• 文献检索
  • 文档翻译
  • 深度研究
  • 学术资讯
  • Suppr Zotero 插件Zotero 插件
  • 邀请有礼
  • 套餐&价格
  • 历史记录
应用&插件
Suppr Zotero 插件Zotero 插件浏览器插件Mac 客户端Windows 客户端微信小程序
定价
高级版会员购买积分包购买API积分包
服务
文献检索文档翻译深度研究API 文档MCP 服务
关于我们
关于 Suppr公司介绍联系我们用户协议隐私条款
关注我们

Suppr 超能文献

核心技术专利:CN118964589B侵权必究
粤ICP备2023148730 号-1Suppr @ 2026

文献检索

告别复杂PubMed语法,用中文像聊天一样搜索,搜遍4000万医学文献。AI智能推荐,让科研检索更轻松。

立即免费搜索

文件翻译

保留排版,准确专业,支持PDF/Word/PPT等文件格式,支持 12+语言互译。

免费翻译文档

深度研究

AI帮你快速写综述,25分钟生成高质量综述,智能提取关键信息,辅助科研写作。

立即免费体验

伪装成肾上腺皮质肿瘤的神经鞘瘤:一例报告并文献复习

Schwannoma masquerading as adrenocortical tumor: A case report and review of literature.

作者信息

Shabana Waleed, Raslan Wasim, Hassan Said, Al-Tartir Tareq

机构信息

Johns Hopkins Aramco Healthcare-Urology Department, Saudi Arabia.

Faculty of Medicine-Zagazig University-urology Department, Egypt.

出版信息

Urol Case Rep. 2019 May 30;26:100926. doi: 10.1016/j.eucr.2019.100926. eCollection 2019 Sep.

DOI:10.1016/j.eucr.2019.100926
PMID:31297325
原文链接:https://pmc.ncbi.nlm.nih.gov/articles/PMC6597528/
Abstract

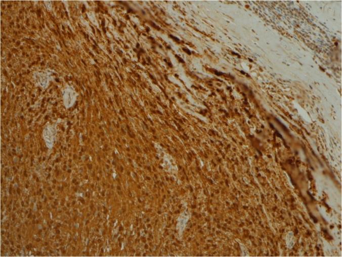
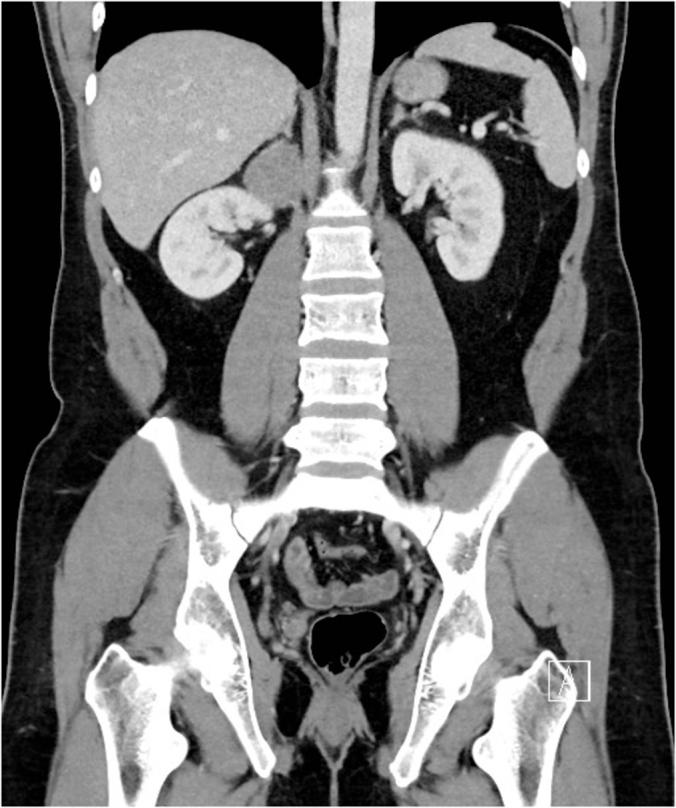
Schwannomas arises from retroperitoneal space are rare tumors. Adrenal Schwannomas are often misdiagnosed due to deficient of distinctive radiological findings. We report a case of adrenal schwannoma presented with vague abdominal pain. Initially, the patient was diagnosed as adrenocortical tumor that was treated with robotic adrenalectomy. Histopathological and immuno-histochemical examination revealed schwannoma. We will report the case and review the literature regarding this rare tumor.

