Suppr超能文献

丝氨酸激酶 1 和鞘氨醇 1-磷酸受体 3 在小鼠疟疾相关急性肺损伤/急性呼吸窘迫综合征模型中的表达。

Expression of sphingosine kinase 1 and sphingosine 1-phosphate receptor 3 in malaria-associated acute lung injury/acute respiratory distress syndrome in a mouse model.

机构信息

School of Medicine, Walailak University, Nakhon Si Thammarat, Thailand.

Tropical Medicine Research Unit, Research Institute for Health Sciences, Walailak University, Nakhon Si Thammarat, Thailand.

出版信息

PLoS One. 2019 Sep 4;14(9):e0222098. doi: 10.1371/journal.pone.0222098. eCollection 2019.

Abstract

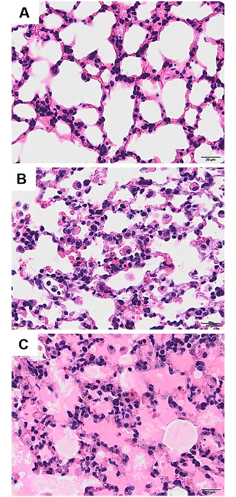
This study aimed to investigate the expression of sphingosine kinase 1 (SphK-1) and sphingosine 1-phosphate receptor 3 (S1PR-3) in a mouse model of malaria-associated acute lung injury/acute respiratory distress syndrome (ALI/ARDS). DBA/2 mice were infected with Plasmodium berghei ANKA to generate an experimental model of malaria-associated ALI/ARDS. The infected mice were divided into 2 groups based on the histopathological study of lung tissues: those with and those without ALI/ARDS. The expression of the SphK-1 and S1PR-3 proteins in the lung tissues was investigated using immunohistochemical staining and Western blot analysis. In addition, the S1P level was quantified in plasma and lung tissues using an enzyme-linked immunosorbent assay (ELISA). The results demonstrated that the cellular expression of the SphK-1 and S1PR-3 proteins was significantly upregulated in endothelial cells, alveolar epithelial cells and alveolar macrophages in the lung tissues of malaria-infected mice with ALI/ARDS compared with those in the control groups. The increased expression of the SphK-1 and S1PR-3 proteins was confirmed using Western blot analysis. The concentration of S1P in plasma and lung tissues was significantly decreased in malaria-infected mice with ALI/ARDS compared with non-ALI/ARDS and control mice. Furthermore, increased expression of the SphK-1 and S1PR-3 proteins significantly correlated with lung injury scores and S1P concentrations in malaria-infected mice with ALI/ARDS. These findings highlight increased expression of SphK-1 and S1PR-3 in the lung tissues of malaria-infected mice with ALI/ARDS.

摘要

本研究旨在探讨神经酰胺激酶 1(SphK-1)和神经鞘氨醇 1-磷酸受体 3(S1PR-3)在疟疾相关急性肺损伤/急性呼吸窘迫综合征(ALI/ARDS)小鼠模型中的表达。用伯氏疟原虫 ANKA 感染 DBA/2 小鼠,生成疟疾相关 ALI/ARDS 的实验模型。根据肺组织的组织病理学研究,将感染的小鼠分为两组:有和没有 ALI/ARDS 的组。使用免疫组织化学染色和 Western blot 分析研究肺组织中 SphK-1 和 S1PR-3 蛋白的表达。此外,使用酶联免疫吸附测定(ELISA)定量血浆和肺组织中的 S1P 水平。结果表明,与对照组相比,ALI/ARDS 疟疾感染小鼠肺组织中内皮细胞、肺泡上皮细胞和肺泡巨噬细胞中 SphK-1 和 S1PR-3 蛋白的细胞表达显著上调。Western blot 分析证实了 SphK-1 和 S1PR-3 蛋白的表达增加。与非 ALI/ARDS 和对照组小鼠相比,ALI/ARDS 疟疾感染小鼠的血浆和肺组织中 S1P 浓度显著降低。此外,SphK-1 和 S1PR-3 蛋白的表达增加与疟疾感染小鼠的肺损伤评分和 S1P 浓度显著相关。这些发现突出了 SphK-1 和 S1PR-3 在疟疾感染伴有 ALI/ARDS 的小鼠肺组织中的表达增加。

https://cdn.ncbi.nlm.nih.gov/pmc/blobs/d8a5/6726369/3e21f3399b14/pone.0222098.g001.jpg

文献检索

告别复杂PubMed语法,用中文像聊天一样搜索,搜遍4000万医学文献。AI智能推荐,让科研检索更轻松。

立即免费搜索

文件翻译

保留排版,准确专业,支持PDF/Word/PPT等文件格式,支持 12+语言互译。

免费翻译文档

深度研究

AI帮你快速写综述,25分钟生成高质量综述,智能提取关键信息,辅助科研写作。

立即免费体验