• 文献检索
  • 文档翻译
  • 深度研究
  • 学术资讯
  • Suppr Zotero 插件Zotero 插件
  • 邀请有礼
  • 套餐&价格
  • 历史记录
应用&插件
Suppr Zotero 插件Zotero 插件浏览器插件Mac 客户端Windows 客户端微信小程序
定价
高级版会员购买积分包购买API积分包
服务
文献检索文档翻译深度研究API 文档MCP 服务
关于我们
关于 Suppr公司介绍联系我们用户协议隐私条款
关注我们

Suppr 超能文献

核心技术专利:CN118964589B侵权必究
粤ICP备2023148730 号-1Suppr @ 2026

文献检索

告别复杂PubMed语法,用中文像聊天一样搜索,搜遍4000万医学文献。AI智能推荐,让科研检索更轻松。

立即免费搜索

文件翻译

保留排版,准确专业,支持PDF/Word/PPT等文件格式,支持 12+语言互译。

免费翻译文档

深度研究

AI帮你快速写综述,25分钟生成高质量综述,智能提取关键信息,辅助科研写作。

立即免费体验

多胺控制 eIF5A 翻译后修饰、TFEB 翻译和自噬以逆转 B 细胞衰老。

Polyamines Control eIF5A Hypusination, TFEB Translation, and Autophagy to Reverse B Cell Senescence.

机构信息

The Kennedy Institute of Rheumatology, University of Oxford, Roosevelt Drive, Oxford, OX3 7FY, UK.

Department of Biochemistry, University of Oxford, South Parks Road, Oxford, OX1 3QU, UK.

出版信息

Mol Cell. 2019 Oct 3;76(1):110-125.e9. doi: 10.1016/j.molcel.2019.08.005. Epub 2019 Aug 29.

DOI:10.1016/j.molcel.2019.08.005
PMID:31474573
原文链接:https://pmc.ncbi.nlm.nih.gov/articles/PMC6863385/
Abstract

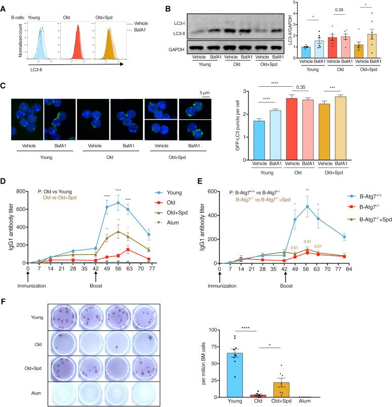
Failure to make adaptive immune responses is a hallmark of aging. Reduced B cell function leads to poor vaccination efficacy and a high prevalence of infections in the elderly. Here we show that reduced autophagy is a central molecular mechanism underlying immune senescence. Autophagy levels are specifically reduced in mature lymphocytes, leading to compromised memory B cell responses in old individuals. Spermidine, an endogenous polyamine metabolite, induces autophagy in vivo and rejuvenates memory B cell responses. Mechanistically, spermidine post-translationally modifies the translation factor eIF5A, which is essential for the synthesis of the autophagy transcription factor TFEB. Spermidine is depleted in the elderly, leading to reduced TFEB expression and autophagy. Spermidine supplementation restored this pathway and improved the responses of old human B cells. Taken together, our results reveal an unexpected autophagy regulatory mechanism mediated by eIF5A at the translational level, which can be harnessed to reverse immune senescence in humans.

摘要

无法产生适应性免疫应答是衰老的一个标志。B 细胞功能的降低导致老年人疫苗接种效果不佳和感染高发。在这里,我们表明,自噬减少是免疫衰老的一个核心分子机制。自噬水平在成熟淋巴细胞中特异性降低,导致老年人记忆 B 细胞反应受损。亚精胺是一种内源性多胺代谢物,可在体内诱导自噬,并使记忆 B 细胞反应恢复活力。在机制上,亚精胺对翻译因子 eIF5A 进行翻译后修饰,而 eIF5A 对自噬转录因子 TFEB 的合成至关重要。衰老的人体内亚精胺耗竭,导致 TFEB 表达和自噬减少。亚精胺补充恢复了这一途径,并改善了老年人类 B 细胞的反应。总之,我们的研究结果揭示了一种意想不到的自噬调节机制,该机制由翻译水平上的 eIF5A 介导,可用于逆转人类的免疫衰老。

