Suppr超能文献

骨假肌源性血管内皮瘤采用地舒单抗治疗:病例报告。

Pseudomyogenic hemangioendothelioma of bone treated with denosumab: a case report.

机构信息

Department of Orthopaedic Surgery, Keio University School of Medicine, 35 Shinanomachi, Shinjyuku, Tokyo, 160-8582, Japan.

Department of Diagnostic Pathology, Keio University School of Medicine, Tokyo, Japan.

出版信息

BMC Cancer. 2019 Sep 3;19(1):872. doi: 10.1186/s12885-019-6072-8.

Abstract

BACKGROUND

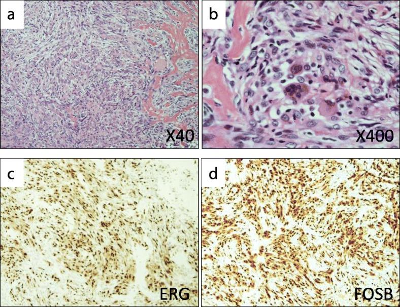
Pseudomyogenic hemangioendothelioma (PMHE) is a rare endothelial neoplasm that involves the bones in only 14% of all cases. The optimal treatment strategy has not been established. We herein report a case of primary PMHE in which denosumab treatment showed activity in both imaging studies and the clinical outcome.

CASE PRESENTATION

A 20-year-old woman presented with worsening pain in her left ankle. Imaging studies showed multifocal fluorodeoxyglucose (FDG)-avid [maximum standardized uptake value (SUVmax), 15.95] osteolytic lesions in the bones of her left lower extremity. While waiting for the definitive pathologic diagnosis of PMHE, denosumab, a human immunoglobulin G2 monoclonal antibody against RANKL, was initiated to treat progressive bone absorption after curettage of one of the lesions. Denosumab induced osteosclerosis around the lesions and pain relief and was discontinued 4 years after its initiation. Although all of the multifocal lesions remained, they all became less FDG-avid (SUVmax, 2.6), and the patient developed no signs of new lesions or distant metastasis.

CONCLUSION

Denosumab plays a certain role in prevention of bone destruction by PMHE through suppression of osteoclast-like giant cells and would be an excellent treatment for bone absorption by PMHE of bone.

摘要

背景

假肌源性血管内皮细胞瘤(PMHE)是一种罕见的内皮肿瘤,仅在所有病例的 14%中涉及骨骼。尚未建立最佳的治疗策略。本文报告了一例原发性 PMHE,其地舒单抗治疗在影像学研究和临床结果中均显示出活性。

病例介绍

一名 20 岁女性因左踝关节疼痛加重就诊。影像学研究显示左下肢多处氟脱氧葡萄糖(FDG)摄取阳性(最大标准化摄取值(SUVmax),15.95)溶骨性病变。在等待 PMHE 的明确病理诊断的同时,由于其中一处病变刮除术后出现进行性骨质吸收,开始使用针对 RANKL 的人免疫球蛋白 G2 单克隆抗体地舒单抗进行治疗。地舒单抗诱导了病变周围的骨质硬化和疼痛缓解,并在开始治疗 4 年后停药。尽管所有多灶性病变仍然存在,但它们的 FDG 摄取均减少(SUVmax,2.6),且患者未出现新病变或远处转移的迹象。

结论

地舒单抗通过抑制破骨样巨细胞在一定程度上预防 PMHE 引起的骨质破坏,是治疗 PMHE 骨质吸收的一种极好的方法。

https://cdn.ncbi.nlm.nih.gov/pmc/blobs/574d/6724307/b20f938baea4/12885_2019_6072_Fig1_HTML.jpg

文献检索

告别复杂PubMed语法,用中文像聊天一样搜索,搜遍4000万医学文献。AI智能推荐,让科研检索更轻松。

立即免费搜索

文件翻译

保留排版,准确专业,支持PDF/Word/PPT等文件格式,支持 12+语言互译。

免费翻译文档

深度研究

AI帮你快速写综述,25分钟生成高质量综述,智能提取关键信息,辅助科研写作。

立即免费体验