• 文献检索
  • 文档翻译
  • 深度研究
  • 学术资讯
  • Suppr Zotero 插件Zotero 插件
  • 邀请有礼
  • 套餐&价格
  • 历史记录
应用&插件
Suppr Zotero 插件Zotero 插件浏览器插件Mac 客户端Windows 客户端微信小程序
定价
高级版会员购买积分包购买API积分包
服务
文献检索文档翻译深度研究API 文档MCP 服务
关于我们
关于 Suppr公司介绍联系我们用户协议隐私条款
关注我们

Suppr 超能文献

核心技术专利:CN118964589B侵权必究
粤ICP备2023148730 号-1Suppr @ 2026

文献检索

告别复杂PubMed语法,用中文像聊天一样搜索,搜遍4000万医学文献。AI智能推荐,让科研检索更轻松。

立即免费搜索

文件翻译

保留排版,准确专业,支持PDF/Word/PPT等文件格式,支持 12+语言互译。

免费翻译文档

深度研究

AI帮你快速写综述,25分钟生成高质量综述,智能提取关键信息,辅助科研写作。

立即免费体验

因使用兽医胰岛素注射器导致的3c型糖尿病控制不佳

Poorly Controlled Type 3c Diabetes due to Use of Veterinarian Insulin Syringes.

作者信息

Barrera Francisco, Murvelashvili Natia

机构信息

Amita Health Saint Francis Hospital, 355 Ridge Avenue, Evanston, IL 60202, USA.

出版信息

Case Rep Endocrinol. 2019 Jun 17;2019:7916435. doi: 10.1155/2019/7916435. eCollection 2019.

DOI:10.1155/2019/7916435
PMID:31316841
原文链接:https://pmc.ncbi.nlm.nih.gov/articles/PMC6601479/
Abstract

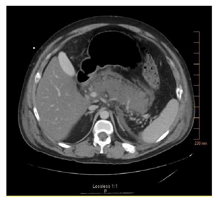
Initiation of insulin therapy can be challenging for patients; proper training should be given by physicians and certified educators to ensure correct and safe use for outpatient population. Different insulin strengths are now available in the US; while U-40 insulin does not exist in the United States for humans, it is a very common strength used in animals. We are reporting a 30-year-old male that became insulin dependent after hospitalization for necrotizing pancreatitis who was using U-40 syringes to draw from the prescribed insulin U-100 and also presented with repeated hypoglycemic episodes.

摘要

启动胰岛素治疗对患者来说可能具有挑战性;医生和经过认证的教育工作者应提供适当培训,以确保门诊患者正确、安全地使用胰岛素。目前美国有不同强度的胰岛素;虽然美国已不再生产用于人类的U - 40胰岛素,但它是动物常用的一种强度。我们报告了一名30岁男性,他因坏死性胰腺炎住院后开始依赖胰岛素治疗,使用U - 40注射器抽取处方的U - 100胰岛素,并且反复出现低血糖发作。

https://cdn.ncbi.nlm.nih.gov/pmc/blobs/4a60/6601479/4153cae3c29e/CRIE2019-7916435.002.jpg
https://cdn.ncbi.nlm.nih.gov/pmc/blobs/4a60/6601479/ba91d15b9218/CRIE2019-7916435.001.jpg
https://cdn.ncbi.nlm.nih.gov/pmc/blobs/4a60/6601479/4153cae3c29e/CRIE2019-7916435.002.jpg
https://cdn.ncbi.nlm.nih.gov/pmc/blobs/4a60/6601479/ba91d15b9218/CRIE2019-7916435.001.jpg
https://cdn.ncbi.nlm.nih.gov/pmc/blobs/4a60/6601479/4153cae3c29e/CRIE2019-7916435.002.jpg

