Suppr超能文献

关节内注射水解胶原蛋白治疗膝关节骨关节炎症状。一项功能性体外研究和一项前瞻性回顾性临床研究。

Intra-Articular Injection of Hydrolyzed Collagen to Treat Symptoms of Knee Osteoarthritis. A Functional In Vitro Investigation and a Pilot Retrospective Clinical Study.

作者信息

De Luca Paola, Colombini Alessandra, Carimati Giulia, Beggio Michelangelo, de Girolamo Laura, Volpi Piero

机构信息

IRCCS Istituto Ortopedico Galeazzi, Via R. Galeazzi 4, 20161 Milano, Italy.

Istituto Clinico Humanitas, Via Alessandro Manzoni, 56, 20089 Rozzano Milano, Italy.

出版信息

J Clin Med. 2019 Jul 4;8(7):975. doi: 10.3390/jcm8070975.

Abstract

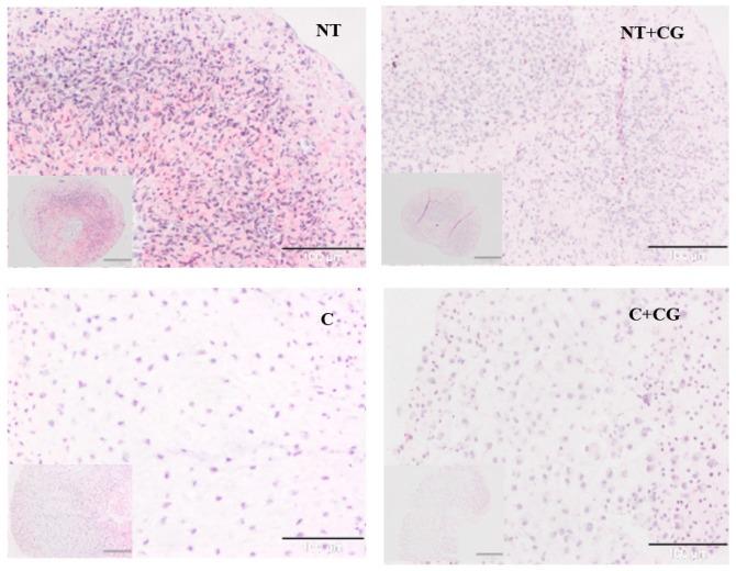
Among all joints affected, knee osteoarthritis has a prevalence of about 10% in men and 13% in women over 60 years old. Knee osteoarthritis has high economic and social costs and may have a devastating impact on patient quality of life. Treatment of symptomatic knee Osteoarthritis may involve oral or topical administration of non-steroidal anti-inflammatory drugs or intra-articular injection of corticosteroids. Recently, a novel injectable collagen formulation (ChondroGrid) consisting of bovine hydrolyzed <3 kDa type I collagen has been developed and is currently available on the market as an injectable medical device. The primary objective of this study was to investigate the in vitro and in vivo effects of ChondroGrid in treating knee osteoarthritis symptoms to assess its safety and performance. Viability and proliferation of ChondroGrid-exposed human chondrocytes derived from five donors were assessed through the Alamar Blue/CyQuant assays. Their expression of / and / was then assessed through RT-PCR and that of TGFβ1, IGF-I, and VEGF using ELISA assays. Shape and ECM deposition were assessed using the Bern score after a 28-day ChondroGrid exposure, and collagen deposition was assessed using immunostaining. Records of 20 patients affected by Kellgren Lawrence grade 1 to 4 knee osteoarthritis who received three 4mg/2mL ChondroGrid injections 2 weeks apart were then retrospectively assessed to compare VAS, Lequesne, and WOMAC scores collected before and 15, 45, and 225 days after the first injection. ChondroGrid had no effects on the markers under consideration, but induced type-II and inhibited type-I collagen deposition; the Bern score was higher when cells were cultured with ChondroGrid. Patients experienced a 44% Lequesne score and a 55% VAS at moving score reduction. All other scores decreased >70%. ChondroGrid may prompt chondrocytes to produce hyaline cartilage, prevent fibrous tissue formation, and be a safe and effective adjuvant to treat symptomatic knee osteoarthritis.

摘要

在所有受影响的关节中,60岁以上男性膝关节骨关节炎的患病率约为10%,女性为13%。膝关节骨关节炎具有高昂的经济和社会成本,可能对患者的生活质量产生毁灭性影响。有症状的膝关节骨关节炎的治疗可能包括口服或局部使用非甾体抗炎药或关节内注射皮质类固醇。最近,一种由牛水解<3 kDa I型胶原蛋白组成的新型可注射胶原蛋白制剂(ChondroGrid)已被开发出来,目前作为一种可注射医疗器械在市场上销售。本研究的主要目的是研究ChondroGrid在治疗膝关节骨关节炎症状方面的体外和体内效果,以评估其安全性和性能。通过Alamar Blue/CyQuant检测评估来自五个供体的暴露于ChondroGrid的人软骨细胞的活力和增殖。然后通过RT-PCR评估其/和/的表达,并使用ELISA检测评估TGFβ1、IGF-I和VEGF的表达。在ChondroGrid暴露28天后,使用Bern评分评估形状和细胞外基质沉积,并使用免疫染色评估胶原蛋白沉积。然后回顾性评估20例受Kellgren Lawrence 1至4级膝关节骨关节炎影响的患者的记录,这些患者每隔2周接受三次4mg/2mL ChondroGrid注射,以比较首次注射前以及首次注射后15、45和225天收集的VAS、Lequesne和WOMAC评分。ChondroGrid对所考虑的标志物没有影响,但诱导了II型胶原蛋白沉积并抑制了I型胶原蛋白沉积;当细胞与ChondroGrid一起培养时,Bern评分更高。患者的Lequesne评分降低了44%,活动时VAS评分降低了55%。所有其他评分降低>70%。ChondroGrid可能促使软骨细胞产生透明软骨,防止纤维组织形成,并且是治疗有症状膝关节骨关节炎的一种安全有效的辅助药物。

https://cdn.ncbi.nlm.nih.gov/pmc/blobs/881b/6678364/dd3ca04d3616/jcm-08-00975-g001.jpg

文献检索

告别复杂PubMed语法,用中文像聊天一样搜索,搜遍4000万医学文献。AI智能推荐,让科研检索更轻松。

立即免费搜索

文件翻译

保留排版,准确专业,支持PDF/Word/PPT等文件格式,支持 12+语言互译。

免费翻译文档

深度研究

AI帮你快速写综述,25分钟生成高质量综述,智能提取关键信息,辅助科研写作。

立即免费体验