https://cdn.ncbi.nlm.nih.gov/pmc/blobs/87a3/6863385/a2b4986c59fe/gr7.jpg
https://cdn.ncbi.nlm.nih.gov/pmc/blobs/87a3/6863385/52658f77c2ab/fx1.jpg
https://cdn.ncbi.nlm.nih.gov/pmc/blobs/87a3/6863385/df92ad01191b/gr1.jpg
https://cdn.ncbi.nlm.nih.gov/pmc/blobs/87a3/6863385/1532a255dc9f/gr2.jpg
https://cdn.ncbi.nlm.nih.gov/pmc/blobs/87a3/6863385/966bef86aefe/gr3.jpg
https://cdn.ncbi.nlm.nih.gov/pmc/blobs/87a3/6863385/84ae9bf75be3/gr4.jpg
https://cdn.ncbi.nlm.nih.gov/pmc/blobs/87a3/6863385/a3f3ad86b297/gr5.jpg
https://cdn.ncbi.nlm.nih.gov/pmc/blobs/87a3/6863385/4f99b7e03514/gr6.jpg
https://cdn.ncbi.nlm.nih.gov/pmc/blobs/87a3/6863385/a2b4986c59fe/gr7.jpg
https://cdn.ncbi.nlm.nih.gov/pmc/blobs/87a3/6863385/52658f77c2ab/fx1.jpg
https://cdn.ncbi.nlm.nih.gov/pmc/blobs/87a3/6863385/df92ad01191b/gr1.jpg
https://cdn.ncbi.nlm.nih.gov/pmc/blobs/87a3/6863385/1532a255dc9f/gr2.jpg
https://cdn.ncbi.nlm.nih.gov/pmc/blobs/87a3/6863385/966bef86aefe/gr3.jpg
https://cdn.ncbi.nlm.nih.gov/pmc/blobs/87a3/6863385/84ae9bf75be3/gr4.jpg
https://cdn.ncbi.nlm.nih.gov/pmc/blobs/87a3/6863385/a3f3ad86b297/gr5.jpg
https://cdn.ncbi.nlm.nih.gov/pmc/blobs/87a3/6863385/4f99b7e03514/gr6.jpg
https://cdn.ncbi.nlm.nih.gov/pmc/blobs/87a3/6863385/a2b4986c59fe/gr7.jpg

