Suppr超能文献

细胞负载和无细胞构建体中 BMP-2 基因传递促进骨再生。

BMP-2 gene delivery in cell-loaded and cell-free constructs for bone regeneration.

机构信息

Dept. Orthopaedics, University Medical Center Utrecht, Utrecht, The Netherlands.

Faculty of Veterinary Medicine, Utrecht University, Utrecht, The Netherlands.

出版信息

PLoS One. 2019 Jul 31;14(7):e0220028. doi: 10.1371/journal.pone.0220028. eCollection 2019.

Abstract

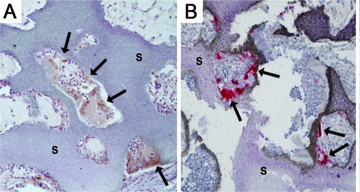
To induce osteogenicity in bone graft substitutes, plasmid-based expression of BMP-2 (pBMP-2) has been successfully applied in gene activated matrices based on alginate polymer constructs. Here, we investigated whether cell seeding is necessary for non-viral BMP-2 gene expression in vivo. Furthermore, to gain insight in the role of BMP-producing cells, we compared inclusion of bone progenitor cells with non-osteogenic target cells in gene delivery constructs. Plasmid DNA encoding GFP (pGFP) was used to trace transfection of host tissue cells and seeded cells in a rat model. Transgene expression was followed in both cell-free alginate-ceramic constructs as well as constructs seeded with syngeneic fibroblasts or multipotent mesenchymal stromal cells (MSCs). Titration of pGFP revealed that the highest pGFP dose resulted in frequent presence of positive host cells in the constructs. Both cell-loaded groups were associated with transgene expression, most effectively in the MSC-loaded constructs. Subsequently, we investigated effectiveness of cell-free and cell-loaded alginate-ceramic constructs with pBMP-2 to induce bone formation. Local BMP-2 production was found in all groups containing BMP-2 plasmid DNA, and was most pronounced in the groups with MSCs transfected with high concentration pBMP-2. Bone formation was only apparent in the recombinant protein BMP-2 group. In conclusion, we show that non-viral gene delivery of BMP-2 is a potentially effective way to induce transgene expression in vivo, both in cell-seeded as well as cell-free conditions. However, alginate-based gene delivery of BMP-2 to host cells or seeded cells did not result in protein levels adequate for bone formation in this setting, calling for more reliable scaffold compatible transfection methods.

摘要

为了在骨移植替代物中诱导成骨性,基于藻酸盐聚合物构建物的基因激活基质中已成功应用了质粒载体表达 BMP-2(pBMP-2)。在此,我们研究了非病毒 BMP-2 基因表达在体内是否需要细胞接种。此外,为了深入了解产生 BMP 的细胞的作用,我们将骨祖细胞与非成骨靶细胞在基因传递构建物中的包含进行了比较。编码 GFP 的质粒 DNA(pGFP)用于在大鼠模型中追踪宿主组织细胞和接种细胞的转染。在无细胞藻酸盐-陶瓷构建体以及接种同源成纤维细胞或多能间充质基质细胞(MSCs)的构建体中,我们都对转基因表达进行了后续检测。pGFP 的滴定结果表明,最高 pGFP 剂量导致构建体中频繁出现阳性宿主细胞。两组细胞负载物都与转基因表达相关联,在负载 MSC 的构建体中效果最佳。随后,我们研究了无细胞和负载细胞的藻酸盐-陶瓷构建体与 pBMP-2 联合应用以诱导骨形成的效果。所有含有 BMP-2 质粒 DNA 的组中均发现了局部 BMP-2 产生,且在转染高浓度 pBMP-2 的 MSC 组中最为明显。仅在重组蛋白 BMP-2 组中观察到骨形成。总之,我们表明非病毒 BMP-2 基因传递是一种在体内诱导转基因表达的潜在有效方法,无论是在细胞接种还是无细胞条件下都是如此。然而,在这种情况下,基于藻酸盐的 BMP-2 向宿主细胞或接种细胞的基因传递并未导致足以促成骨形成的蛋白水平,这需要更可靠的支架兼容转染方法。

https://cdn.ncbi.nlm.nih.gov/pmc/blobs/4022/6668905/8e7552155d54/pone.0220028.g001.jpg

文献检索

告别复杂PubMed语法,用中文像聊天一样搜索,搜遍4000万医学文献。AI智能推荐,让科研检索更轻松。

立即免费搜索

文件翻译

保留排版,准确专业,支持PDF/Word/PPT等文件格式,支持 12+语言互译。

免费翻译文档

深度研究

AI帮你快速写综述,25分钟生成高质量综述,智能提取关键信息,辅助科研写作。

立即免费体验