摘要

起源于腹膜后间隙的神经鞘瘤是罕见肿瘤。肾上腺神经鞘瘤常因缺乏独特的影像学表现而被误诊。我们报告一例以腹部隐痛为表现的肾上腺神经鞘瘤病例。最初,该患者被诊断为肾上腺皮质肿瘤并接受了机器人辅助肾上腺切除术。组织病理学和免疫组织化学检查显示为神经鞘瘤。我们将报告该病例并复习有关这种罕见肿瘤的文献。

https://cdn.ncbi.nlm.nih.gov/pmc/blobs/be2d/6597528/334489f08514/egi10PDSS97JHW.jpg
https://cdn.ncbi.nlm.nih.gov/pmc/blobs/be2d/6597528/1e72169a75ad/egi10GB88TQDLJ.jpg
https://cdn.ncbi.nlm.nih.gov/pmc/blobs/be2d/6597528/435b069d3168/egi10S6L2TKL5V.jpg
https://cdn.ncbi.nlm.nih.gov/pmc/blobs/be2d/6597528/334489f08514/egi10PDSS97JHW.jpg
https://cdn.ncbi.nlm.nih.gov/pmc/blobs/be2d/6597528/1e72169a75ad/egi10GB88TQDLJ.jpg
https://cdn.ncbi.nlm.nih.gov/pmc/blobs/be2d/6597528/435b069d3168/egi10S6L2TKL5V.jpg
https://cdn.ncbi.nlm.nih.gov/pmc/blobs/be2d/6597528/334489f08514/egi10PDSS97JHW.jpg

相似文献

1
Schwannoma masquerading as adrenocortical tumor: A case report and review of literature.伪装成肾上腺皮质肿瘤的神经鞘瘤:一例报告并文献复习
Urol Case Rep. 2019 May 30;26:100926. doi: 10.1016/j.eucr.2019.100926. eCollection 2019 Sep.
2
A case series of two cases of juxta-adrenal schwannoma presenting as adrenal mass lesion and review of the literature.两例表现为肾上腺肿块病变的肾上腺旁神经鞘瘤病例系列及文献复习
Urol Ann. 2015 Apr-Jun;7(2):254-8. doi: 10.4103/0974-7796.152940.
3
Huge adrenal schwannoma: a rare type of adrenal tumor, misconceived as adrenocortical carcinoma.巨大肾上腺神经鞘瘤:一种罕见的肾上腺肿瘤,常被误诊为肾上腺皮质癌。
J Surg Case Rep. 2022 Dec 7;2022(12):rjac562. doi: 10.1093/jscr/rjac562. eCollection 2022 Dec.
4
Retroperitoneal Schwannoma: Two Rare Case Reports.腹膜后神经鞘瘤:两例罕见病例报告。
Cureus. 2021 Feb 20;13(2):e13456. doi: 10.7759/cureus.13456.
5
Adrenal schwannoma: A case report of an unusual incidentaloma.肾上腺神经鞘瘤:一例罕见偶发瘤的病例报告。
Int J Surg Case Rep. 2021 Jun;83:106018. doi: 10.1016/j.ijscr.2021.106018. Epub 2021 May 26.
6
Multiple retroperitoneal schwannomas: case report and review of the literature.多发性腹膜后神经鞘瘤:病例报告及文献复习
J Urol. 1994 Feb;151(2):413-6. doi: 10.1016/s0022-5347(17)34966-2.
7
Juxta-adrenal schwannoma presenting as a giant adrenal tumor: A case report and a literature review.表现为巨大肾上腺肿瘤的肾上腺旁神经鞘瘤:一例报告及文献复习
Int J Surg Case Rep. 2018;53:132-136. doi: 10.1016/j.ijscr.2018.10.017. Epub 2018 Oct 15.
8
A Rare Case of an Adrenal Mass Proved to Be a Benign Cellular Schwannoma.一例罕见的肾上腺肿块经证实为良性细胞性施万瘤。
Cureus. 2022 Mar 18;14(3):e23296. doi: 10.7759/cureus.23296. eCollection 2022 Mar.
9
Case Report: Adrenal glands degenerated schwannoma: Report of three cases and literature review.病例报告:肾上腺退行性变雪旺瘤:三例报告及文献复习
Front Oncol. 2023 Jan 23;13:990028. doi: 10.3389/fonc.2023.990028. eCollection 2023.
10
Schwannoma Misdiagnosed as Adrenal Adenoma: A Case Report and Review of the Literature.误诊为肾上腺腺瘤的神经鞘瘤:一例报告及文献复习
Case Rep Endocrinol. 2020 Jan 30;2020:8020761. doi: 10.1155/2020/8020761. eCollection 2020.

