Department of Pathology, Faculty of Veterinary Medicine, Cairo University, Giza, Egypt.
Department of Toxicology & Forensic Medicine, Faculty of Veterinary Medicine, Cairo University, Giza, Egypt.
Int J Nanomedicine. 2019 Jul 1;14:4723-4739. doi: 10.2147/IJN.S207644. eCollection 2019.
Much consideration has been paid to the toxicological assessment of nanoparticles prior to clinical and biological applications. While in vitro studies have been expanding continually, in vivo investigations of nanoparticles have not developed a cohesive structure. This study aimed to assess the acute toxicity of different concentrations of chitosan-coated silver nanoparticles (Ch-AgNPs) in main organs, including liver, kidneys, and spleen.
Twenty-eight male albino rats were used and divided into 4 groups (n=7). Group 1 was kept as a negative control group. Groups 2, 3, and 4 were treated intraperitoneally with Ch-AgNPs each day for 14 days at doses of 50, 25, and 10 mg/kg body weight (bwt) respectively. Histopathological, morphometric and immunohistochemical studies were performed as well as oxidative stress evaluations, and specific functional examinations for each organ were elucidated.
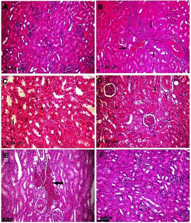
It was revealed that Ch-AgNPs induced dose-dependent toxicity, and the repeated dosing of rats with 50 mg/kg Ch-AgNPs induced severe toxicities. Histopathological examination showed congestion, hemorrhage, cellular degeneration, apoptosis and necrosis in hepatic and renal tissue as well as lymphocytic depletion with increasing tangible macrophages in the spleen. The highest levels of malondialdehyde, alanine aminotransferase, aspartate aminotransferase (MDA, ALT, AST) and the lowest levels of reduced glutathione, immunoglobulin G, M and total protein (GSH, IgG, IgM, TP) were observed in this group. On the other hand, repeated dosing with 25 mg/kg induced mild to moderate disturbance in the previous parameters, while there was no significant difference in results of pathological examination and biochemical tests between the control group and those treated with 10 mg/kg bwt Ch-AgNPs.
Chitosan-coated silver nanoparticles induce dose-dependent adverse effects on rats.
在将纳米粒子应用于临床和生物学之前,人们已经对其进行了大量的毒理学评估。虽然体外研究不断扩展,但纳米粒子的体内研究尚未形成一个有凝聚力的结构。本研究旨在评估不同浓度壳聚糖包覆的银纳米粒子(Ch-AgNPs)在主要器官(包括肝脏、肾脏和脾脏)中的急性毒性。
使用 28 只雄性白化大鼠,并将其分为 4 组(n=7)。第 1 组作为阴性对照组。第 2、3 和 4 组分别每天腹膜内给予 Ch-AgNPs,剂量分别为 50、25 和 10mg/kg 体重(bwt),共 14 天。进行了组织病理学、形态计量学和免疫组织化学研究,以及氧化应激评估,并阐明了每个器官的特定功能检查。
结果表明,Ch-AgNPs 诱导了剂量依赖性毒性,并且用 50mg/kg Ch-AgNPs 重复给大鼠给药会引起严重的毒性。组织病理学检查显示肝和肾组织充血、出血、细胞变性、凋亡和坏死,以及脾脏中可触知巨噬细胞增加导致淋巴细胞耗竭。该组丙二醛(MDA)、丙氨酸氨基转移酶(ALT)、天冬氨酸氨基转移酶(AST)水平最高,谷胱甘肽(GSH)、免疫球蛋白 G(IgG)、M 和总蛋白(IgG、IgM、TP)水平最低。另一方面,用 25mg/kg 重复给药会导致上述参数轻度至中度紊乱,而对照组和用 10mg/kg bwt Ch-AgNPs 处理组之间的病理检查和生化测试结果没有显著差异。
壳聚糖包覆的银纳米粒子对大鼠具有剂量依赖性的不良反应。