相似文献

1
Polyamines Control eIF5A Hypusination, TFEB Translation, and Autophagy to Reverse B Cell Senescence.多胺控制 eIF5A 翻译后修饰、TFEB 翻译和自噬以逆转 B 细胞衰老。
Mol Cell. 2019 Oct 3;76(1):110-125.e9. doi: 10.1016/j.molcel.2019.08.005. Epub 2019 Aug 29.
2
Autophagy in T cells from aged donors is maintained by spermidine and correlates with function and vaccine responses.衰老供体 T 细胞中的自噬由亚精胺维持,并与功能和疫苗反应相关。
Elife. 2020 Dec 15;9:e57950. doi: 10.7554/eLife.57950.
3
Polyamines reverse immune senescence via the translational control of autophagy.多胺通过自噬的翻译控制逆转免疫衰老。
Autophagy. 2020 Jan;16(1):181-182. doi: 10.1080/15548627.2019.1687967. Epub 2019 Nov 6.
4
eIF5A hypusination, boosted by dietary spermidine, protects from premature brain aging and mitochondrial dysfunction.eIF5A 亚精胺化作用受到膳食精胺的促进,可预防大脑早衰和线粒体功能障碍。
Cell Rep. 2021 Apr 13;35(2):108941. doi: 10.1016/j.celrep.2021.108941.
5
The curious case of polyamines: spermidine drives reversal of B cell senescence.多胺的奇特案例:亚精胺驱动 B 细胞衰老的逆转。
Autophagy. 2020 Mar;16(3):389-390. doi: 10.1080/15548627.2019.1698210. Epub 2019 Dec 3.
6
Synergistic drug combination GC7/DFMO suppresses hypusine/spermidine-dependent eIF5A activation and induces apoptotic cell death in neuroblastoma.GC7/DFMO 联合药物抑制hypusine/spermidine 依赖性 eIF5A 激活并诱导神经母细胞瘤细胞凋亡。
Biochem J. 2018 Jan 31;475(2):531-545. doi: 10.1042/BCJ20170597.
7
P53-dependent hypusination of eIF5A affects mitochondrial translation and senescence immune surveillance.P53 依赖性 eIF5A 的加双氧(hypusination)作用影响线粒体翻译和衰老免疫监测。
Nat Commun. 2024 Aug 28;15(1):7458. doi: 10.1038/s41467-024-51901-w.
8
Spermidine is essential for fasting-mediated autophagy and longevity.亚精胺对于禁食介导的自噬和长寿是必不可少的。
Nat Cell Biol. 2024 Sep;26(9):1571-1584. doi: 10.1038/s41556-024-01468-x. Epub 2024 Aug 8.
9
The spermidine analogue GC7 (N1-guanyl-1,7-diamineoheptane) induces autophagy through a mechanism not involving the hypusination of eIF5A.亚精胺类似物GC7(N1-胍基-1,7-二氨基庚烷)通过一种不涉及真核翻译起始因子5A(eIF5A)羟腐赖氨酸化的机制诱导自噬。
Amino Acids. 2014 Dec;46(12):2767-76. doi: 10.1007/s00726-014-1821-0. Epub 2014 Sep 14.
10
Herpesvirus-induced spermidine synthesis and eIF5A hypusination for viral episomal maintenance.疱疹病毒诱导的精脒合成和 eIF5A 高丝氨酸化以维持病毒的附加体。
Cell Rep. 2022 Aug 16;40(7):111234. doi: 10.1016/j.celrep.2022.111234.

引用本文的文献

1
Cancer Cell-Secreted miR-33a Reduces Stress Granule Formation by Targeting Polyamine Metabolism in Stroma to Promote Tumourigenesis.癌细胞分泌的miR-33a通过靶向基质中的多胺代谢减少应激颗粒形成以促进肿瘤发生。
J Extracell Vesicles. 2025 Sep;14(9):e70153. doi: 10.1002/jev2.70153.
2
Regulation of polyamine interconversion enzymes affects α-Synuclein levels and toxicity in a Drosophila model of Parkinson's Disease.多胺相互转化酶的调节影响帕金森病果蝇模型中α-突触核蛋白的水平和毒性。
NPJ Parkinsons Dis. 2025 Aug 6;11(1):231. doi: 10.1038/s41531-025-01087-9.
3
Polyamines stimulate the protein synthesis of the translation initiation factor eIF5A2, participating in mRNA decoding, distinct from eIF5A1.

