• 文献检索
  • 文档翻译
  • 深度研究
  • 学术资讯
  • Suppr Zotero 插件Zotero 插件
  • 邀请有礼
  • 套餐&价格
  • 历史记录
应用&插件
Suppr Zotero 插件Zotero 插件浏览器插件Mac 客户端Windows 客户端微信小程序
定价
高级版会员购买积分包购买API积分包
服务
文献检索文档翻译深度研究API 文档MCP 服务
关于我们
关于 Suppr公司介绍联系我们用户协议隐私条款
关注我们

Suppr 超能文献

核心技术专利:CN118964589B侵权必究
粤ICP备2023148730 号-1Suppr @ 2026

文献检索

告别复杂PubMed语法,用中文像聊天一样搜索,搜遍4000万医学文献。AI智能推荐,让科研检索更轻松。

立即免费搜索

文件翻译

保留排版,准确专业,支持PDF/Word/PPT等文件格式,支持 12+语言互译。

免费翻译文档

深度研究

AI帮你快速写综述,25分钟生成高质量综述,智能提取关键信息,辅助科研写作。

立即免费体验

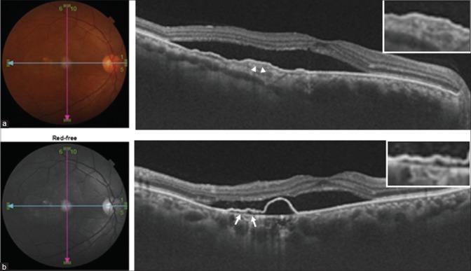
Flat irregular pigment epithelium detachment in central serous chorioretinopathy: Correlation with choroidal neovascular membrane.

作者信息

Gupta Rajan, Chhablani Jay

机构信息

Smt. Kanuri Santhamma Centre for Vitreo-Retinal Diseases, L V Prasad Eye Institute, Hyderabad, Telangana, India.

出版信息

Indian J Ophthalmol. 2019 Aug;67(8):1330-1332. doi: 10.4103/ijo.IJO_2092_18.

DOI:10.4103/ijo.IJO_2092_18
PMID:31332125
原文链接:https://pmc.ncbi.nlm.nih.gov/articles/PMC6677050/
Abstract
摘要
https://cdn.ncbi.nlm.nih.gov/pmc/blobs/c1fb/6677050/7a5072464073/IJO-67-1330-g002.jpg
https://cdn.ncbi.nlm.nih.gov/pmc/blobs/c1fb/6677050/7cbab3290be0/IJO-67-1330-g001.jpg
https://cdn.ncbi.nlm.nih.gov/pmc/blobs/c1fb/6677050/7a5072464073/IJO-67-1330-g002.jpg
https://cdn.ncbi.nlm.nih.gov/pmc/blobs/c1fb/6677050/7cbab3290be0/IJO-67-1330-g001.jpg
https://cdn.ncbi.nlm.nih.gov/pmc/blobs/c1fb/6677050/7a5072464073/IJO-67-1330-g002.jpg