相似文献

1
Poorly Controlled Type 3c Diabetes due to Use of Veterinarian Insulin Syringes.因使用兽医胰岛素注射器导致的3c型糖尿病控制不佳
Case Rep Endocrinol. 2019 Jun 17;2019:7916435. doi: 10.1155/2019/7916435. eCollection 2019.
2
The prescription of insulin pen devices versus syringes for older people with diabetes.胰岛素笔装置与注射器用于老年糖尿病患者的处方情况
Diabetes Technol Ther. 2009 Jul;11(7):439-42. doi: 10.1089/dia.2008.0110.
3
Stability of U-500 regular insulin in prefilled syringes.U-500 常规胰岛素在预充式注射器中的稳定性。
J Am Pharm Assoc (2003). 2013 May-Jun;53(3):304-6. doi: 10.1331/JAPhA.2013.12164.
4
Practice tips and tools for the successful use of U-500 regular human insulin: the diabetes educator is key.成功使用U-500常规人胰岛素的实践技巧和工具:糖尿病教育者是关键。
Diabetes Educ. 2014 Mar-Apr;40(2):153-65. doi: 10.1177/0145721713508822. Epub 2013 Oct 24.
5
Health economics and compliance of vials/syringes versus pen devices: a review of the evidence.瓶/注射器与笔式装置的健康经济学和合规性:证据回顾。
Diabetes Technol Ther. 2010 Jun;12 Suppl 1:S101-8. doi: 10.1089/dia.2009.0180.
6
Accuracy and preference assessment of prefilled insulin pen versus vial and syringe with diabetes patients, caregivers, and healthcare professionals.预填充胰岛素笔与瓶和注射器在糖尿病患者、照护者和医疗保健专业人员中的准确性和偏好评估。
Curr Med Res Opin. 2013 May;29(5):475-81. doi: 10.1185/03007995.2013.775112. Epub 2013 Mar 19.
7
The accuracy and precision of insulin administration using human and veterinary pen-injectors and syringes for administration of insulin.胰岛素笔和注射器给药时人用和兽用注射笔及注射器给药的准确性和精密度。
J Vet Intern Med. 2021 May;35(3):1255-1264. doi: 10.1111/jvim.16126. Epub 2021 May 15.
8
Patient satisfaction and costs associated with insulin administered by pen device or syringe during hospitalization.住院期间使用笔式装置或注射器注射胰岛素的患者满意度及相关费用。
Am J Health Syst Pharm. 2008 Jul 15;65(14):1347-57. doi: 10.2146/ajhp070636.
9
Insulin dosing and outcomes among commercially insured patients with type 2 diabetes in the United States.美国商业保险覆盖的2型糖尿病患者的胰岛素剂量与治疗结果
Clin Ther. 2015 Oct 1;37(10):2297-2308.e1. doi: 10.1016/j.clinthera.2015.08.004. Epub 2015 Sep 2.
10
Usability of a pre-filled insulin injection device in a 3-month observational survey of everyday clinical practice in Australia.预填充胰岛素注射装置在澳大利亚为期3个月的日常临床实践观察性调查中的可用性。
Curr Med Res Opin. 2008 Oct;24(10):2741-9. doi: 10.1185/03007990802367579. Epub 2008 Aug 19.

本文引用的文献

1
U300 Insulin Glargine: A Novel Basal Insulin for Type 1 and Type 2 Diabetes.U300甘精胰岛素:一种用于1型和2型糖尿病的新型基础胰岛素。
J Pharm Technol. 2015 Oct;31(5):234-242. doi: 10.1177/8755122515584193. Epub 2015 Apr 29.
2
Update on insulin treatment for dogs and cats: insulin dosing pens and more.犬猫胰岛素治疗的最新进展:胰岛素注射笔及更多内容。
Vet Med (Auckl). 2015 Apr 15;6:129-142. doi: 10.2147/VMRR.S39984. eCollection 2015.
3
Errors of insulin therapy: Real-life experiences from developing world.胰岛素治疗的误区:来自发展中世界的实际经验。
J Family Med Prim Care. 2017 Oct-Dec;6(4):724-729. doi: 10.4103/jfmpc.jfmpc_418_16.
4
U-200 Humalog Insulin Now Available in United States.优泌乐200胰岛素现已在美国上市。
Home Healthc Now. 2016 Feb;34(2):102. doi: 10.1097/NHH.0000000000000343.
5
Trends in Insulin Use and Diabetes Control in the U.S.: 1988-1994 and 1999-2012.美国胰岛素使用及糖尿病控制趋势:1988 - 1994年与1999 - 2012年
Diabetes Care. 2016 Mar;39(3):e33-5. doi: 10.2337/dc15-2229. Epub 2015 Dec 30.
6
Diagnosis and treatment of diabetes mellitus in chronic pancreatitis.慢性胰腺炎糖尿病的诊断与治疗。
World J Gastroenterol. 2013 Nov 14;19(42):7276-81. doi: 10.3748/wjg.v19.i42.7276.
7
Clinical use of U-500 regular insulin: review and meta-analysis.U-500常规胰岛素的临床应用:综述与荟萃分析。
J Diabetes Sci Technol. 2012 Mar 1;6(2):412-20. doi: 10.1177/193229681200600229.