本文引用的文献

1
Polyamines and eIF5A Hypusination Modulate Mitochondrial Respiration and Macrophage Activation.多胺和 eIF5A 高丝氨酸化调节线粒体呼吸和巨噬细胞活化。
Cell Metab. 2019 Aug 6;30(2):352-363.e8. doi: 10.1016/j.cmet.2019.05.003. Epub 2019 May 23.
2
Disruption of the beclin 1-BCL2 autophagy regulatory complex promotes longevity in mice.自噬调控复合物 beclin 1-BCL2 的破坏可促进小鼠长寿。
Nature. 2018 Jun;558(7708):136-140. doi: 10.1038/s41586-018-0162-7. Epub 2018 May 30.
3
eIF5A is required for autophagy by mediating ATG3 translation.
多胺刺激翻译起始因子eIF5A2的蛋白质合成,参与mRNA解码,与eIF5A1不同。
J Biol Chem. 2025 Jul 4;301(8):110453. doi: 10.1016/j.jbc.2025.110453.
4
Polyamines at the crossroad between cell metabolism and epigenetic regulation in acute leukemias.多胺在急性白血病细胞代谢与表观遗传调控的交叉点上。
Cell Death Discov. 2025 Jul 2;11(1):301. doi: 10.1038/s41420-025-02573-y.
5
Metabolites as agents and targets for cancer immunotherapy.代谢产物作为癌症免疫治疗的作用物和靶点。
Nat Rev Drug Discov. 2025 Jun 26. doi: 10.1038/s41573-025-01227-z.
6
An insulin-sensitive Drosophila insulin-like receptor mutant remodels methionine metabolism to extend lifespan.一个对胰岛素敏感的果蝇胰岛素样受体突变体重塑甲硫氨酸代谢以延长寿命。
PLoS Genet. 2025 Jun 16;21(6):e1011640. doi: 10.1371/journal.pgen.1011640. eCollection 2025 Jun.
7
Enhanced γ-aminobutyric acid levels promote degeneration of silk glands following spermidine supplementation in Bombyx mori.在补充亚精胺后,家蚕体内γ-氨基丁酸水平升高会促进丝腺退化。
Amino Acids. 2025 Jun 13;57(1):33. doi: 10.1007/s00726-025-03462-5.
8
Spermidine supplementation and protein restriction protect from organismal and brain aging independently.补充亚精胺和限制蛋白质摄入可分别独立地预防机体和大脑衰老。
Aging (Albany NY). 2025 Jun 7;17(6):1429-1451. doi: 10.18632/aging.206267.
9
eIF5A maintains intestinal epithelial homeostasis by sustaining intestinal stem cells.真核翻译起始因子5A通过维持肠道干细胞来维持肠道上皮稳态。
Cell Regen. 2025 Jun 9;14(1):23. doi: 10.1186/s13619-025-00243-z.
10
Spermidine inactivates proteasome activity and enhances ferroptosis in prostate cancer.亚精胺可使蛋白酶体活性失活并增强前列腺癌中的铁死亡。
Acta Pharm Sin B. 2025 Apr;15(4):2095-2113. doi: 10.1016/j.apsb.2025.02.023. Epub 2025 Feb 25.
eIF5A 通过介导 ATG3 翻译而对自噬起作用。
EMBO Rep. 2018 Jun;19(6). doi: 10.15252/embr.201846072. Epub 2018 Apr 30.
4
Spermidine in health and disease.精胺在健康和疾病中的作用。
Science. 2018 Jan 26;359(6374). doi: 10.1126/science.aan2788.
5
Guidelines for the use of flow cytometry and cell sorting in immunological studies.免疫研究中流式细胞术和细胞分选术的使用指南。
Eur J Immunol. 2017 Oct;47(10):1584-1797. doi: 10.1002/eji.201646632.
6
Suboptimal T-cell receptor signaling compromises protein translation, ribosome biogenesis, and proliferation of mouse CD8 T cells.T 细胞受体信号转导不佳会影响小鼠 CD8 T 细胞的蛋白质翻译、核糖体生物发生和增殖。
Proc Natl Acad Sci U S A. 2017 Jul 25;114(30):E6117-E6126. doi: 10.1073/pnas.1700939114. Epub 2017 Jul 10.
7
eIF5A Functions Globally in Translation Elongation and Termination.真核起始因子5A在翻译延伸和终止过程中发挥全局作用。
Mol Cell. 2017 Apr 20;66(2):194-205.e5. doi: 10.1016/j.molcel.2017.03.003. Epub 2017 Apr 6.
8
Optimizing 2D gas chromatography mass spectrometry for robust tissue, serum and urine metabolite profiling.优化 2D 气相色谱-质谱联用技术以进行稳健的组织、血清和尿液代谢物分析。
Talanta. 2017 Apr 1;165:685-691. doi: 10.1016/j.talanta.2017.01.003. Epub 2017 Jan 7.
9
Cardioprotection and lifespan extension by the natural polyamine spermidine.天然多胺亚精胺对心脏的保护作用及寿命的延长
Nat Med. 2016 Dec;22(12):1428-1438. doi: 10.1038/nm.4222. Epub 2016 Nov 14.
10
TFEB at a glance.转录因子EB简介。
J Cell Sci. 2016 Jul 1;129(13):2475-81. doi: 10.1242/jcs.146365. Epub 2016 Jun 1.