相似文献

1
Flat irregular pigment epithelium detachment in central serous chorioretinopathy: Correlation with choroidal neovascular membrane.中心性浆液性脉络膜视网膜病变中的扁平不规则色素上皮脱离:与脉络膜新生血管膜的相关性
Indian J Ophthalmol. 2019 Aug;67(8):1330-1332. doi: 10.4103/ijo.IJO_2092_18.
2
FLAT IRREGULAR PIGMENT EPITHELIUM DETACHMENT IN CENTRAL SEROUS CHORIORETINOPATHY: A Form of Pachychoroid Neovasculopathy?中浆:平坦型不规则色素上皮脱离是一种厚脉络膜新生血管病变?
Retina. 2020 Sep;40(9):1724-1733. doi: 10.1097/IAE.0000000000002662.
3
Flat irregular retinal pigment epithelium detachments in chronic central serous chorioretinopathy and choroidal neovascularization.慢性中心性浆液性脉络膜视网膜病变和脉络膜新生血管中扁平不规则的视网膜色素上皮脱离
Am J Ophthalmol. 2015 May;159(5):890-903.e3. doi: 10.1016/j.ajo.2015.02.002. Epub 2015 Feb 20.
4
Optical coherence tomography angiography of flat irregular pigment epithelial detachments in central serous chorioretinopathy.中心性浆液性脉络膜视网膜病变中扁平状不规则色素上皮脱离的光相干断层扫描血管造影。
Br J Ophthalmol. 2021 Feb;105(2):233-238. doi: 10.1136/bjophthalmol-2019-315318. Epub 2020 Apr 7.
5
CLINICAL FEATURES OF FLAT IRREGULAR PIGMENT EPITHELIAL DETACHMENT ASSOCIATED WITH CHOROIDAL NEOVASCULARIZATION IN CHRONIC CENTRAL SEROUS CHORIORETINOPATHY.慢性中心性浆液性脉络膜视网膜病变合并脉络膜新生血管的扁平无规则色素上皮脱离的临床特征。
Retina. 2021 Jan 1;41(1):199-207. doi: 10.1097/IAE.0000000000002791.
6
Diagnostic and therapeutic challenges.诊断与治疗挑战。
Retina. 2015 Feb;35(2):374-7. doi: 10.1097/IAE.0000000000000155.
7
Concentric retinal pigment epithelium tear in central serous chorioretinopathy.中心性浆液性脉络膜视网膜病变中的同心性视网膜色素上皮撕裂
Indian J Ophthalmol. 2019 Aug;67(8):1329-1330. doi: 10.4103/ijo.IJO_105_19.
8
Conversion of central serous chorioretinopathy to polypoidal choroidal vasculopathy.中心性浆液性脉络膜视网膜病变转变为息肉样脉络膜血管病变。
Acta Ophthalmol. 2015 Sep;93(6):e512-4. doi: 10.1111/aos.12606. Epub 2015 Mar 16.
9
COMBINING EN FACE OPTICAL COHERENCE TOMOGRAPHY ANGIOGRAPHY WITH STRUCTURAL OPTICAL COHERENCE TOMOGRAPHY AND BLOOD FLOW ANALYSIS FOR DETECTING CHOROIDAL NEOVASCULAR COMPLEXES IN PIGMENT EPITHELIAL DETACHMENTS.应用共面光相干断层扫描血管造影术与结构光相干断层扫描和血流分析检测色素上皮脱离中的脉络膜新生血管复合体。
Retina. 2019 Aug;39(8):1551-1561. doi: 10.1097/IAE.0000000000002201.
10
OPTICAL COHERENCE TOMOGRAPHY ANGIOGRAPHY OF FLAT IRREGULAR PIGMENT EPITHELIUM DETACHMENT IN CHRONIC CENTRAL SEROUS CHORIORETINOPATHY.光学相干断层扫描血管造影在慢性中心性浆液性脉络膜视网膜病变中的平坦型不规则色素上皮脱离。
Retina. 2018 Mar;38(3):629-638. doi: 10.1097/IAE.0000000000001580.

引用本文的文献

1
The morphology of choroidal neovascularization in chronic central serous chorioretinopathy presenting with flat, irregular pigment epithelium detachment.表现为平伏、不规则色素上皮脱离的慢性中心性浆液性脉络膜视网膜病变的脉络膜新生血管形态。
Int Ophthalmol. 2021 Jun;41(6):2109-2116. doi: 10.1007/s10792-021-01768-3. Epub 2021 Mar 21.
2
Response to comment on: Flat irregular pigment epithelium detachment in central serous chorioretinopathy: A correlation with choroidal neovascular membrane.对关于“中心性浆液性脉络膜视网膜病变中的扁平不规则色素上皮脱离:与脉络膜新生血管膜的相关性”评论的回应
Indian J Ophthalmol. 2020 Apr;68(4):672. doi: 10.4103/ijo.IJO_2044_19.
3

本文引用的文献

1
"Double-layer sign" on spectral domain optical coherence tomography in pachychoroid spectrum disease.脉络膜增厚谱病变的光谱域光学相干断层扫描的“双层征”。
Indian J Ophthalmol. 2018 Dec;66(12):1796-1801. doi: 10.4103/ijo.IJO_377_18.
2
OPTICAL COHERENCE TOMOGRAPHY ANGIOGRAPHY OF FLAT IRREGULAR PIGMENT EPITHELIUM DETACHMENT IN CHRONIC CENTRAL SEROUS CHORIORETINOPATHY.光学相干断层扫描血管造影在慢性中心性浆液性脉络膜视网膜病变中的平坦型不规则色素上皮脱离。
Retina. 2018 Mar;38(3):629-638. doi: 10.1097/IAE.0000000000001580.
3
Central serous chorioretinopathy: Recent findings and new physiopathology hypothesis.
Comment on: Flat irregular pigment epithelium detachment in central serous chorioretinopathy: Correlation with choroidal neovascular membrane.
评论:中心性浆液性脉络膜视网膜病变中的扁平不规则色素上皮脱离:与脉络膜新生血管膜的相关性
Indian J Ophthalmol. 2020 Apr;68(4):671. doi: 10.4103/ijo.IJO_1795_19.
中心性浆液性脉络膜视网膜病变:最新发现与新病理生理学假说。
Prog Retin Eye Res. 2015 Sep;48:82-118. doi: 10.1016/j.preteyeres.2015.05.003. Epub 2015 May 27.
4
Association of Choroidal Neovascularization and Central Serous Chorioretinopathy With Optical Coherence Tomography Angiography.脉络膜新生血管和中心性浆液性脉络膜视网膜病变与光学相干断层扫描血管造影的关联
JAMA Ophthalmol. 2015 Aug;133(8):899-906. doi: 10.1001/jamaophthalmol.2015.1320.
5
Pachychoroid diseases of the macula.黄斑部厚脉络膜疾病
Med Hypothesis Discov Innov Ophthalmol. 2014 Winter;3(4):111-5.