Suppr超能文献

多层螺旋CT增强扫描联合多平面重组图像在直肠癌术前T分期中的临床应用价值

The clinical application value of multi-slice spiral CT enhanced scans combined with multiplanar reformations images in preoperative T staging of rectal cancer.

作者信息

Zhou Xiao-Cong, Chen Que-Lu, Huang Chong-Quan, Liao Hong-Li, Ren Chun-Yi, He Qing-Si

机构信息

Cheeloo College of Medicine, Shandong University, Jinan, Shandong.

Deparment of Colorectal Surgery.

出版信息

Medicine (Baltimore). 2019 Jul;98(28):e16374. doi: 10.1097/MD.0000000000016374.

Abstract

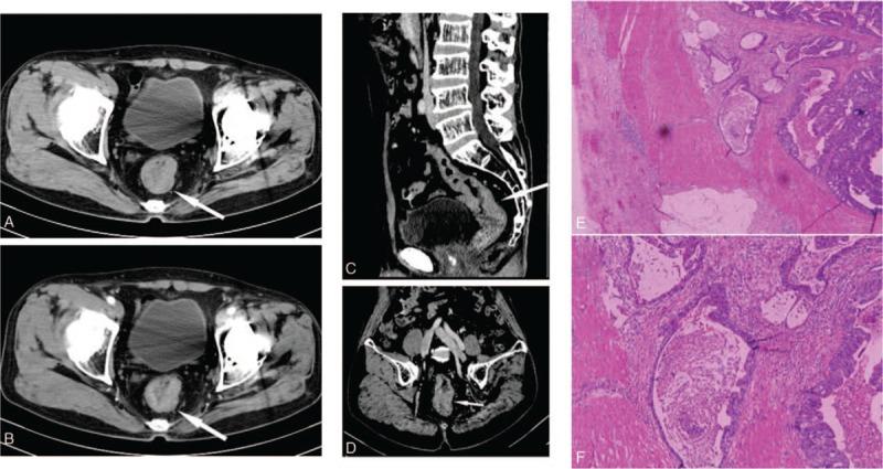
This study aims to evaluate the diagnostic accuracy and clinical application value of multi-slice spiral CT (MSCT) enhanced scans combined with multiplanar reformations (MPRs) images compared with postoperative pathological results in preoperative T staging of rectal cancer.One hundred sixty-eight consecutive patients with rectal cancer were admitted in our hospital between January 2013 and October 2018. Conventional MSCT plain scans, multi-phase dynamic contrast-enhanced scans, and MPRs were performed in all patients before surgical operation. The preoperative T staging of the rectal cancer lesions was evaluated using MSCT enhanced scans combined with MPRs, which was verified by postoperative pathological results. The diagnostic accuracy of MSCT enhanced scans combined with MPRs in evaluating T staging of the rectal cancer lesions were analyzed by χ test and Kappa test.Compared with postoperative pathology, T staging using MSCT enhanced scans combined with MPRs had overall accuracy of 85.7%. Consistency between MSCT enhanced scans combined with MPRs and postoperative pathological staging was effective for T staging (Kappa = 0.658, χ = 4.200, P = .122).Conventional MSCT enhanced scans combined with MPRs are simple and feasible. It is consistent with the pathological diagnosis of evaluating T staging in the rectal cancer lesions. It can provide reliable imaging evidence for the preoperative evaluation of primary rectal cancer, especially in patients with magnetic resonance imaging (MRI) contraindications, or in grass-roots hospitals due to lack of MRI equipment.

摘要

本研究旨在评估多层螺旋CT(MSCT)增强扫描联合多平面重建(MPR)图像在直肠癌术前T分期中与术后病理结果相比的诊断准确性及临床应用价值。2013年1月至2018年10月期间,我院连续收治168例直肠癌患者。所有患者在手术前均进行了常规MSCT平扫、多期动态对比增强扫描及MPR。采用MSCT增强扫描联合MPR对直肠癌病变进行术前T分期评估,并与术后病理结果进行对照验证。通过χ检验和Kappa检验分析MSCT增强扫描联合MPR在评估直肠癌病变T分期中的诊断准确性。与术后病理结果相比,MSCT增强扫描联合MPR进行T分期的总体准确率为85.7%。MSCT增强扫描联合MPR与术后病理分期的一致性在T分期方面有效(Kappa=0.658,χ=4.200,P=0.122)。常规MSCT增强扫描联合MPR简单可行,在评估直肠癌病变T分期方面与病理诊断结果一致,可为原发性直肠癌的术前评估提供可靠的影像学依据,尤其适用于有磁共振成像(MRI)禁忌证的患者或因缺乏MRI设备的基层医院。

https://cdn.ncbi.nlm.nih.gov/pmc/blobs/2705/6641797/44e41db5fecd/medi-98-e16374-g001.jpg

文献检索

告别复杂PubMed语法,用中文像聊天一样搜索,搜遍4000万医学文献。AI智能推荐,让科研检索更轻松。

立即免费搜索

文件翻译

保留排版,准确专业,支持PDF/Word/PPT等文件格式,支持 12+语言互译。

免费翻译文档

深度研究

AI帮你快速写综述,25分钟生成高质量综述,智能提取关键信息,辅助科研写作。

立即免费体验