Duodenal Stricture due to Necrotizing Pancreatitis following Endoscopic Ultrasound-Guided Ethanol Ablation of a Pancreatic Cyst: A Case Report.内镜超声引导下乙醇消融胰腺囊肿后坏死性胰腺炎所致十二指肠狭窄:一例报告
Clin Endosc. 2019 Sep;52(5):510-515. doi: 10.5946/ce.2018.191. Epub 2019 Jul 4.
2
Safety of endoscopic ultrasound-guided ethanol ablation for pancreatic cystic lesions: A single-center experience of 214 patients.内镜超声引导下乙醇消融治疗胰腺囊性病变的安全性:单中心 214 例经验。
Hepatobiliary Pancreat Dis Int. 2019 Dec;18(6):562-568. doi: 10.1016/j.hbpd.2019.09.004. Epub 2019 Sep 11.
3
[Endoscopic Treatment for Pancreatic Cystic Lesions].[胰腺囊性病变的内镜治疗]
Korean J Gastroenterol. 2018 Jan 25;71(1):10-17. doi: 10.4166/kjg.2018.71.1.10.
4
Alterations in cyst fluid genetics following endoscopic ultrasound-guided pancreatic cyst ablation with ethanol and paclitaxel.内镜超声引导下乙醇和紫杉醇胰腺囊肿消融术后囊肿液遗传学改变
Endoscopy. 2014 Jun;46(6):457-64. doi: 10.1055/s-0034-1365496. Epub 2014 Apr 25.
5
Clinical Outcomes of Endoscopic Ultrasonography-Guided Pancreatic Cyst Ablation.内镜超声引导下胰腺囊肿消融术的临床疗效
Pancreas. 2016 Jul;45(6):889-94. doi: 10.1097/MPA.0000000000000567.
6
The efficacy and safety of endoscopic ultrasound-guided ablation of pancreatic cysts with alcohol and paclitaxel: a systematic review.内镜超声引导下酒精和紫杉醇消融胰腺囊肿的疗效与安全性:一项系统评价
Eur J Gastroenterol Hepatol. 2019 Jan;31(1):1-9. doi: 10.1097/MEG.0000000000001297.
7
A case report of giant pancreatic pseudocyst following acute pancreatitis: experience with endoscopic internal drainage.急性胰腺炎后巨大胰腺假性囊肿病例报告:内镜下内引流经验
BMC Res Notes. 2018 Apr 27;11(1):262. doi: 10.1186/s13104-018-3375-9.
8
Endoscopy-guided ablation of pancreatic lesions: Technical possibilities and clinical outlook.内镜引导下胰腺病变消融术:技术可能性与临床前景
World J Gastrointest Endosc. 2017 Feb 16;9(2):41-54. doi: 10.4253/wjge.v9.i2.41.
9
EUS-Guided Pancreatic Cyst Ablation: a Clinical and Technical Review.超声内镜引导下胰腺囊肿消融术:临床与技术综述
Curr Gastroenterol Rep. 2019 Apr 23;21(5):19. doi: 10.1007/s11894-019-0686-5.
10
Endoscopic ultrasound-through-the-needle biopsy in pancreatic cystic lesions: A large single center experience.胰腺囊性病变的内镜超声引导下经针穿刺活检:一项大型单中心经验。
World J Gastrointest Endosc. 2019 Nov 16;11(11):531-540. doi: 10.4253/wjge.v11.i11.531.

引用本文的文献

1
Endoscopic ultrasound-guided injective ablative treatment of pancreatic cystic neoplasms.内镜超声引导下胰腺囊性肿瘤的注射消融治疗
World J Gastroenterol. 2020 Jun 21;26(23):3213-3224. doi: 10.3748/wjg.v26.i23.3213.
2
Benign Duodenal Stricture Treated with Surgical Correction and Dietary Therapy in a Golden Retriever.一只金毛猎犬的良性十二指肠狭窄采用手术矫正和饮食疗法治疗
Case Rep Vet Med. 2020 Apr 6;2020:4283175. doi: 10.1155/2020/4283175. eCollection 2020.

本文引用的文献

1
Clinical outcomes of endoscopic ultrasound-guided ethanol ablation for pancreatic cystic lesions compared with the natural course: a propensity score matching analysis.内镜超声引导下乙醇消融治疗胰腺囊性病变与自然病程的临床结局比较:一项倾向评分匹配分析
Therap Adv Gastroenterol. 2018 Mar 7;11:1756284818759929. doi: 10.1177/1756284818759929. eCollection 2018.
2
[Endoscopic Treatment for Pancreatic Cystic Lesions].[胰腺囊性病变的内镜治疗]
Korean J Gastroenterol. 2018 Jan 25;71(1):10-17. doi: 10.4166/kjg.2018.71.1.10.
3
The diagnosis and management of cystic lesions of the pancreas.
Chin Clin Oncol. 2017 Dec;6(6):60. doi: 10.21037/cco.2017.12.05.
4
My Treatment Approach: Pancreatic Cysts.我的治疗方法:胰腺囊肿。
Mayo Clin Proc. 2017 Oct;92(10):1519-1531. doi: 10.1016/j.mayocp.2017.06.017. Epub 2017 Sep 8.
5
The Safety and Efficacy of an Alcohol-Free Pancreatic Cyst Ablation Protocol.一种无酒精的胰腺囊肿消融方案的安全性和疗效。
Gastroenterology. 2017 Nov;153(5):1295-1303. doi: 10.1053/j.gastro.2017.08.009. Epub 2017 Aug 9.
6
Revisions of international consensus Fukuoka guidelines for the management of IPMN of the pancreas.国际共识修订版福冈胰腺导管内乳头状黏液瘤管理指南。
Pancreatology. 2017 Sep-Oct;17(5):738-753. doi: 10.1016/j.pan.2017.07.007. Epub 2017 Jul 13.
7
Long-term outcomes after endoscopic ultrasound-guided ablation of pancreatic cysts.内镜超声引导下胰腺囊肿消融的长期疗效。
Endoscopy. 2017 Sep;49(9):866-873. doi: 10.1055/s-0043-110030. Epub 2017 May 16.
8
Clinical Outcomes of Endoscopic Ultrasonography-Guided Pancreatic Cyst Ablation.内镜超声引导下胰腺囊肿消融术的临床疗效
Pancreas. 2016 Jul;45(6):889-94. doi: 10.1097/MPA.0000000000000567.
9
EUS-guided ethanol lavage does not reliably ablate pancreatic cystic neoplasms (with video).EUS 引导下的乙醇灌洗不能可靠地消融胰腺囊性肿瘤(附有视频)。
Gastrointest Endosc. 2016 May;83(5):914-20. doi: 10.1016/j.gie.2015.08.069. Epub 2015 Sep 9.
10
Ethanol lavage of 14 mucinous cysts of the pancreas: A retrospective study in two tertiary centers.乙醇灌洗 14 例胰腺黏液性囊腺瘤/囊腺癌:两家三级中心的回顾性研究。
Endosc Ultrasound. 2012 Apr;1(1):48-52. doi: 10.7178/eus.01.008.