引用本文的文献

1
Huge adrenal schwannoma: a rare type of adrenal tumor, misconceived as adrenocortical carcinoma.巨大肾上腺神经鞘瘤:一种罕见的肾上腺肿瘤,常被误诊为肾上腺皮质癌。
J Surg Case Rep. 2022 Dec 7;2022(12):rjac562. doi: 10.1093/jscr/rjac562. eCollection 2022 Dec.
2
A Rare Case of an Adrenal Mass Proved to Be a Benign Cellular Schwannoma.一例罕见的肾上腺肿块经证实为良性细胞性施万瘤。
Cureus. 2022 Mar 18;14(3):e23296. doi: 10.7759/cureus.23296. eCollection 2022 Mar.
3
Adrenal schwannoma: why should endocrinologists be aware of this uncommon tumour?

本文引用的文献

1
Juxta-adrenal schwannoma presenting as a giant adrenal tumor: A case report and a literature review.表现为巨大肾上腺肿瘤的肾上腺旁神经鞘瘤:一例报告及文献复习
Int J Surg Case Rep. 2018;53:132-136. doi: 10.1016/j.ijscr.2018.10.017. Epub 2018 Oct 15.
2
MR imaging features of benign retroperitoneal paragangliomas and schwannomas.良性腹膜后副神经节瘤和神经鞘瘤的磁共振成像特征
BMC Neurol. 2018 Jan 4;18(1):1. doi: 10.1186/s12883-017-0998-8.
3
A rare adrenal incidentaloma: adrenal schwannoma.一例罕见的肾上腺偶发瘤:肾上腺神经鞘瘤。
肾上腺神经鞘瘤:为什么内分泌学家应该了解这种不常见的肿瘤?
Endocrine. 2022 Mar;75(3):684-697. doi: 10.1007/s12020-022-02997-x. Epub 2022 Feb 12.
4
Benign adrenal and suprarenal retroperitoneal schwannomas can mimic aggressive adrenal malignancies: case report and review of the literature.良性肾上腺及肾上腺后腹膜神经鞘瘤可酷似侵袭性肾上腺恶性肿瘤:病例报告及文献复习
Intractable Rare Dis Res. 2020 Aug;9(3):156-162. doi: 10.5582/irdr.2020.01027.
5
Schwannoma Misdiagnosed as Adrenal Adenoma: A Case Report and Review of the Literature.误诊为肾上腺腺瘤的神经鞘瘤:一例报告及文献复习
Case Rep Endocrinol. 2020 Jan 30;2020:8020761. doi: 10.1155/2020/8020761. eCollection 2020.
Case Rep Gastroenterol. 2013 Oct 5;7(3):420-7. doi: 10.1159/000355871. eCollection 2013.
4
Special problems encountering surgical management of large retroperitoneal schwannomas.巨大腹膜后神经鞘瘤手术治疗中遇到的特殊问题。
World J Surg Oncol. 2008 Oct 3;6:107. doi: 10.1186/1477-7819-6-107.
5
Schwannoma in the peridiaphragm.膈肌周围的神经鞘瘤。
Gen Thorac Cardiovasc Surg. 2008 Sep;56(9):453-5. doi: 10.1007/s11748-008-0269-0. Epub 2008 Sep 13.