Suppr超能文献

肌肉损伤通过刺激局部骨形态发生蛋白-7的产生促进异位骨化。

Muscle injury promotes heterotopic ossification by stimulating local bone morphogenetic protein-7 production.

作者信息

Li La, Jiang Yangzi, Lin Hang, Shen He, Sohn Jihee, Alexander Peter G, Tuan Rocky S

机构信息

Center for Cellular and Molecular Engineering, Department of Orthopaedic Surgery, University of Pittsburgh School of Medicine, Pittsburgh, PA, USA.

Graduate Program of Cellular and Molecular Pathology, Department of Pathology, University of Pittsburgh School of Medicine, Pittsburgh, PA, USA.

出版信息

J Orthop Translat. 2019 Jul 5;18:142-153. doi: 10.1016/j.jot.2019.06.001. eCollection 2019 Jul.

Abstract

BACKGROUND

Heterotopic ossification (HO) is a pathological condition of abnormal bone formation in soft tissue, which causes pain and restricted range of motion in patients. There are two broad categories of HO, hereditary and acquired. Although different types of HO do not use identical mechanistic pathways of pathogenesis, muscle injury appears to be a unifying feature for all types of HO. However, little is known about the mechanisms by which muscle injury facilitates HO formation.

OBJECTIVE AND METHOD

This study aimed to explore the cellular and molecular mechanisms linking muscle injury to HO by using cardiotoxin to induce muscle injury in a bone morphogenetic protein-2 (BMP-2)-induced HO mouse model.

RESULTS

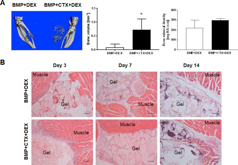
We found that muscle injury augmented HO formation and that this effect was correlated with BMP signalling activation and upregulation of BMP-7 expression at the early phase of HO progression. We further demonstrated that inhibition of BMP-7 activity suppressed the osteogenesis-promoting effect of conditioned medium derived from injured muscle tissue and reduced the volume of HO formation. We also showed that antiinflammatory drug treatment reduced the volume of HO with concomitant reduction in BMP-7 production.

CONCLUSION

In summary, our study has identified BMP-7 as a key osteoinductive factor in injured muscle that facilitates HO formation.

THE TRANSLATIONAL POTENTIAL OF THIS ARTICLE

Our results provide a candidate mechanistic rationale for the use of antiinflammatory drugs in the prevention of HO.

摘要

背景

异位骨化(HO)是一种软组织中异常骨形成的病理状况,可导致患者疼痛和活动范围受限。HO主要分为两大类,即遗传性和后天性。尽管不同类型的HO发病机制不尽相同,但肌肉损伤似乎是所有类型HO的一个共同特征。然而,关于肌肉损伤促进HO形成的机制却知之甚少。

目的和方法

本研究旨在通过在骨形态发生蛋白-2(BMP-2)诱导的HO小鼠模型中使用心脏毒素诱导肌肉损伤,探索肌肉损伤与HO之间的细胞和分子机制。

结果

我们发现肌肉损伤会加剧HO的形成,且这种效应与HO进展早期的BMP信号激活和BMP-7表达上调相关。我们进一步证明,抑制BMP-7活性可抑制损伤肌肉组织条件培养基的促骨生成作用,并减少HO形成的体积。我们还表明,抗炎药物治疗可减少HO的体积,同时降低BMP-7的产生。

结论

总之,我们的研究已确定BMP-7是损伤肌肉中促进HO形成的关键骨诱导因子。

本文的转化潜力

我们的结果为使用抗炎药物预防HO提供了一种可能的机制依据。

https://cdn.ncbi.nlm.nih.gov/pmc/blobs/8fd8/6718974/029ef2d430ec/gr1.jpg

文献检索

告别复杂PubMed语法,用中文像聊天一样搜索,搜遍4000万医学文献。AI智能推荐,让科研检索更轻松。

立即免费搜索

文件翻译

保留排版,准确专业,支持PDF/Word/PPT等文件格式,支持 12+语言互译。

免费翻译文档

深度研究

AI帮你快速写综述,25分钟生成高质量综述,智能提取关键信息,辅助科研写作。

立即免费体验